GIP Antikörper
Kurzübersicht für GIP Antikörper (ABIN6570298)
Target
Alle GIP Antikörper anzeigenReaktivität
Wirt
Klonalität
Konjugat
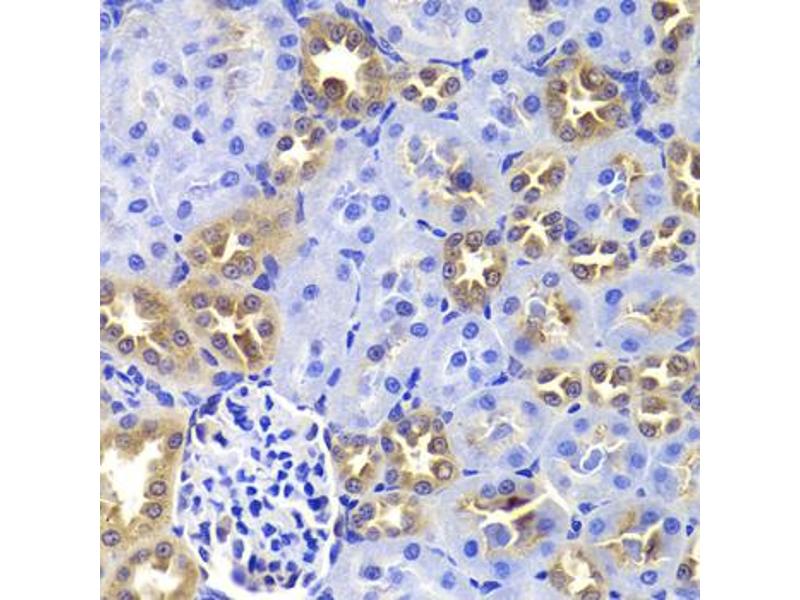
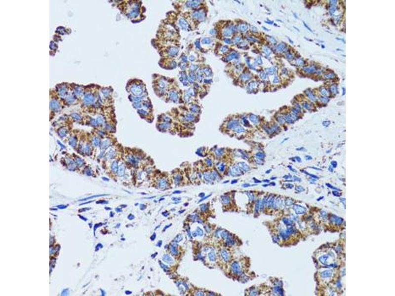
Applikation
-
-
Aufreinigung
- Affinity purification
-
Immunogen
- Recombinant fusion protein of human GIP (NP_004114.1).
-
Isotyp
- IgG
-
-
-
-
Applikationshinweise
- IHC 1:50-1:200 IF 1:50-1:200
-
Beschränkungen
- Nur für Forschungszwecke einsetzbar
-
-
-
Format
- Liquid
-
Konzentration
- 1 mg/mL
-
Buffer
- PBS with 0.02 % sodium azide, 50 % glycerol, pH 7.3
-
Konservierungsmittel
- Sodium azide
-
Vorsichtsmaßnahmen
- This product contains Sodium azide: a POISONOUS AND HAZARDOUS SUBSTANCE which should be handled by trained staff only.
-
Lagerung
- -20 °C
-
Informationen zur Lagerung
- Store at -20°C. Avoid freeze / thaw cycles.
-
-
- GIP (Gastric Inhibitory Polypeptide (GIP))
-
Andere Bezeichnung
- GIP
-
Hintergrund
- This gene encodes an incretin hormone and belongs to the glucagon superfamily. The encoded protein is important in maintaining glucose homeostasis as it is a potent stimulator of insulin secretion from pancreatic beta-cells following food ingestion and nutrient absorption. This gene stimulates insulin secretion via its G protein-coupled receptor activation of adenylyl cyclase and other signal transduction pathways. It is a relatively poor inhibitor of gastric acid secretion.
-
Molekulargewicht
-
Observed_MW: 17kDa
Calculated_MW: 17kDa
-
Gen-ID
- 2695
-
UniProt
- P09681
-
Pathways
- Positive Regulation of Peptide Hormone Secretion, Peptide Hormone Metabolism, Hormone Activity, Regulation of Lipid Metabolism by PPARalpha, Lipid Metabolism
Target
-