Telefon:
+49 (0)241 95 163 153
Fax:
+49 (0)241 95 163 155
E-Mail:
orders@antikoerper-online.de

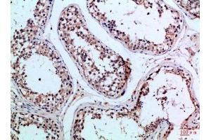
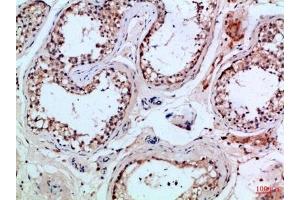
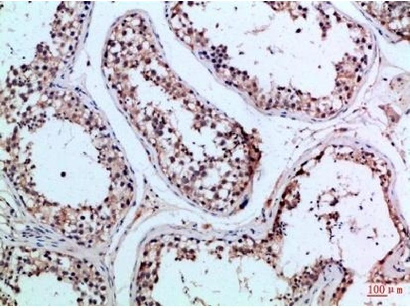
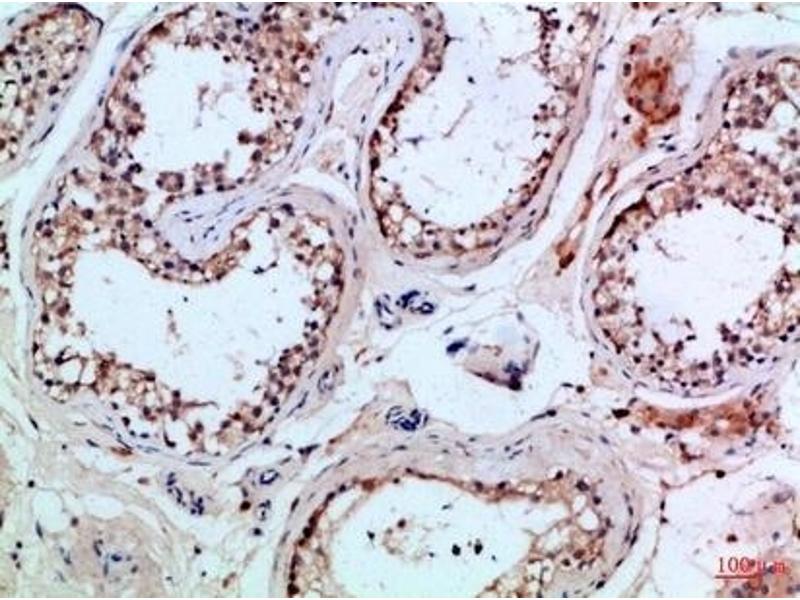
PIK3R2 Antikörper (AA 1-60)

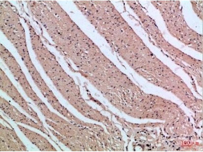
Der Kaninchen Polyklonal anti-PIK3R2 Antikörper wird verwendet zum Nachweis von PIK3R2 in Proben von Human, Ratte und Maus. Er wurde validiert für ELISA und IHC (p).
Produktnummer ABIN7230630
748,34 €
Zzgl. Versandkosten 20,00 € und MwSt
Lieferung nach: Deutschland
Lieferung in 10 bis 14 Werktagen

Kurzübersicht für PIK3R2 Antikörper (AA 1-60) (ABIN7230630)

Target

Alle PIK3R2 (PI3K p85b) Antikörper anzeigen
PIK3R2 (PI3K p85b) (Phosphoinositide 3 Kinase, p85 beta (PI3K p85b))

Reaktivität

  • 127
  • 69
  • 31
  • 18
  • 14
  • 4
  • 1
  • 1
  • 1
  • 1
Human, Ratte, Maus

Wirt

  • 120
  • 7
Kaninchen

Klonalität

  • 99
  • 28
Polyklonal

Konjugat

  • 55
  • 9
  • 8
  • 7
  • 4
  • 4
  • 3
  • 3
  • 3
  • 3
  • 3
  • 3
  • 2
  • 2
  • 2
  • 2
  • 2
  • 2
  • 2
  • 2
  • 2
  • 1
  • 1
  • 1
  • 1
Dieser PIK3R2 Antikörper ist unkonjugiert

