Telefon:
+49 (0)241 95 163 153
Fax:
+49 (0)241 95 163 155
E-Mail:
orders@antikoerper-online.de

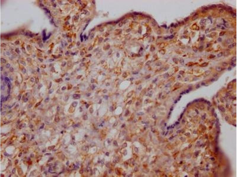
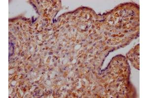
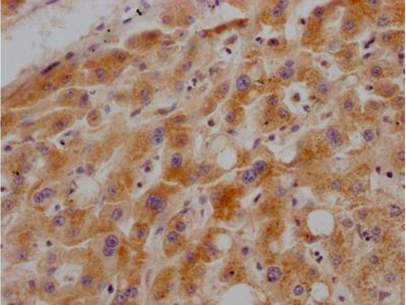
Rekombinanter Growth Hormone Receptor Antikörper

Dieser Kaninchen Monoklonal Antikörper detektiert spezifisch Growth Hormone Receptor in ELISA, IHC und IF. Es zeigt Reaktivität gegenüber Proben von Human.
Produktnummer ABIN7127528
385,00 €
Zzgl. Versandkosten 20,00 € und MwSt
Lieferung nach: Deutschland
Lieferung in 11 bis 15 Werktagen

Kurzübersicht für Rekombinanter Growth Hormone Receptor Antikörper (ABIN7127528)

Target

Alle Growth Hormone Receptor (GHR) Antikörper anzeigen
Growth Hormone Receptor (GHR)

Antikörpertyp

Recombinant Antibody

Reaktivität

  • 66
  • 44
  • 44
  • 17
  • 16
  • 2
  • 1
Human

Wirt

  • 64
  • 5
  • 1
Kaninchen

Klonalität

  • 46
  • 24
Monoklonal

Konjugat

  • 30
  • 5
  • 3
  • 3
  • 2
  • 2
  • 2
  • 2
  • 2
  • 2
  • 2
  • 1
  • 1
  • 1
  • 1
  • 1
  • 1
  • 1
  • 1
  • 1
  • 1
  • 1
  • 1
  • 1
  • 1
  • 1
Dieser Growth Hormone Receptor Antikörper ist unkonjugiert

Applikation

  • 51
  • 27
  • 20
  • 15
  • 14
  • 14
  • 12
  • 8
  • 6
  • 5
  • 4
  • 1
  • 1
  • 1
  • 1
ELISA, Immunohistochemistry (IHC), Immunofluorescence (IF)

Klon

10C11
  • Verwendungszweck

    GHR Recombinant Monoclonal Antibody

    Aufreinigung

    Affinity-chromatography

    Immunogen

    A synthesized peptide derived from human Growth hormone receptor

    Isotyp

    IgG
  • Applikationshinweise

    IHC:1:50-1:200, IF:1:20-1:200

    Beschränkungen

    Nur für Forschungszwecke einsetzbar
  • Format

    Liquid

    Buffer

    phosphate buffered saline, pH 7.4, 150 mM NaCl, 0.02 % sodium azide and 50 % glycerol.

    Konservierungsmittel

    Sodium azide

    Vorsichtsmaßnahmen

    This product contains Sodium azide: a POISONOUS AND HAZARDOUS SUBSTANCE which should be handled by trained staff only.

    Lagerung

    -20 °C,-80 °C

    Informationen zur Lagerung

    Upon receipt, store at -20°C or -80°C. Avoid repeated freeze.
  • Target

    Growth Hormone Receptor (GHR)

    Andere Bezeichnung

    GHR

    Hintergrund

    Background: Receptor for pituitary gland growth hormone involved in regulating postnatal body growth. On ligand binding, couples to the JAK2/STAT5 pathway (By similarity).

    Aliases: Growth hormone receptor (GH receptor) (Somatotropin receptor) [Cleaved into: Growth hormone-binding protein (GH-binding protein) (GHBP) (Serum-binding protein)], GHR

    UniProt

    P10912

    Pathways

    NF-kappaB Signalweg, JAK-STAT Signalweg, Response to Growth Hormone Stimulus
Sie sind hier:
Chat with us!