Telefon:
+49 (0)241 95 163 153
Fax:
+49 (0)241 95 163 155
E-Mail:
orders@antikoerper-online.de

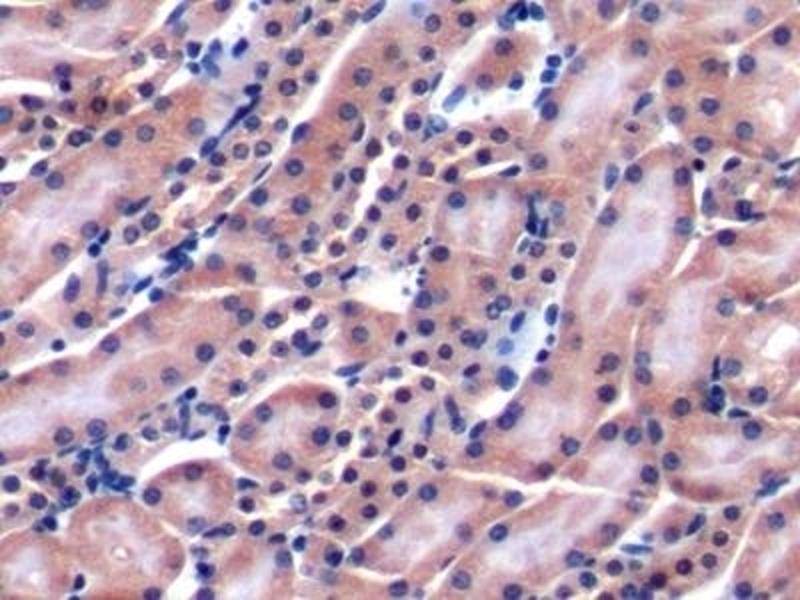
LY9 Antikörper (AA 384-642)

Der Kaninchen Polyklonal anti-LY9 Antikörper (ABIN7438622) detektiert spezifisch LY9 in WB und IHC. Dieser Antikörper reagiert spezifisch mit Proben aus Maus.
Produktnummer ABIN7438622
304,89 €
Zzgl. Versandkosten 20,00 € und MwSt
Lieferung nach: Deutschland
Lieferung in 11 bis 15 Werktagen

Kurzübersicht für LY9 Antikörper (AA 384-642) (ABIN7438622)

Target

Alle LY9 (CD229) Antikörper anzeigen
LY9 (CD229) (Lymphocyte Antigen 9 (CD229))

Reaktivität

  • 50
  • 12
  • 4
  • 1
Maus

Wirt

  • 36
  • 19
  • 2
Kaninchen

Klonalität

  • 34
  • 23
Polyklonal

Konjugat

  • 30
  • 5
  • 5
  • 3
  • 2
  • 1
  • 1
  • 1
  • 1
  • 1
  • 1
  • 1
  • 1
  • 1
  • 1
  • 1
  • 1
Dieser LY9 Antikörper ist unkonjugiert

Applikation

  • 25
  • 19
  • 14
  • 13
  • 13
  • 12
  • 12
  • 11
  • 5
  • 5
  • 4
  • 4
  • 3
  • 1
  • 1
  • 1
Western Blotting (WB), Immunohistochemistry (IHC)
  • Bindungsspezifität

    • 15
    • 3
    • 2
    • 2
    • 1
    • 1
    • 1
    • 1
    • 1
    • 1
    • 1
    • 1
    AA 384-642

    Verwendungszweck

    Polyclonal Antibody to Cluster Of Differentiation 229 (CD229)

    Spezifität

    The antibody is a rabbit polyclonal antibody raised against CD229. It has been selected for its ability to recognize CD229 in immunohistochemical staining and western blotting.

    Aufreinigung

    Antigen-specific affinity chromatography followed by Protein A affinity chromatography

    Immunogen

    Recombinant Cluster Of Differentiation 229 (CD229) corresdonding to Val384~Ala642 (Accession # Q01965)

    Isotyp

    IgG
  • Applikationshinweise

    Western blotting: 0.01-2 μg/mL,Immunohistochemistry: 5-20 μg/mL,Immunocytochemistry: 5-20 μg/mL,Optimal working dilutions must be determined by end user.

    Kommentare

    The thermal stability is described by the loss rate. The loss rate was determined by accelerated thermal degradation test, that is, incubate the protein at 37°C for 48h, and no obvious degradation and precipitation were observed. The loss rate is less than 5% within the expiration date under appropriate storage condition.

    Beschränkungen

    Nur für Forschungszwecke einsetzbar
  • Format

    Liquid

    Konzentration

    0.5 mg/mL

    Buffer

    0.01M PBS, pH 7.4, containing 0.05 % Proclin-300, 50 % glycerol.

    Konservierungsmittel

    ProClin

    Vorsichtsmaßnahmen

    This product contains ProClin: a POISONOUS AND HAZARDOUS SUBSTANCE which should be handled by trained staff only.

    Lagerung

    4 °C,-20 °C

    Informationen zur Lagerung

    Store at 4°C for frequent use. Stored at -20°C in a manual defrost freezer for two year without detectable loss of activity. Avoid repeated freeze-thaw cycles.

    Haltbarkeit

    24 months
  • Target

    LY9 (CD229) (Lymphocyte Antigen 9 (CD229))

    Andere Bezeichnung

    CD229

    Hintergrund

    LY9, SLAMF3, Hly9, Mly9, SLAMF3, Lymphocyte Antigen 9, Cell surface molecule Ly-9, Signaling lymphocytic activation molecule 3

    UniProt

    Q01965

    Pathways

    BCR Signaling
Sie sind hier:
Chat with us!