Telefon:
+49 (0)241 95 163 153
Fax:
+49 (0)241 95 163 155
E-Mail:
orders@antikoerper-online.de

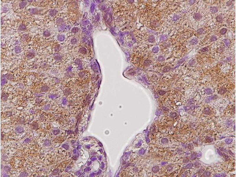
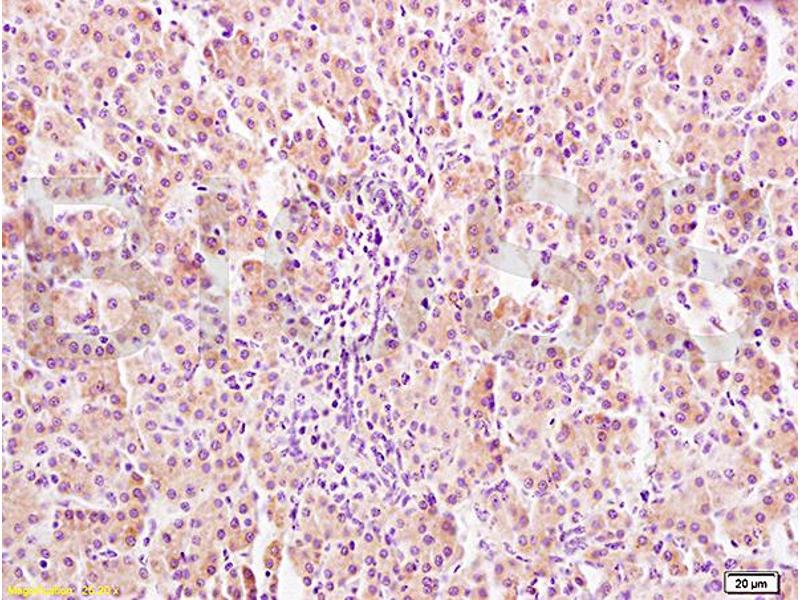
Growth Hormone Receptor Antikörper (AA 101-200)

Zitiert in 7+ Publikationen. Der Kaninchen Polyklonal anti-Growth Hormone Receptor Antikörper (ABIN671481) detektiert spezifisch Growth Hormone Receptor in WB, ELISA, FACS, IF (cc), IF (p), IHC (p) und IHC (fro). Dieser Antikörper reagiert spezifisch mit Proben aus Human, Maus, Ratte, Schwein und Schaf.
Produktnummer ABIN671481
384,62 €
Zzgl. Versandkosten 20,00 € und MwSt
100 μL
Lieferung nach: Deutschland
Lieferung in 8 bis 12 Werktagen

Kurzübersicht für Growth Hormone Receptor Antikörper (AA 101-200) (ABIN671481)

Target

Alle Growth Hormone Receptor (GHR) Antikörper anzeigen
Growth Hormone Receptor (GHR)

Reaktivität

  • 66
  • 43
  • 43
  • 16
  • 15
  • 2
  • 1
Human, Maus, Ratte, Schwein, Schaf

Wirt

  • 64
  • 5
  • 1
Kaninchen

Klonalität

  • 45
  • 25
Polyklonal

Konjugat

  • 30
  • 5
  • 3
  • 3
  • 2
  • 2
  • 2
  • 2
  • 2
  • 2
  • 2
  • 1
  • 1
  • 1
  • 1
  • 1
  • 1
  • 1
  • 1
  • 1
  • 1
  • 1
  • 1
  • 1
  • 1
  • 1
Dieser Growth Hormone Receptor Antikörper ist unkonjugiert

Applikation

  • 50
  • 26
  • 20
  • 15
  • 13
  • 13
  • 13
  • 8
  • 7
  • 4
  • 3
  • 1
  • 1
  • 1
  • 1
Western Blotting (WB), ELISA, Flow Cytometry (FACS), Immunofluorescence (Cultured Cells) (IF (cc)), Immunofluorescence (Paraffin-embedded Sections) (IF (p)), Immunohistochemistry (Paraffin-embedded Sections) (IHC (p)), Immunohistochemistry (Frozen Sections) (IHC (fro))
  • Bindungsspezifität

    • 15
    • 5
    • 5
    • 3
    • 2
    • 2
    • 1
    • 1
    • 1
    • 1
    • 1
    • 1
    • 1
    • 1
    • 1
    • 1
    • 1
    • 1
    AA 101-200

    Kreuzreaktivität

    Human, Maus, Schwein, Ratte, Schaf

    Homologie

    Dog,Cow,Chicken

    Aufreinigung

    Purified by Protein A.

