Telefon:
+49 (0)241 95 163 153
Fax:
+49 (0)241 95 163 155
E-Mail:
orders@antikoerper-online.de

Cullin 2 Antikörper

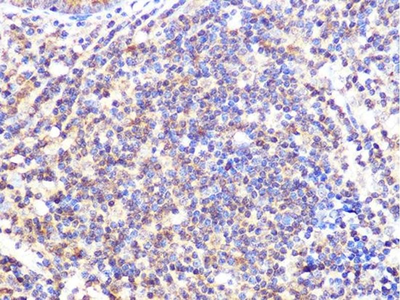
Der Kaninchen Monoklonal anti-Cullin 2 Antikörper wird verwendet zum Nachweis von Cullin 2 in Proben von Human. Er wurde validiert für WB und IHC.
Produktnummer ABIN7266542
330,00 €
Zzgl. Versandkosten 20,00 € und MwSt
Lieferung nach: Deutschland
Lieferung in 7 bis 9 Werktagen

Kurzübersicht für Cullin 2 Antikörper (ABIN7266542)

Target

Alle Cullin 2 (CUL2) Antikörper anzeigen
Cullin 2 (CUL2)

Reaktivität

  • 86
  • 52
  • 36
  • 8
  • 7
  • 6
  • 5
  • 5
  • 4
  • 3
  • 3
  • 3
  • 1
  • 1
Human

Wirt

  • 82
  • 3
  • 1
Kaninchen

Klonalität

  • 64
  • 22
Monoklonal

Konjugat

  • 40
  • 6
  • 4
  • 3
  • 3
  • 3
  • 3
  • 3
  • 3
  • 3
  • 1
  • 1
  • 1
  • 1
  • 1
  • 1
  • 1
  • 1
  • 1
  • 1
  • 1
  • 1
  • 1
  • 1
  • 1
Dieser Cullin 2 Antikörper ist unkonjugiert

Applikation

  • 49
  • 27
  • 24
  • 17
  • 15
  • 14
  • 13
  • 13
  • 12
  • 8
  • 3
  • 1
Western Blotting (WB), Immunohistochemistry (IHC)
  • Verwendungszweck

    Cullin 2 Rabbit mAb

    Kreuzreaktivität

    Human, Maus, Ratte

    Produktmerkmale

    Monoclonal Antibodies

    Aufreinigung

    Affinity purification

    Immunogen

    A synthesized peptide derived from human Cullin 2

    Isotyp

    IgG
  • Applikationshinweise

    WB,1:500 - 1:2000,IHC,1:50 - 1:200

    Beschränkungen

    Nur für Forschungszwecke einsetzbar
  • Format

    Liquid

    Buffer

    PBS with 0.02 % sodium azide,0.05 % BSA,50 % glycerol, pH 7.3.

    Konservierungsmittel

    Sodium azide

    Vorsichtsmaßnahmen

    This product contains Sodium azide: a POISONOUS AND HAZARDOUS SUBSTANCE which should be handled by trained staff only.

    Lagerung

    -20 °C

    Informationen zur Lagerung

    Store at -20°C. Avoid freeze / thaw cycles.
  • Target

    Cullin 2 (CUL2)

    Andere Bezeichnung

    CUL2

    Hintergrund

    Core component of multiple cullin-RING-based ECS (ElonginB/C-CUL2/5-SOCS-box protein E3 ubiquitin-protein ligase complexes, which mediate the ubiquitination of target proteins. CUL2 may serve as a rigid scaffold in the complex and may contribute to catalysis through positioning of the substrate and the ubiquitin-conjugating enzyme. The E3 ubiquitin-protein ligase activity of the complex is dependent on the neddylation of the cullin subunit and is inhibited by the association of the deneddylated cullin subunit with TIP120A/CAND1. The functional specificity of the ECS complex depends on the substrate recognition component. ECS(VHL mediates the ubiquitination of hypoxia-inducible factor (HIF. A number of ECS complexes (containing either KLHDC2, KLHDC3, KLHDC10, APPBP2, FEM1A, FEM1B or FEM1C as substrate-recognition component are part of the DesCEND (destruction via C-end degrons pathway, which recognizes a C-degron located at the extreme C terminus of target proteins, leading to their ubiquitination and degradation. ECS complexes and ARIH1 collaborate in tandem to mediate ubiquitination of target proteins.,CUL2, cullin-2,Apoptosis,Cancer,Cell Biology & Developmental Biology,Cell Cycle,Cell Cycle_Cell cycle inhibitors,Ubiquitin,Ubiquitin_Ubiquitin-Proteasome Signaling Pathway,CUL2

    Molekulargewicht

    87kDa

    Gen-ID

    8453

    UniProt

    Q13617

    Pathways

    M Phase, Asymmetric Protein Localization, SARS-CoV-2 Protein Interaktom
Sie sind hier:
Chat with us!