Telefon:
+49 (0)241 95 163 153
Fax:
+49 (0)241 95 163 155
E-Mail:
orders@antikoerper-online.de

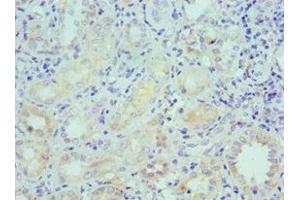
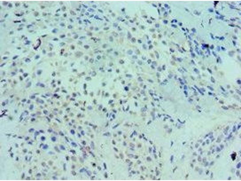
LRP6 Antikörper (AA 20-150)

Der Kaninchen Polyklonal anti-LRP6 Antikörper (ABIN7158577) detektiert spezifisch LRP6 in IHC und ELISA. Dieser Antikörper reagiert spezifisch mit Proben aus Human.
Produktnummer ABIN7158577
394,68 €
Zzgl. Versandkosten 20,00 € und MwSt
Lieferung nach: Deutschland
Lieferung in 11 bis 15 Werktagen

Kurzübersicht für LRP6 Antikörper (AA 20-150) (ABIN7158577)

Target

Alle LRP6 Antikörper anzeigen
LRP6 (Low Density Lipoprotein Receptor-Related Protein 6 (LRP6))

Reaktivität

  • 81
  • 58
  • 33
  • 1
  • 1
  • 1
  • 1
  • 1
Human

Wirt

  • 75
  • 3
  • 2
  • 1
  • 1
  • 1
Kaninchen

Klonalität

  • 63
  • 20
Polyklonal

Konjugat

  • 25
  • 6
  • 3
  • 3
  • 3
  • 3
  • 3
  • 3
  • 3
  • 3
  • 3
  • 2
  • 2
  • 2
  • 2
  • 2
  • 2
  • 2
  • 2
  • 2
  • 2
  • 2
  • 1
  • 1
  • 1
Dieser LRP6 Antikörper ist unkonjugiert

Applikation

  • 64
  • 27
  • 27
  • 26
  • 18
  • 16
  • 13
  • 11
  • 8
  • 6
  • 4
  • 2
  • 1
Immunohistochemistry (IHC), ELISA
  • Bindungsspezifität

    • 24
    • 23
    • 8
    • 4
    • 2
    • 1
    • 1
    • 1
    • 1
    • 1
    AA 20-150

    Verwendungszweck

    LRP6 Antibody

    Aufreinigung

    Antigen Affinity Purified

    Immunogen

    Recombinant Human Low-density lipoprotein receptor-related protein 6 protein (20-150AA)

    Isotyp

    IgG
  • Applikationshinweise

    Optimal working dilution should be determined by the investigator.

    Beschränkungen

    Nur für Forschungszwecke einsetzbar
  • Format

    Liquid

    Buffer

    PBS with 0.02 % sodium azide, 50 % glycerol, pH 7.3.

    Konservierungsmittel

    Sodium azide

    Vorsichtsmaßnahmen

    This product contains Sodium azide: a POISONOUS AND HAZARDOUS SUBSTANCE which should be handled by trained staff only.

    Lagerung

    -20 °C,-80 °C

    Informationen zur Lagerung

    Upon receipt, store at -20°C or -80°C. Avoid repeated freeze.
  • Target

    LRP6 (Low Density Lipoprotein Receptor-Related Protein 6 (LRP6))

    Andere Bezeichnung

    LRP6

    Hintergrund

    Background: Component of the Wnt-Fzd-LRP5-LRP6 complex that triggers beta-catenin signaling through inducing aggregation of receptor-ligand complexes into ribosome-sized signalsomes. Cell-surface coreceptor of Wnt/beta-catenin signaling, which plays a pivotal role in bone formation. The Wnt-induced Fzd/LRP6 coreceptor complex recruits DVL1 polymers to the plasma membrane which, in turn, recruits the AXIN1/GSK3B-complex to the cell surface promoting the formation of signalsomes and inhibiting AXIN1/GSK3-mediated phosphorylation and destruction of beta-catenin. Required for posterior patterning of the epiblast during gastrulation (By similarity).

    Aliases: ADCAD2 antibody, C030016K15Rik antibody, Cd antibody, FLJ90062 antibody, FLJ90421 antibody, LDL receptor related protein 6 antibody, Low density lipoprotein receptor related protein 6 antibody, Low-density lipoprotein receptor-related protein 6 antibody, LRP-6 antibody, LRP6 antibody, LRP6_HUMAN antibody, OTTHUMP00000238979 antibody, OTTHUMP00000238980 antibody, OTTHUMP00000238982 antibody, STHAG7 antibody

    UniProt

    O75581

    Pathways

    WNT Signalweg, Tube Formation
Sie sind hier:
Chat with us!