Telefon:
+49 (0)241 95 163 153
Fax:
+49 (0)241 95 163 155
E-Mail:
orders@antikoerper-online.de

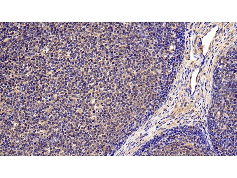
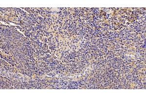
IL4 Receptor Antikörper (AA 26-232)

Der Kaninchen Polyklonal anti-IL4 Receptor Antikörper wird verwendet zum Nachweis von IL4 Receptor in Proben von Human. Er wurde validiert für WB, IHC, IP und ICC.
Produktnummer ABIN7434557
310,62 €
Zzgl. Versandkosten 20,00 € und MwSt
Lieferung nach: Deutschland
Lieferung in 11 bis 15 Werktagen

Kurzübersicht für IL4 Receptor Antikörper (AA 26-232) (ABIN7434557)

Target

Alle IL4 Receptor (IL4R) Antikörper anzeigen
IL4 Receptor (IL4R) (Interleukin 4 Receptor (IL4R))

Reaktivität

  • 81
  • 47
  • 24
  • 2
Human

Wirt

  • 80
  • 16
  • 14
  • 8
  • 2
  • 1
Kaninchen

Klonalität

  • 84
  • 33
  • 2
Polyklonal

Konjugat

  • 65
  • 10
  • 5
  • 5
  • 3
  • 2
  • 2
  • 2
  • 2
  • 2
  • 2
  • 2
  • 2
  • 2
  • 2
  • 2
  • 2
  • 1
  • 1
  • 1
  • 1
  • 1
  • 1
  • 1
Dieser IL4 Receptor Antikörper ist unkonjugiert

Applikation

  • 80
  • 34
  • 33
  • 16
  • 14
  • 13
  • 11
  • 8
  • 8
  • 7
  • 6
  • 3
  • 3
  • 3
  • 2
  • 2
  • 1
  • 1
  • 1
  • 1
  • 1
  • 1
Western Blotting (WB), Immunohistochemistry (IHC), Immunoprecipitation (IP), Immunocytochemistry (ICC)
  • Bindungsspezifität

    • 16
    • 15
    • 5
    • 5
    • 5
    • 4
    • 4
    • 3
    • 2
    • 2
    • 2
    • 2
    • 1
    • 1
    • 1
    • 1
    • 1
    • 1
    • 1
    • 1
    • 1
    • 1
    • 1
    • 1
    AA 26-232

    Verwendungszweck

    Polyclonal Antibody to Interleukin 4 Receptor (IL4R)

    Spezifität

    The antibody is a rabbit polyclonal antibody raised against IL4R. It has been selected for its ability to recognize IL4R in immunohistochemical staining and western blotting.

    Kreuzreaktivität

    Schwein

    Aufreinigung

    Antigen-specific affinity chromatography followed by Protein A affinity chromatography

    Immunogen

    Recombinant Interleukin 4 Receptor (IL4R) corresdonding to Met26~His232 with N-terminal His Tag

    Isotyp

    IgG
  • Applikationshinweise

    Western blottin:g: 0.01-2 μg/mL,Immunohistochemistry: 5-20 μg/mL,Immunocytochemistry: 5-20 μg/mL,Optimal working dilutions must be determined by end user.

    Kommentare

    The thermal stability is described by the loss rate. The loss rate was determined by accelerated thermal degradation test, that is, incubate the protein at 37°C for 48h, and no obvious degradation and precipitation were observed. The loss rate is less than 5% within the expiration date under appropriate storage condition.

    Beschränkungen

    Nur für Forschungszwecke einsetzbar
  • Format

    Liquid

    Konzentration

    0.5 mg/mL

    Buffer

    PBS, pH 7.4, containing 0.02 % Sodium azide, 50 % glycerol.

    Konservierungsmittel

    Sodium azide

    Vorsichtsmaßnahmen

    This product contains Sodium azide: a POISONOUS AND HAZARDOUS SUBSTANCE which should be handled by trained staff only.

    Lagerung

    4 °C,-20 °C

    Informationen zur Lagerung

    Store at 4°C for frequent use. Stored at -20°C in a manual defrost freezer for two year without detectable loss of activity. Avoid repeated freeze-thaw cycles.

    Haltbarkeit

    24 months
  • Target

    IL4 Receptor (IL4R) (Interleukin 4 Receptor (IL4R))

    Andere Bezeichnung

    IL4R

    Hintergrund

    CD124, IL4-R, IL4RA, IL4-BP, Soluble interleukin-4 receptor subunit alpha, IL-4-binding protein

    UniProt

    P24394

    Pathways

    JAK-STAT Signalweg, Positive Regulation of Immune Effector Process
Sie sind hier:
Chat with us!