Telefon:
+49 (0)241 95 163 153
Fax:
+49 (0)241 95 163 155
E-Mail:
orders@antikoerper-online.de

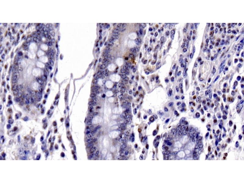
Caspase 6 Antikörper (AA 81-179)

Der Maus Monoklonal anti-Caspase 6 Antikörper (Klon C1) (ABIN7426640) detektiert spezifisch Caspase 6 in WB und IHC. Dieser Antikörper reagiert spezifisch mit Proben aus Rind (Kuh).
Produktnummer ABIN7426640
370,71 €
Zzgl. Versandkosten 20,00 € und MwSt
Lieferung nach: Deutschland
Lieferung in 11 bis 15 Werktagen

Kurzübersicht für Caspase 6 Antikörper (AA 81-179) (ABIN7426640)

Target

Alle Caspase 6 (CASP6) Antikörper anzeigen
Caspase 6 (CASP6) (Caspase 6, Apoptosis-Related Cysteine Peptidase (CASP6))

Reaktivität

  • 157
  • 98
  • 57
  • 12
  • 3
  • 2
  • 1
  • 1
Rind (Kuh)

Wirt

  • 179
  • 11
  • 1
Maus

Klonalität

  • 147
  • 44
Monoklonal

Konjugat

  • 87
  • 17
  • 11
  • 7
  • 5
  • 4
  • 4
  • 4
  • 4
  • 4
  • 4
  • 3
  • 3
  • 3
  • 3
  • 3
  • 3
  • 3
  • 3
  • 3
  • 3
  • 3
  • 3
  • 2
  • 2
Dieser Caspase 6 Antikörper ist unkonjugiert

Applikation

  • 156
  • 83
  • 59
  • 43
  • 41
  • 40
  • 40
  • 35
  • 32
  • 22
  • 12
  • 5
  • 4
  • 2
  • 1
Western Blotting (WB), Immunohistochemistry (IHC)

Klon

C1
  • Bindungsspezifität

    • 27
    • 16
    • 15
    • 13
    • 9
    • 7
    • 7
    • 7
    • 7
    • 4
    • 3
    • 3
    • 3
    • 2
    • 2
    • 2
    • 2
    • 2
    • 2
    • 2
    • 2
    • 1
    • 1
    • 1
    • 1
    • 1
    • 1
    • 1
    • 1
    • 1
    • 1
    • 1
    • 1
    • 1
    AA 81-179

    Verwendungszweck

    Monoclonal Antibody to Caspase 6 (CASP6)

    Spezifität

    The antibody is a mouse monoclonal antibody raised against CASP6. It has been selected for its ability to recognize CASP6 in immunohistochemical staining and western blotting.

    Aufreinigung

    Protein A + Protein G affinity chromatography

    Immunogen

    Recombinant Caspase 6 (CASP6) corresdonding to Leu81~Asp179 (Accession # Q3T0P5)

    Isotyp

    IgG1 kappa
  • Applikationshinweise

    Western blotting: 0.01-3 μg/mL,Immunohistochemistry: 5-30 μg/mL,Optimal working dilutions must be determined by end user.

    Kommentare

    The thermal stability is described by the loss rate. The loss rate was determined by accelerated thermal degradation test, that is, incubate the protein at 37°C for 48h, and no obvious degradation and precipitation were observed. The loss rate is less than 5% within the expiration date under appropriate storage condition.

    Beschränkungen

    Nur für Forschungszwecke einsetzbar
  • Format

    Liquid

    Konzentration

    1 mg/mL

    Buffer

    0.01M PBS, pH 7.4, containing 0.05 % Proclin-300, 50 % glycerol.

    Konservierungsmittel

    ProClin

    Vorsichtsmaßnahmen

    This product contains ProClin: a POISONOUS AND HAZARDOUS SUBSTANCE which should be handled by trained staff only.

    Lagerung

    4 °C,-20 °C

    Informationen zur Lagerung

    Store at 4°C for frequent use. Stored at -20°C in a manual defrost freezer for two year without detectable loss of activity. Avoid repeated freeze-thaw cycles.

    Haltbarkeit

    24 months
  • Target

    Caspase 6 (CASP6) (Caspase 6, Apoptosis-Related Cysteine Peptidase (CASP6))

    Andere Bezeichnung

    CASP6

    Hintergrund

    MCH2, Cysteinyl Aspartate Specific Proteinases 6, Caspase 6,Apoptosis-Related Cysteine Peptidase, Apoptotic protease Mch-2

    UniProt

    Q3T0P5

    Pathways

    Apoptose, Caspase Kaskade in der Apoptose
Sie sind hier:
Chat with us!