Telefon:
+49 (0)241 95 163 153
Fax:
+49 (0)241 95 163 155
E-Mail:
orders@antikoerper-online.de

SHP1 Antikörper (pTyr536)

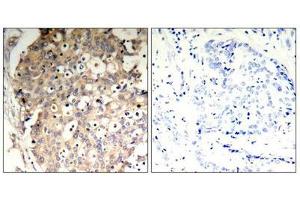
Der Kaninchen Polyklonal anti-SHP1 Antikörper (ABIN7139023) detektiert spezifisch SHP1 in ELISA, IHC und IF. Dieser Antikörper reagiert spezifisch mit Proben aus Human.
Produktnummer ABIN7139023
396,00 €
Zzgl. Versandkosten 20,00 € und MwSt
100 μL
Lieferung nach: Deutschland
Lieferung in 11 bis 15 Werktagen

Kurzübersicht für SHP1 Antikörper (pTyr536) (ABIN7139023)

Target

Alle SHP1 (PTPN6) Antikörper anzeigen
SHP1 (PTPN6) (Protein-tyrosine Phosphatase 1C (PTPN6))

Reaktivität

  • 147
  • 78
  • 59
  • 4
  • 3
  • 2
  • 2
  • 2
  • 1
  • 1
  • 1
  • 1
Human

Wirt

  • 122
  • 27
  • 1
Kaninchen

Klonalität

  • 97
  • 53
Polyklonal

Konjugat

  • 66
  • 9
  • 5
  • 5
  • 5
  • 5
  • 5
  • 5
  • 5
  • 3
  • 2
  • 2
  • 2
  • 2
  • 2
  • 2
  • 2
  • 2
  • 2
  • 2
  • 2
  • 2
  • 2
  • 2
  • 1
  • 1
  • 1
  • 1
  • 1
  • 1
  • 1
  • 1
  • 1
Dieser SHP1 Antikörper ist unkonjugiert

Applikation

  • 108
  • 40
  • 33
  • 25
  • 23
  • 14
  • 13
  • 13
  • 11
  • 7
  • 6
  • 4
  • 2
  • 2
  • 1
  • 1
  • 1
ELISA, Immunohistochemistry (IHC), Immunofluorescence (IF)
  • Bindungsspezifität

    • 34
    • 12
    • 7
    • 6
    • 5
    • 3
    • 3
    • 2
    • 2
    • 2
    • 2
    • 1
    • 1
    • 1
    • 1
    • 1
    • 1
    • 1
    • 1
    • 1
    • 1
    • 1
    • 1
    • 1
    • 1
    • 1
    • 1
    • 1
    pTyr536

    Verwendungszweck

    Phospho-PTPN6 (Tyr536) Antibody

    Kreuzreaktivität

    Maus, Ratte

    Aufreinigung

    Antibodies were produced by immunizing rabbits with synthetic phosphopeptide and KLH conjugates. Antibodies were purified by affinity-chromatography using epitope-specific phosphopeptide. Non-phospho specific antibodies were removed by chromatogramphy usi

    Immunogen

    Peptide sequence around phosphorylation site of tyrosine 536 (S-E-Y(p)-G-N) derived from Human SHP-1.

    Isotyp

    IgG
  • Applikationshinweise

    Optimal working dilution should be determined by the investigator.

    Beschränkungen

    Nur für Forschungszwecke einsetzbar
  • Format

    Liquid

    Buffer

    Supplied at 1.0 mg/mL in phosphate buffered saline (without Mg2+ and Ca2+), pH 7.4, 150 mM NaCl, 0.02 % sodium azide and 50 % glycerol.

    Konservierungsmittel

    Sodium azide

    Vorsichtsmaßnahmen

    This product contains Sodium azide: a POISONOUS AND HAZARDOUS SUBSTANCE which should be handled by trained staff only.

    Lagerung

    -20 °C,-80 °C

    Informationen zur Lagerung

    Upon receipt, store at -20°C or -80°C. Avoid repeated freeze.
  • Target

    SHP1 (PTPN6) (Protein-tyrosine Phosphatase 1C (PTPN6))

    Andere Bezeichnung

    PTPN6

    Hintergrund

    Background: Acts downstream of various receptor and cytoplasmic protein tyrosine kinases to participate in the signal transduction from the cell surface to the nucleus.

    Migone TS, et al. (1998) Proc Natl Acad Sci USA, 95(7): 3845-3850.
    Timms JF, et al.(1998) Mol Cell Biol, 18(7): 3838-3850.
    Kanagasundaram V, et al. (1999) Mol Cell Biol, 19(6): 4079-4092.
    Hauck CR, et al. (1999) Infect Immun, 67(10): 5490-5494.

    Aliases: 70Z-SHP antibody, EC 3.1.3.48 antibody, HCP antibody, HCPH antibody, Hematopoietic cell phosphatase antibody, Hematopoietic cell protein tyrosine phosphatase antibody, Hematopoietic cell protein-tyrosine phosphatase antibody, HPTP1C antibody, Protein tyrosine phosphatase 1C antibody, Protein tyrosine phosphatase non receptor type 6 antibody, Protein tyrosine phosphatase SHP1 antibody, Protein-tyrosine phosphatase 1C antibody, protein-tyrosine phosphatase SHP 1 antibody, Protein-tyrosine phosphatase SHP-1 antibody, PTN6_HUMAN antibody, PTP 1C antibody, PTP-1C antibody, PTP1C antibody, Ptpn6 antibody, SH PTP 1 antibody, SH PTP1 antibody, SH-PTP1 antibody, SHP 1 antibody, SHP 1L antibody, SHP1 antibody, SHP1L antibody, tyrosine protein phosphatase non receptor type 6 antibody, Tyrosine-protein phosphatase non-receptor type 6 antibody

    UniProt

    P29350

    Pathways

    JAK-STAT Signalweg, T-Zell Rezeptor Signalweg, TLR Signalweg, Nuclear Receptor Transcription Pathway, Positive Regulation of Peptide Hormone Secretion, Steroid Hormone Mediated Signaling Pathway, Response to Growth Hormone Stimulus, Regulation of Leukocyte Mediated Immunity, CXCR4-mediated Signaling Events, Signaling Events mediated by VEGFR1 and VEGFR2, BCR Signaling
Sie sind hier:
Chat with us!