    Immunogen

    KLH conjugated synthetic peptide derived from human GHR

    Isotyp

    IgG
  • Applikationshinweise

    WB 1:300-5000
    ELISA 1:500-1000
    FCM 1:20-100
    IHC-P 1:200-400
    IHC-F 1:100-500
    IF(IHC-P) 1:50-200
    IF(IHC-F) 1:50-200
    IF(ICC) 1:50-200

    Beschränkungen

    Nur für Forschungszwecke einsetzbar
  • Format

    Liquid

    Konzentration

    1 μg/μL

    Buffer

    0.01M TBS( pH 7.4) with 1 % BSA, 0.02 % Proclin300 and 50 % Glycerol.

    Konservierungsmittel

    ProClin

    Vorsichtsmaßnahmen

    This product contains ProClin: a POISONOUS AND HAZARDOUS SUBSTANCE, which should be handled by trained staff only.

    Lagerung

    4 °C,-20 °C

    Informationen zur Lagerung

    Shipped at 4°C. Store at -20°C for one year. Avoid repeated freeze/thaw cycles.

    Haltbarkeit

    12 months
  • Zhou, Yang, Yang, Huang, Zhou, Jiang, Yang: "Effects of zearalenone on the localization and expression of the growth hormone receptor gene in the uteri of post-weaning piglets." in: Asian-Australasian journal of animal sciences, Vol. 31, Issue 1, pp. 32-39, (2018) (PubMed).

    Zhao, Feng, Zhang, Kou, Li, Liu, Zhang, Cui, Chu, Shen, Min: "Inhibition of peripubertal sheep mammary gland development by cysteamine through reducing progesterone and growth factor production." in: Theriogenology, Vol. 89, pp. 280-288, (2017) (PubMed).

    Chu, Zhao, Feng, Zhang, Liu, Cheng, Li, Shen, Cao, Li, Min: "MicroRNA-126 participates in lipid metabolism in mammary epithelial cells." in: Molecular and cellular endocrinology, Vol. 454, pp. 77-86, (2017) (PubMed).

    Hetz, Menzies, Shaw, Rao, Clarke, Renfree: "Growth axis maturation is linked to nutrition, growth and developmental rate." in: Molecular and cellular endocrinology, Vol. 411, pp. 38-48, (2015) (PubMed).

    Song, Yang, Tang, Chen: "Effects of sericin on the testicular growth hormone/insulin-like growth factor-1 axis in a rat model of type 2 diabetes." in: International journal of clinical and experimental medicine, Vol. 8, Issue 7, pp. 10411-9, (2015) (PubMed).

    Yang, Sun, Sun, Qi: "Effect of suppressor of cytokine signaling 2 (SOCS2) on fat metabolism induced by growth hormone (GH) in porcine primary adipocyte." in: Molecular biology reports, Vol. 39, Issue 9, pp. 9113-22, (2012) (PubMed).

    Wang, Zhou, Lin, Wang, Lin, Li: "RhGH attenuates ischemia injury of intrahepatic bile ducts relating to liver transplantation." in: The Journal of surgical research, Vol. 171, Issue 1, pp. 300-10, (2011) (PubMed).

  • Target

    Growth Hormone Receptor (GHR)

    Andere Bezeichnung

    GHR

    Hintergrund

    Synonyms: GHBP, Growth hormone receptor, GH receptor, Somatotropin receptor, GHR

    Background: Receptor for pituitary gland growth hormone involved in regulating postnatal body growth. On ligand binding, couples to the JAK2/STAT5 pathway (By similarity). The soluble form (GHBP) acts as a reservoir of growth hormone in plasma and may be a modulator/inhibitor of GH signaling. Isoform 2 up-regulates the production of GHBP and acts as a negative inhibitor of GH signaling.

    Gen-ID

    2690

    UniProt

    P10912

    Pathways

    NF-kappaB Signalweg, JAK-STAT Signalweg, Response to Growth Hormone Stimulus
Sie sind hier:
Chat with us!