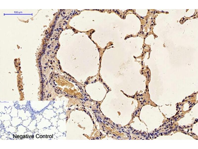
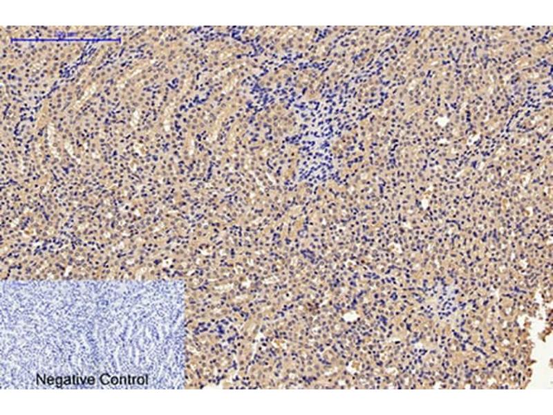
Caspase 9 Antikörper
Kurzübersicht für Caspase 9 Antikörper (ABIN7202071)
Target
Alle Caspase 9 (CASP9) Antikörper anzeigenReaktivität
Wirt
Klonalität
Konjugat
Applikation
-
-
Verwendungszweck
- Caspase 9 Monoclonal Antibody
-
Spezifität
- The antibody detects endogenous Caspase 9 protein.
-
Aufreinigung
- The antibody was affinity-purified from mouse ascites by affinity-chromatography using specific immunogen
-
Immunogen
- Synthetic Peptide
-
Isotyp
- IgG1
-
-
-
-
Applikationshinweise
- Optimal working dilutions should be determined experimentally by the investigator. Suggested starting dilutions are as follows: WB (1:1000-1:5000), IF (1:100-1:200), IHC-P (1:50-1:300), IP (1:200).
-
Beschränkungen
- Nur für Forschungszwecke einsetzbar
-
-
-
Format
- Liquid
-
Konzentration
- 1 mg/mL
-
Buffer
- PBS, pH 7.4, containing 0.02 % Sodium Azide as preservative and 50 % Glycerol.
-
Konservierungsmittel
- Sodium azide
-
Vorsichtsmaßnahmen
- This product contains Sodium azide: a POISONOUS AND HAZARDOUS SUBSTANCE which should be handled by trained staff only.
-
Lagerung
- -20 °C
-
Informationen zur Lagerung
- Stable for one year at -20°C from date of shipment. For maximum recovery of product, centrifuge the original vial after thawing and prior to removing the cap. Aliquot to avoid repeated freezing and thawing.
-
-
- Caspase 9 (CASP9) (Caspase 9, Apoptosis-Related Cysteine Peptidase (CASP9))
-
Andere Bezeichnung
- Caspase 9
-
Hintergrund
- Mouse Anti-Caspase 9 Monoclonal Antibody,CASP9, MCH6, Caspase-9, CASP-9, Apoptotic protease Mch-6, Apoptotic protease-activating factor 3, APAF-3, ICE-like apoptotic protease 6, ICE-LAP6,CASP9 encodes a member of the cysteine-aspartic acid protease (caspase) family. Sequential activation of caspases plays a central role in the execution-phase of cell apoptosis. Caspases exist as inactive proenzymes which undergo proteolytic processing at conserved aspartic residues to produce two subunits, large and small, that dimerize to form the active enzyme. Caspase 9 can undergo autoproteolytic processing and activation by the apoptosome, a protein complex of cytochrome c and the apoptotic peptidase activating factor 1, this step is thought to be one of the earliest in the caspase activation cascade. Caspase 9 is thought to play a central role in apoptosis and to be a tumor suppressor. Alternative splicing results in multiple transcript variants.,Caspase-9
-
Gen-ID
- 842
-
UniProt
- P55211
-
Pathways
- MAPK Signalweg, RTK Signalweg, Apoptose, Caspase Kaskade in der Apoptose, Fc-epsilon Rezeptor Signalübertragung, EGFR Signaling Pathway, Neurotrophin Signalübertragung, Positive Regulation of Endopeptidase Activity
Target
-