IGF1 Antikörper (AA 49-118)
Kurzübersicht für IGF1 Antikörper (AA 49-118) (ABIN7425629)
Target
Alle IGF1 Antikörper anzeigenReaktivität
Wirt
Klonalität
Konjugat
Applikation
Klon
-
-
Bindungsspezifität
- AA 49-118
-
Verwendungszweck
- Monoclonal Antibody to Insulin Like Growth Factor 1 (IGF1)
-
Spezifität
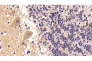
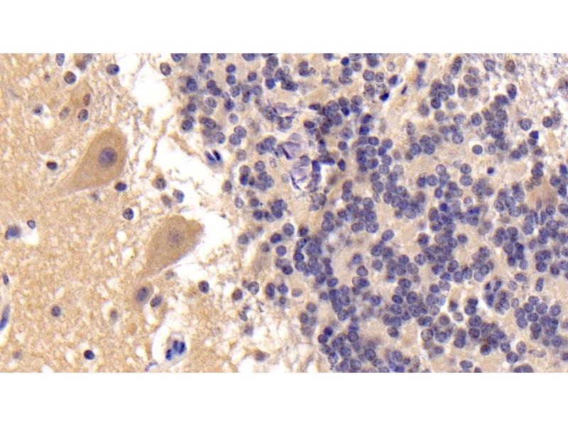
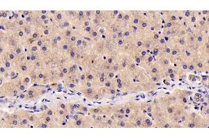
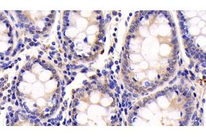
- The antibody is a mouse monoclonal antibody raised against IGF1. It has been selected for its ability to recognize IGF1 in immunohistochemical staining and western blotting.
-
Kreuzreaktivität
- Maus, Schwein, Ratte
-
Aufreinigung
- Protein A + Protein G affinity chromatography
-
Immunogen
- Recombinant Insulin Like Growth Factor 1 (IGF1) corresdonding to Gly49~Ala118 with N-terminal His and GST Tag
-
Isotyp
- IgG2b kappa
-
-
-
-
Applikationshinweise
- Western blotting: 0.01-2 μg/mL,Immunofluorescence:5-30 μg/mL,Optimal working dilutions must be determined by end user.
-
Kommentare
-
The thermal stability is described by the loss rate. The loss rate was determined by accelerated thermal degradation test, that is, incubate the protein at 37°C for 48h, and no obvious degradation and precipitation were observed. The loss rate is less than 5% within the expiration date under appropriate storage condition.
-
Beschränkungen
- Nur für Forschungszwecke einsetzbar
-
-
-
Format
- Liquid
-
Konzentration
- 1 mg/mL
-
Buffer
- 0.01M PBS, pH 7.4, containing 0.05 % Proclin-300, 50 % glycerol.
-
Konservierungsmittel
- ProClin
-
Vorsichtsmaßnahmen
- This product contains ProClin: a POISONOUS AND HAZARDOUS SUBSTANCE which should be handled by trained staff only.
-
Lagerung
- 4 °C,-20 °C
-
Informationen zur Lagerung
- Store at 4°C for frequent use. Stored at -20°C in a manual defrost freezer for two year without detectable loss of activity. Avoid repeated freeze-thaw cycles.
-
Haltbarkeit
- 24 months
-
-
- IGF1 (Insulin-Like Growth Factor 1 (IGF1))
-
Andere Bezeichnung
- IGF1
-
Hintergrund
- IGFI, IGF1A, IBP1, MGF, Somatomedin C, Mechano Growth Gactor
-
UniProt
- P05019
-
Pathways
- RTK Signalweg, Intracellular Steroid Hormone Receptor Signaling Pathway, Peptide Hormone Metabolism, Hormone Activity, Regulation of Intracellular Steroid Hormone Receptor Signaling, Regulation of Hormone Metabolic Process, Regulation of Hormone Biosynthetic Process, Stem Cell Maintenance, Glycosaminoglycan Metabolic Process, Regulation of Carbohydrate Metabolic Process, Autophagie, Smooth Muscle Cell Migration, Activated T Cell Proliferation, Positive Regulation of fat Cell Differentiation
Target
-