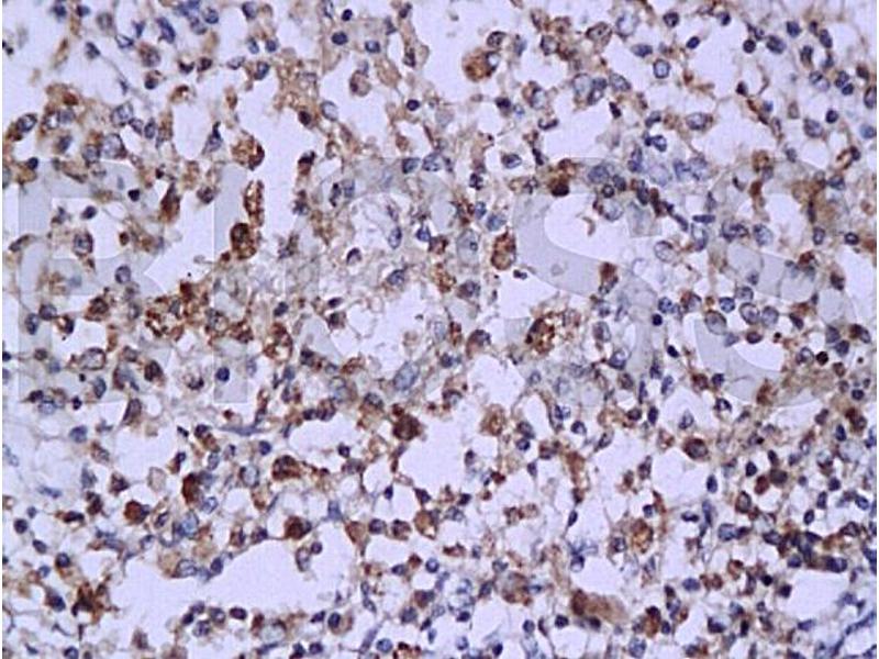
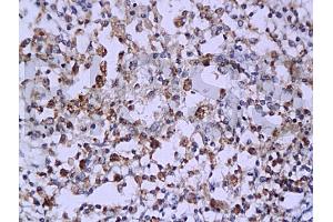
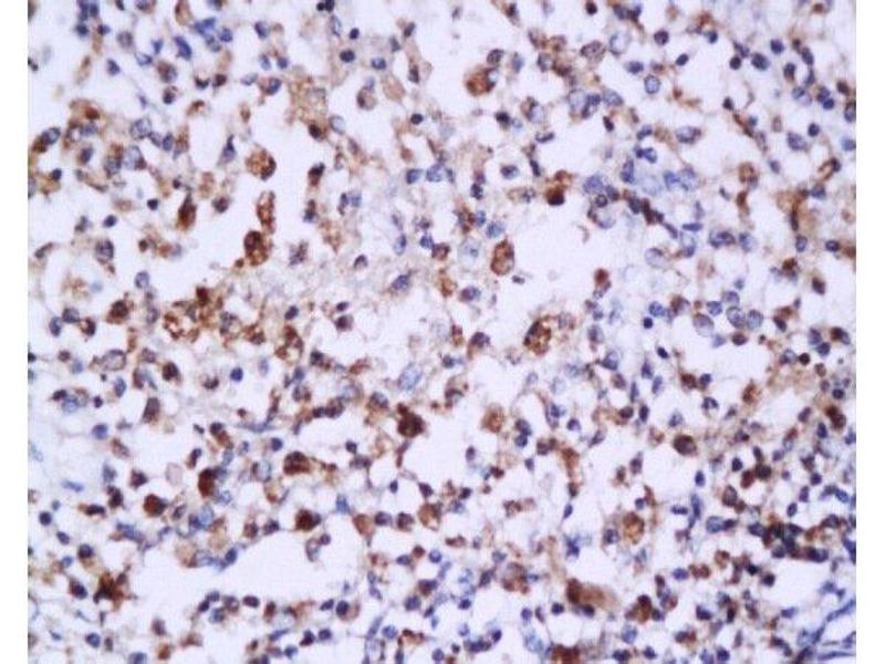
Caspase 6 Antikörper (AA 151-250)
Kurzübersicht für Caspase 6 Antikörper (AA 151-250) (ABIN725525)
Target
Alle Caspase 6 (CASP6) Antikörper anzeigenReaktivität
Wirt
Klonalität
Konjugat
Applikation
-
-
Bindungsspezifität
- AA 151-250
-
Kreuzreaktivität
- Human
-
Homologie
- Mouse,Rat
-
Aufreinigung
- Purified by Protein A.
-
Immunogen
- KLH conjugated synthetic peptide derived from human Caspase-6
-
Isotyp
- IgG
-
-
-
-
Applikationshinweise
-
ELISA 1:500-1000
IHC-P 1:200-400
IHC-F 1:100-500
IF(IHC-P) 1:50-200
IF(IHC-F) 1:50-200
IF(ICC) 1:50-200 -
Beschränkungen
- Nur für Forschungszwecke einsetzbar
-
-
-
Format
- Liquid
-
Konzentration
- 1 μg/μL
-
Buffer
- 0.01M TBS( pH 7.4) with 1 % BSA, 0.02 % Proclin300 and 50 % Glycerol.
-
Konservierungsmittel
- ProClin
-
Vorsichtsmaßnahmen
- This product contains ProClin: a POISONOUS AND HAZARDOUS SUBSTANCE, which should be handled by trained staff only.
-
Lagerung
- 4 °C,-20 °C
-
Informationen zur Lagerung
- Shipped at 4°C. Store at -20°C for one year. Avoid repeated freeze/thaw cycles.
-
Haltbarkeit
- 12 months
-
-
- Caspase 6 (CASP6) (Caspase 6, Apoptosis-Related Cysteine Peptidase (CASP6))
-
Andere Bezeichnung
- Caspase-6
-
Hintergrund
-
Synonyms: MCH2, Caspase-6, CASP-6, Apoptotic protease Mch-2, CASP6
Background: Involved in the activation cascade of caspases responsible for apoptosis execution. Cleaves poly(ADP-ribose) polymerase in vitro, as well as lamins. Overexpression promotes programmed cell death.
-
Gen-ID
- 839
-
UniProt
- P55212
-
Pathways
- Apoptose, Caspase Kaskade in der Apoptose
Target
-