Telefon:
+49 (0)241 95 163 153
Fax:
+49 (0)241 95 163 155
E-Mail:
orders@antikoerper-online.de

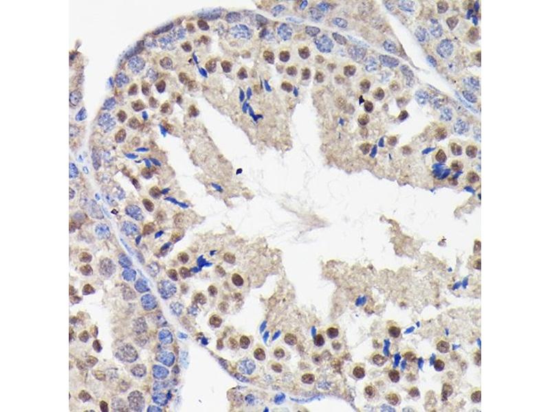
PIK3R2 Antikörper

Dieser Kaninchen Monoklonal Antikörper detektiert spezifisch PIK3R2 in WB und IHC. Es zeigt Reaktivität gegenüber Proben von Human.
Produktnummer ABIN1679407
330,00 €
Zzgl. Versandkosten 20,00 € und MwSt
Lieferung nach: Deutschland
Lieferung in 7 bis 9 Werktagen

Kurzübersicht für PIK3R2 Antikörper (ABIN1679407)

Target

Alle PIK3R2 (PI3K p85b) Antikörper anzeigen
PIK3R2 (PI3K p85b) (Phosphoinositide 3 Kinase, p85 beta (PI3K p85b))

Reaktivität

  • 127
  • 70
  • 32
  • 18
  • 14
  • 4
  • 1
  • 1
  • 1
  • 1
Human

Wirt

  • 120
  • 7
Kaninchen

Klonalität

  • 100
  • 27
Monoklonal

Konjugat

  • 55
  • 9
  • 8
  • 7
  • 4
  • 4
  • 3
  • 3
  • 3
  • 3
  • 3
  • 3
  • 2
  • 2
  • 2
  • 2
  • 2
  • 2
  • 2
  • 2
  • 2
  • 1
  • 1
  • 1
  • 1
Dieser PIK3R2 Antikörper ist unkonjugiert

Applikation

  • 102
  • 47
  • 42
  • 17
  • 17
  • 13
  • 13
  • 12
  • 12
  • 11
  • 6
  • 3
  • 1
Western Blotting (WB), Immunohistochemistry (IHC)
  • Kreuzreaktivität

    Human, Maus, Ratte

    Produktmerkmale

    Monoclonal Antibodies

    Aufreinigung

    Affinity purification

    Immunogen

    A synthesized peptide derived from human PI3 Kinase p85 beta

    Isotyp

    IgG
  • Applikationshinweise

    WB,1:500 - 1:2000,IHC,1:50 - 1:200

    Beschränkungen

    Nur für Forschungszwecke einsetzbar
  • Buffer

    PBS with 0.02 % sodium azide,0.05 % BSA,50 % glycerol, pH 7.3.

    Konservierungsmittel

    Sodium azide

    Vorsichtsmaßnahmen

    This product contains Sodium azide: a POISONOUS AND HAZARDOUS SUBSTANCE which should be handled by trained staff only.

    Lagerung

    -20 °C

    Informationen zur Lagerung

    Store at -20°C. Avoid freeze / thaw cycles.
  • Target

    PIK3R2 (PI3K p85b) (Phosphoinositide 3 Kinase, p85 beta (PI3K p85b))

    Andere Bezeichnung

    PIK3R2

    Hintergrund

    Phosphatidylinositol 3-kinase (PI3K) is a lipid kinase that phosphorylates phosphatidylinositol and similar compounds, creating second messengers important in growth signaling pathways. PI3K functions as a heterodimer of a regulatory and a catalytic subunit. The protein encoded by this gene is a regulatory component of PI3K. Two transcript variants, one protein coding and the other non-protein coding, have been found for this gene. [provided by RefSeq, Dec 2012],MPPH, MPPH1, P85B, p85, p85-BETA,Apoptosis,Apoptosis_Inhibition of Apoptosis,Apoptosis_Mitochondrial Control of Apoptosis,B Cell Receptor Signaling Pathway,Cell Biology & Developmental Biology,Cell Intrinsic Innate Immunity Signaling Pathway,Cytoskeleton,Cytoskeleton_Actins,Endocrine & Metabolism,Epigenetics & Nuclear Signaling,ErbB-HER Signaling Pathway,ESC Pluripotency and Differentiation,IL-6 Receptor Signaling Pathway,Immunology & Inflammation,Innate Immunity_TLR Signaling,Insulin Receptor Signaling Pathway,Kinase,MAPK-Erk Signaling Pathway,MAPK-JNK Signaling Pathway,mTOR Signaling Pathway,NF-kB Signaling Pathway,PI3K-Akt Signaling Pathway,PI3K-Akt Signaling Pathway_PI3Ks and related,Protein Kinase C Signaling Pathway Pathway,Signal Transduction,T Cell Receptor Signaling Pathway,TGF-b-Smad Signaling Pathway,Toll-like Receptor Signaling Pathway,Translation Control,Translational Control_Regulation of eIF4 and p70 S6 Kinase,Warburg Effect,PIK3R2

    Molekulargewicht

    82 kDa

    Gen-ID

    5296

    UniProt

    O00459

    Pathways

    VEGF Signaling, BCR Signaling
Sie sind hier:
Chat with us!