Telefon:
+49 (0)241 95 163 153
Fax:
+49 (0)241 95 163 155
E-Mail:
orders@antikoerper-online.de

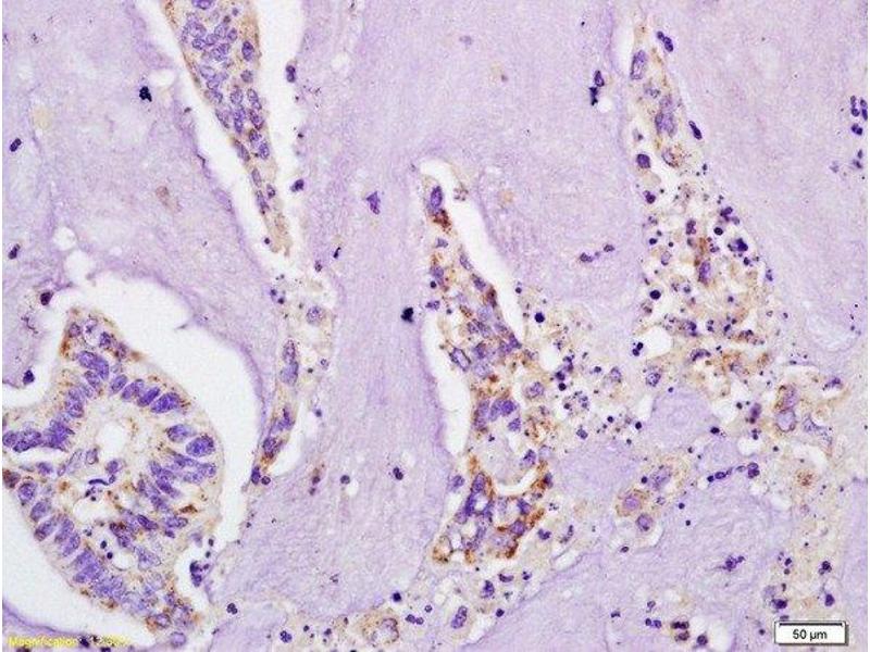
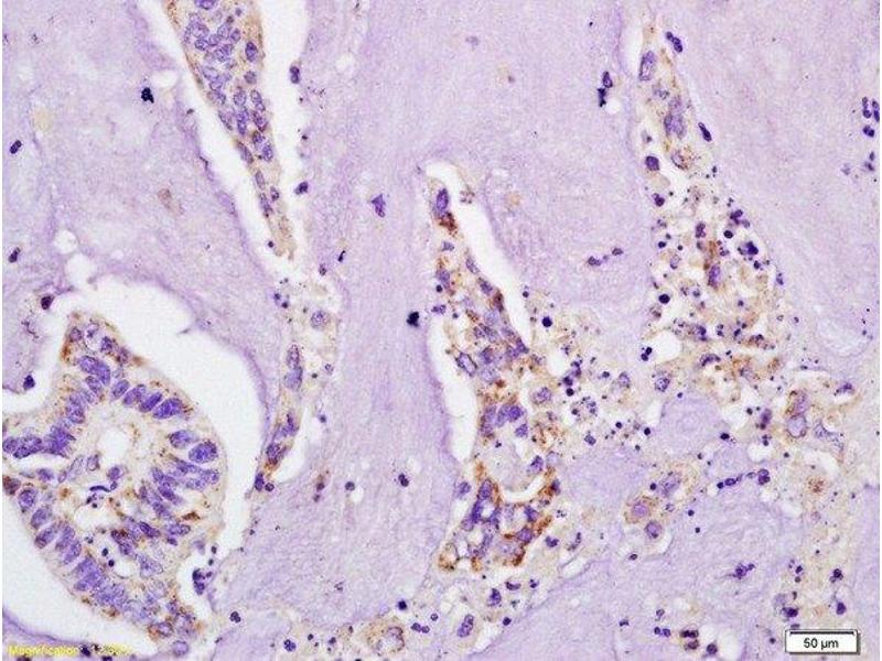
IL4 Receptor Antikörper (AA 201-300)

Zitiert in 2+ Publikationen. Der Kaninchen Polyklonal anti-IL4 Receptor Antikörper (ABIN740565) detektiert spezifisch IL4 Receptor in WB, ELISA, FACS, ICC, IF (p) und IHC (p). Dieser Antikörper reagiert spezifisch mit Proben aus Human und Maus.
Produktnummer ABIN740565
357,70 €
Zzgl. Versandkosten 20,00 € und MwSt
100 μL
Lieferung nach: Deutschland
Lieferung in 8 bis 12 Werktagen

