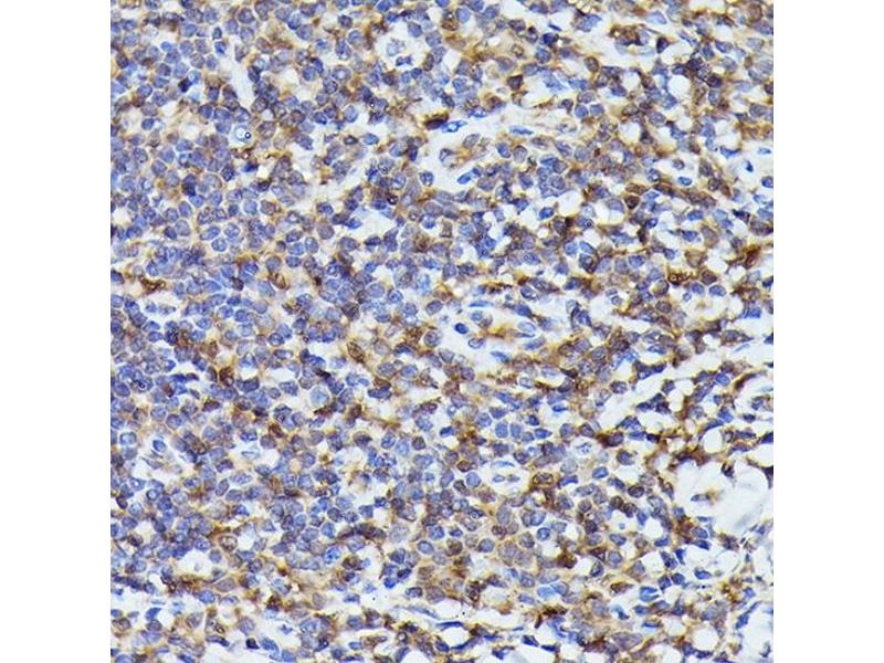
Der Kaninchen Polyklonal anti-PYCARD Antikörper (ABIN7269756) detektiert spezifisch PYCARD in WB, IHC, IF und IP.
Dieser Antikörper reagiert spezifisch mit Proben aus Human.
PBS with 0.02 % sodium azide,50 % glycerol, pH 7.3.
Konservierungsmittel
Sodium azide
Vorsichtsmaßnahmen
This product contains Sodium azide: a POISONOUS AND HAZARDOUS SUBSTANCE which should be handled by trained staff only.
Lagerung
-20 °C
Informationen zur Lagerung
Store at -20°C. Avoid freeze / thaw cycles.
Target
PYCARD
(PYD and CARD Domain Containing (PYCARD))
Andere Bezeichnung
PYCARD
Hintergrund
This gene encodes an adaptor protein that is composed of two protein-protein interaction domains: a N-terminal PYRIN-PAAD-DAPIN domain (PYD) and a C-terminal caspase-recruitment domain (CARD). The PYD and CARD domains are members of the six-helix bundle death domain-fold superfamily that mediates assembly of large signaling complexes in the inflammatory and apoptotic signaling pathways via the activation of caspase. In normal cells, this protein is localized to the cytoplasm, however, in cells undergoing apoptosis, it forms ball-like aggregates near the nuclear periphery. Two transcript variants encoding different isoforms have been found for this gene.,PYCARD,ASC,CARD5,TMS,TMS-1,TMS1,PYD and CARD domain containing,ASC / TMS1,Cancer,Tumor biomarkers,Cell Biology & Developmental Biology,Apoptosis,Caspases,PYCARD