Applikation

  • 103
  • 46
  • 43
  • 17
  • 16
  • 13
  • 13
  • 12
  • 12
  • 11
  • 6
  • 3
  • 1
ELISA, Immunohistochemistry (Paraffin-embedded Sections) (IHC (p))
  • Bindungsspezifität

    • 15
    • 9
    • 8
    • 8
    • 8
    • 6
    • 4
    • 4
    • 3
    • 3
    • 2
    • 2
    • 2
    • 2
    • 1
    • 1
    • 1
    • 1
    • 1
    • 1
    • 1
    • 1
    • 1
    • 1
    • 1
    • 1
    • 1
    • 1
    • 1
    • 1
    • 1
    AA 1-60

    Verwendungszweck

    PI 3-Kinase p85β Polyclonal Antibody

    Spezifität

    The antibody detects endogenous levels of PI 3-Kinase p85β

    Aufreinigung

    The antibody was affinity-purified from rabbit serum by affinity-chromatography using specific immunogen

    Immunogen

    Synthesized peptide derived from part region of human PI 3-Kinase p85beta protein at AA range: 1-60

    Isotyp

    IgG
  • Applikationshinweise

    Optimal working dilutions should be determined experimentally by the investigator. Suggested starting dilutions are as follows: IHC-P (1:50-1:200), ELISA (1:10000-1:20000).

    Kommentare

    Primary Antibody

    Beschränkungen

    Nur für Forschungszwecke einsetzbar
  • Format

    Liquid

    Konzentration

    1 mg/mL

    Buffer

    PBS, pH 7.4, containing 0.02 % Sodium Azide as preservative and 50 % Glycerol as stabilizer.

    Konservierungsmittel

    Sodium azide

    Vorsichtsmaßnahmen

    This product contains Sodium azide: a POISONOUS AND HAZARDOUS SUBSTANCE which should be handled by trained staff only.

    Lagerung

    -20 °C

    Informationen zur Lagerung

    Stable for one year at -20°C from date of shipment. For maximum recovery of product, centrifuge the original vial after thawing and prior to removing the cap. Aliquot to avoid repeated freezing and thawing.
  • Target

    PIK3R2 (PI3K p85b) (Phosphoinositide 3 Kinase, p85 beta (PI3K p85b))

    Andere Bezeichnung

    PI 3-Kinase p85beta

    Hintergrund

    Rabbit Anti-PI 3-Kinase p85β Polyclonal Antibody,Phosphatidylinositol 3-kinase regulatory subunit beta, PI3-kinase regulatory subunit beta, PI3K regulatory subunit beta, PtdIns-3-kinase regulatory subunit beta, Phosphatidylinositol 3-kinase 85 kDa regulatory subunit beta, PI3-kinase subunit p85-beta, PtdIns-3-kinase regulatory subunit p85-beta,Phosphatidylinositol 3-kinase (PI3K) is a lipid kinase that phosphorylates phosphatidylinositol and similar compounds, creating second messengers important in growth signaling pathways. PI3K functions as a heterodimer of a regulatory and a catalytic subunit. The protein encoded by PIK3R2 is a regulatory component of PI3K. Two transcript variants, one protein coding and the other non-protein coding, have been found for PIK3R2. PIK3R2 (Phosphoinositide-3-Kinase Regulatory Subunit 2) is a Protein Coding gene. Diseases associated with PIK3R2 include Megalencephaly-Polymicrogyria-Polydactyly-Hydrocephalus Syndrome 1 and Mpph Syndrome. Among its related pathways are 4-1BB Pathway and Common Cytokine Receptor Gamma-Chain Family Signaling Pathways.,PI 3-Kinase p85β

    Gen-ID

    5296

    UniProt

    O00459

    Pathways

    VEGF Signaling, BCR Signaling
Sie sind hier:
Chat with us!