Kurzübersicht für IL4 Receptor Antikörper (AA 201-300) (ABIN740565)

Target

Alle IL4 Receptor (IL4R) Antikörper anzeigen
IL4 Receptor (IL4R) (Interleukin 4 Receptor (IL4R))

Reaktivität

  • 81
  • 46
  • 24
  • 2
Human, Maus

Wirt

  • 80
  • 16
  • 14
  • 8
  • 2
  • 1
Kaninchen

Klonalität

  • 84
  • 33
  • 2
Polyklonal

Konjugat

  • 65
  • 10
  • 5
  • 5
  • 3
  • 2
  • 2
  • 2
  • 2
  • 2
  • 2
  • 2
  • 2
  • 2
  • 2
  • 2
  • 2
  • 1
  • 1
  • 1
  • 1
  • 1
  • 1
  • 1
Dieser IL4 Receptor Antikörper ist unkonjugiert

Applikation

  • 80
  • 33
  • 32
  • 17
  • 13
  • 13
  • 11
  • 9
  • 7
  • 7
  • 6
  • 3
  • 3
  • 3
  • 2
  • 2
  • 1
  • 1
  • 1
  • 1
  • 1
  • 1
Western Blotting (WB), ELISA, Flow Cytometry (FACS), Immunocytochemistry (ICC), Immunofluorescence (Paraffin-embedded Sections) (IF (p)), Immunohistochemistry (Paraffin-embedded Sections) (IHC (p))
  • Bindungsspezifität

    • 16
    • 15
    • 5
    • 5
    • 5
    • 5
    • 4
    • 3
    • 2
    • 2
    • 2
    • 2
    • 1
    • 1
    • 1
    • 1
    • 1
    • 1
    • 1
    • 1
    • 1
    • 1
    • 1
    AA 201-300

    Kreuzreaktivität

    Human, Maus

    Homologie

    Rat,Pig,Horse

    Aufreinigung

    Purified by Protein A.

    Immunogen

    KLH conjugated synthetic peptide derived from human IL4R

    Isotyp

    IgG
  • Applikationshinweise

    WB 1:300-5000
    ELISA 1:500-1000
    FCM 1:20-100
    IHC-P 1:200-400
    IF(IHC-P) 1:50-200
    ICC 1:100-500

    Beschränkungen

    Nur für Forschungszwecke einsetzbar
  • Format

    Liquid

    Konzentration

    1 μg/μL

    Buffer

    0.01M TBS( pH 7.4) with 1 % BSA, 0.02 % Proclin300 and 50 % Glycerol.

    Konservierungsmittel

    ProClin

    Vorsichtsmaßnahmen

    This product contains ProClin: a POISONOUS AND HAZARDOUS SUBSTANCE, which should be handled by trained staff only.

    Lagerung

    4 °C,-20 °C

    Informationen zur Lagerung

    Shipped at 4°C. Store at -20°C for one year. Avoid repeated freeze/thaw cycles.

    Haltbarkeit

    12 months
  • Danelli, Frossi, Gri, Mion, Guarnotta, Bongiovanni, Tripodo, Mariuzzi, Marzinotto, Rigoni, Blank, Colombo, Pucillo: "Mast cells boost myeloid-derived suppressor cell activity and contribute to the development of tumor-favoring microenvironment." in: Cancer immunology research, Vol. 3, Issue 1, pp. 85-95, (2015) (PubMed).

  • Target

    IL4 Receptor (IL4R) (Interleukin 4 Receptor (IL4R))

    Andere Bezeichnung

    IL4R

    Hintergrund

    Synonyms: CD124, IL4RA, IL-4RA, Interleukin-4 receptor subunit alpha, IL-4 receptor subunit alpha, IL-4R subunit alpha, IL-4R-alpha, IL4R, 582J2.1

    Background: Receptor for both interleukin 4 and interleukin 13. Couples to the JAK1/2/3-STAT6 pathway. The IL4 response is involved in promoting Th2 differentiation. The IL4/IL13 responses are involved in regulating IgE production and, chemokine and mucus production at sites of allergic inflammation. In certain cell types, can signal through activation of insulin receptor substrates, IRS1/IRS2. Soluble IL4R (sIL4R) inhibits IL4-mediated cell proliferation and IL5 up-regulation by T-cells.

    Gen-ID

    3566

    UniProt

    P24394

    Pathways

    JAK-STAT Signalweg, Positive Regulation of Immune Effector Process
Sie sind hier:
Chat with us!