Telefon:
+49 (0)241 95 163 153
Fax:
+49 (0)241 95 163 155
E-Mail:
orders@antikoerper-online.de

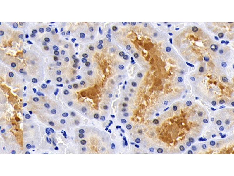
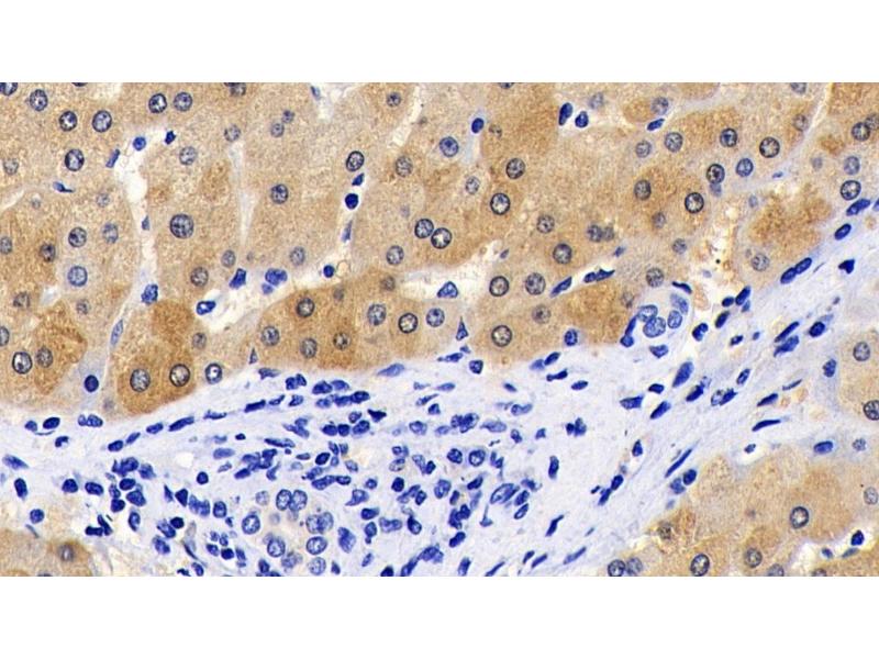
Caspase 8 Antikörper (AA 385-479)

Dieser Kaninchen Polyklonal Antikörper detektiert spezifisch Caspase 8 in WB, IHC, ICC und IP. Es zeigt Reaktivität gegenüber Proben von Human.
Produktnummer ABIN7437074
263,88 €
Zzgl. Versandkosten 20,00 € und MwSt
Lieferung nach: Deutschland
Lieferung in 11 bis 15 Werktagen

Kurzübersicht für Caspase 8 Antikörper (AA 385-479) (ABIN7437074)

Target

Alle Caspase 8 (CASP8) Antikörper anzeigen
Caspase 8 (CASP8)

Reaktivität

  • 175
  • 74
  • 67
  • 23
  • 16
  • 16
  • 11
  • 2
  • 1
Human

Wirt

  • 164
  • 32
  • 6
  • 2
Kaninchen

Klonalität

  • 137
  • 66
Polyklonal

Konjugat

  • 120
  • 19
  • 11
  • 4
  • 3
  • 3
  • 3
  • 3
  • 3
  • 3
  • 2
  • 2
  • 2
  • 2
  • 2
  • 2
  • 2
  • 2
  • 2
  • 2
  • 2
  • 2
  • 2
  • 2
  • 2
  • 2
Dieser Caspase 8 Antikörper ist unkonjugiert

Applikation

  • 183
  • 66
  • 48
  • 48
  • 47
  • 42
  • 27
  • 27
  • 23
  • 23
  • 8
  • 4
  • 4
  • 3
  • 1
  • 1
  • 1
  • 1
Western Blotting (WB), Immunohistochemistry (IHC), Immunocytochemistry (ICC), Immunoprecipitation (IP)
  • Bindungsspezifität

    • 16
    • 16
    • 12
    • 7
    • 7
    • 7
    • 7
    • 6
    • 5
    • 4
    • 4
    • 3
    • 3
    • 3
    • 3
    • 3
    • 2
    • 2
    • 2
    • 2
    • 2
    • 2
    • 2
    • 2
    • 2
    • 2
    • 2
    • 2
    • 2
    • 2
    • 1
    • 1
    • 1
    • 1
    • 1
    • 1
    • 1
    • 1
    • 1
    • 1
    • 1
    • 1
    • 1
    • 1
    • 1
    • 1
    • 1
    • 1
    • 1
    • 1
    AA 385-479

    Verwendungszweck

    Polyclonal Antibody to Caspase 8 (CASP8)

    Spezifität

    The antibody is a rabbit polyclonal antibody raised against CASP8. It has been selected for its ability to recognize CASP8 in immunohistochemical staining and western blotting.

    Kreuzreaktivität

    Maus, Schwein, Ratte

    Aufreinigung

    Antigen-specific affinity chromatography followed by Protein A affinity chromatography

    Immunogen

    Recombinant Caspase 8 (CASP8) corresdonding to Leu385~Asp479

    Isotyp

    IgG
  • Applikationshinweise

    Western blotting: 0.2-2 μg/mL,Immunohistochemistry: 2-20 μg/mL,Immunocytochemistry: 2-20 μg/mL,Optimal working dilutions must be determined by end user.

    Kommentare

    The thermal stability is described by the loss rate. The loss rate was determined by accelerated thermal degradation test, that is, incubate the protein at 37°C for 48h, and no obvious degradation and precipitation were observed. The loss rate is less than 5% within the expiration date under appropriate storage condition.

    Beschränkungen

    Nur für Forschungszwecke einsetzbar
  • Format

    Liquid

    Konzentration

    500 μg/mL

    Buffer

    0.01M PBS, pH 7.4, containing 0.05 % Proclin-300, 50 % glycerol.

    Konservierungsmittel

    ProClin

    Vorsichtsmaßnahmen

    This product contains ProClin: a POISONOUS AND HAZARDOUS SUBSTANCE which should be handled by trained staff only.

    Lagerung

    4 °C,-20 °C

    Informationen zur Lagerung

    Store at 4°C for frequent use. Stored at -20°C in a manual defrost freezer for two year without detectable loss of activity. Avoid repeated freeze-thaw cycles.

    Haltbarkeit

    24 months
  • Target

    Caspase 8 (CASP8)

    Andere Bezeichnung

    CASP8

    Hintergrund

    CAP4, FLICE, MACH, MCH5, Cysteinyl Aspartate Specific Proteinases 8, Apoptotic cysteine protease, FADD-homologous ICE/ced-3-like protease, MORT1-associated ced-3 homolog

    UniProt

    Q14790

    Pathways

    Apoptose, Caspase Kaskade in der Apoptose, TLR Signalweg, Activation of Innate immune Response, Tube Formation, Positive Regulation of Endopeptidase Activity, Toll-Like Receptors Cascades
Sie sind hier:
Chat with us!