Telefon:
+49 (0)241 95 163 153
Fax:
+49 (0)241 95 163 155
E-Mail:
orders@antikoerper-online.de

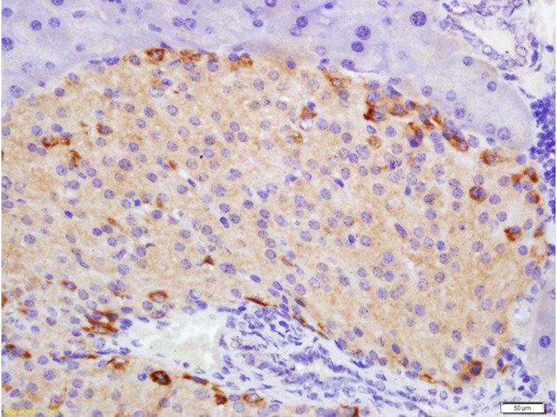
ULK1 Antikörper (AA 951-1050)

Dieser Kaninchen Polyklonal Antikörper detektiert spezifisch ULK1 in WB, ELISA, FACS, IF (cc), IF (p), IHC (p) und IHC (fro). Es zeigt Reaktivität gegenüber Proben von Human, Maus und Ratte. Es wurde in 3+ Publikationen zitiert.
Produktnummer ABIN701440
357,70 €
Zzgl. Versandkosten 20,00 € und MwSt
100 μL
Lieferung nach: Deutschland
Lieferung in 8 bis 12 Werktagen

Kurzübersicht für ULK1 Antikörper (AA 951-1050) (ABIN701440)

Target

Alle ULK1 Antikörper anzeigen
ULK1 (Unc-51 Like Kinase 1 (ULK1))

Reaktivität

  • 179
  • 93
  • 71
  • 4
  • 4
  • 4
  • 3
  • 2
  • 2
  • 2
  • 2
  • 2
  • 2
  • 1
  • 1
  • 1
  • 1
  • 1
  • 1
Human, Maus, Ratte

Wirt

  • 184
  • 3
  • 1
Kaninchen

Klonalität

  • 145
  • 43
Polyklonal

Konjugat

  • 54
  • 19
  • 15
  • 14
  • 10
  • 8
  • 6
  • 6
  • 6
  • 6
  • 6
  • 6
  • 3
  • 3
  • 2
  • 2
  • 2
  • 2
  • 2
  • 2
  • 2
  • 2
  • 2
  • 2
  • 2
  • 1
  • 1
  • 1
  • 1
Dieser ULK1 Antikörper ist unkonjugiert

Applikation

  • 123
  • 74
  • 46
  • 39
  • 31
  • 25
  • 25
  • 25
  • 19
  • 7
  • 5
  • 2
  • 2
  • 1
Western Blotting (WB), ELISA, Flow Cytometry (FACS), Immunofluorescence (Cultured Cells) (IF (cc)), Immunofluorescence (Paraffin-embedded Sections) (IF (p)), Immunohistochemistry (Paraffin-embedded Sections) (IHC (p)), Immunohistochemistry (Frozen Sections) (IHC (fro))
  • Bindungsspezifität

    • 37
    • 17
    • 15
    • 10
    • 9
    • 9
    • 8
    • 8
    • 8
    • 7
    • 6
    • 6
    • 5
    • 4
    • 4
    • 2
    • 2
    • 1
    • 1
    • 1
    • 1
    • 1
    • 1
    • 1
    • 1
    • 1
    • 1
    • 1
    • 1
    AA 951-1050

    Kreuzreaktivität

    Human, Maus, Ratte

    Homologie

    Cow,Pig,Horse,Chicken,Rabbit

    Aufreinigung

    Purified by Protein A.

    Immunogen

    KLH conjugated synthetic peptide derived from human ATG1/ULK1

    Isotyp

    IgG
  • Applikationshinweise

    WB 1:300-5000
    ELISA 1:500-1000
    FCM 1:20-100
    IHC-P 1:200-400
    IHC-F 1:100-500
    IF(IHC-P) 1:50-200
    IF(IHC-F) 1:50-200
    IF(ICC) 1:50-200

    Beschränkungen

    Nur für Forschungszwecke einsetzbar
  • Format

    Liquid

    Konzentration

    1 μg/μL

    Buffer

    0.01M TBS( pH 7.4) with 1 % BSA, 0.02 % Proclin300 and 50 % Glycerol.

    Konservierungsmittel

    ProClin

    Vorsichtsmaßnahmen

    This product contains ProClin: a POISONOUS AND HAZARDOUS SUBSTANCE, which should be handled by trained staff only.

    Lagerung

    4 °C,-20 °C

    Informationen zur Lagerung

    Shipped at 4°C. Store at -20°C for one year. Avoid repeated freeze/thaw cycles.

    Haltbarkeit

    12 months
  • Shen, Hou, Zhu, Zhao, Ouyang, Feng et al.: "Cortical spreading depression preconditioning mediates neuroprotection against ischemic stroke by inducing AMP-activated protein kinase-dependent autophagy in a rat cerebral ischemic/reperfusion ..." in: Journal of neurochemistry, Vol. 140, Issue 5, pp. 799-813, (2016) (PubMed).

    Gao, Wang, Yi, Kou, Xie, Song: "Activation of lysosomal degradative pathway in spinal cord tissues of carbon disulfide-treated rats." in: Chemico-biological interactions, Vol. 219C, pp. 76-82, (2014) (PubMed).

    Song, Kou, Zou, Gao, Zeng, Xie: "Involvement of autophagy in tri-ortho-cresyl phosphate- induced delayed neuropathy in hens." in: Neurochemistry international, Vol. 64, pp. 1-8, (2013) (PubMed).

  • Target

    ULK1 (Unc-51 Like Kinase 1 (ULK1))

    Andere Bezeichnung

    ATG1/ULK1

    Hintergrund

    Synonyms: ATG1, ATG1A, UNC51, hATG1, Unc51.1, Serine/threonine-protein kinase ULK1, Autophagy-related protein 1 homolog, Unc-51-like kinase 1, ULK1, KIAA722

    Background: Serine/threonine-protein kinase involved in autophagy in response to starvation. Acts upstream of phosphatidylinositol 3-kinase PIK3C3 to regulate the formation of autophagophores, the precursors of autophagosomes. Part of regulatory feedback loops in autophagy: acts both as a downstream effector and negative regulator of mammalian target of rapamycin complex 1 (mTORC1) via interaction with RPTOR. Activated via phosphorylation by AMPK and also acts as a regulator of AMPK by mediating phosphorylation of AMPK subunits PRKAA1, PRKAB2 and PRKAG1, leading to negatively regulate AMPK activity. May phosphorylate ATG13/KIAA652 and RPTOR, however such data need additional evidences. Plays a role early in neuronal differentiation and is required for granule cell axon formation.

    Gen-ID

    8408

    UniProt

    O75385

    Pathways

    Regulation of Cell Size, Autophagie
Sie sind hier:
Chat with us!