Telefon:
+49 (0)241 95 163 153
Fax:
+49 (0)241 95 163 155
E-Mail:
orders@antikoerper-online.de

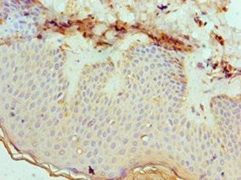
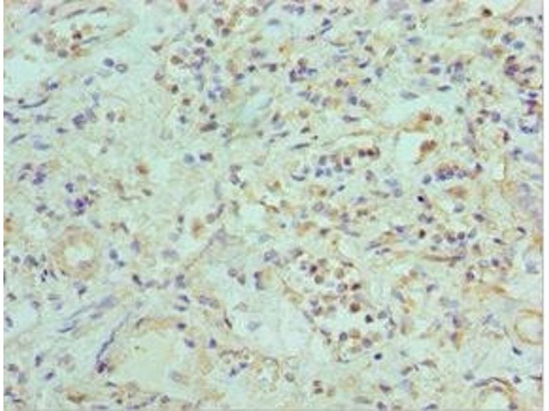
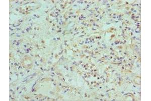
Ephrin B2 Antikörper (AA 28-229)

Dieser Kaninchen Polyklonal Antikörper detektiert spezifisch Ephrin B2 in WB, IHC und ELISA. Es zeigt Reaktivität gegenüber Proben von Human.
Produktnummer ABIN7151879
394,68 €
Zzgl. Versandkosten 20,00 € und MwSt
Lieferung nach: Deutschland
Lieferung in 11 bis 15 Werktagen

Kurzübersicht für Ephrin B2 Antikörper (AA 28-229) (ABIN7151879)

Target

Alle Ephrin B2 (EFNB2) Antikörper anzeigen
Ephrin B2 (EFNB2)

Reaktivität

  • 72
  • 47
  • 40
  • 1
  • 1
  • 1
  • 1
  • 1
  • 1
  • 1
  • 1
Human

Wirt

  • 68
  • 3
  • 1
Kaninchen

Klonalität

  • 49
  • 22
Polyklonal

Konjugat

  • 40
  • 5
  • 4
  • 4
  • 4
  • 4
  • 4
  • 4
  • 1
  • 1
  • 1
Dieser Ephrin B2 Antikörper ist unkonjugiert

Applikation

  • 48
  • 20
  • 19
  • 13
  • 13
  • 7
  • 3
  • 2
  • 1
  • 1
  • 1
Western Blotting (WB), Immunohistochemistry (IHC), ELISA
  • Bindungsspezifität

    • 10
    • 9
    • 3
    • 2
    • 2
    • 2
    • 2
    • 2
    • 2
    • 2
    • 1
    • 1
    • 1
    • 1
    • 1
    • 1
    • 1
    • 1
    • 1
    • 1
    • 1
    AA 28-229

    Verwendungszweck

    EFNB2 Antibody

    Kreuzreaktivität

    Maus

    Aufreinigung

    Antigen Affinity Purified

    Immunogen

    Recombinant Human Ephrin-B2 protein (28-229AA)

    Isotyp

    IgG
  • Applikationshinweise

    Optimal working dilution should be determined by the investigator.

    Beschränkungen

    Nur für Forschungszwecke einsetzbar
  • Format

    Liquid

    Buffer

    PBS with 0.02 % sodium azide, 50 % glycerol, pH 7.3.

    Konservierungsmittel

    Sodium azide

    Vorsichtsmaßnahmen

    This product contains Sodium azide: a POISONOUS AND HAZARDOUS SUBSTANCE which should be handled by trained staff only.

    Lagerung

    -20 °C,-80 °C

    Informationen zur Lagerung

    Upon receipt, store at -20°C or -80°C. Avoid repeated freeze.
  • Target

    Ephrin B2 (EFNB2)

    Andere Bezeichnung

    EFNB2

    Hintergrund

    Background: Cell surface transmembrane ligand for Eph receptors, a family of receptor tyrosine kinases which are crucial for migration, repulsion and adhesion during neuronal, vascular and epithelial development. Binds promiscuously Eph receptors residing on adjacent cells, leading to contact-dependent bidirectional signaling into neighboring cells. The signaling pathway downstream of the receptor is referred to as forward signaling while the signaling pathway downstream of the ephrin ligand is referred to as reverse signaling. Binds to receptor tyrosine kinase including EPHA4, EPHA3 and EPHB4. Together with EPHB4 plays a central role in heart morphogenesis and angiogenesis through regulation of cell adhesion and cell migration. EPHB4-mediated forward signaling controls cellular repulsion and segregation from EFNB2-expressing cells. May play a role in constraining the orientation of longitudinally projecting axons.

    Aliases: EFN B2 antibody, EFNB 2 antibody, Efnb2 antibody, EFNB2_HUMAN antibody, Eph related receptor tyrosine kinase ligand 5 antibody, EPH-related receptor tyrosine kinase ligand 5 antibody, ephrin B2 antibody, Ephrin-B2 antibody, EphrinB2 antibody, EPLG 5 antibody, EPLG5 antibody, Htk L antibody, HTK ligand antibody, HTK-L antibody, HTKL antibody, LERK 5 antibody, LERK-5 antibody, LERK5 antibody, Ligand of eph related kinase 5 antibody, MGC126226 antibody, MGC126227 antibody, MGC126228 antibody, OTTMUSP00000024973 antibody

    UniProt

    P52799

    Pathways

    RTK Signalweg, Regulation of Muscle Cell Differentiation
Sie sind hier:
Chat with us!