Telefon:
+49 (0)241 95 163 153
Fax:
+49 (0)241 95 163 155
E-Mail:
orders@antikoerper-online.de

GIP Antikörper

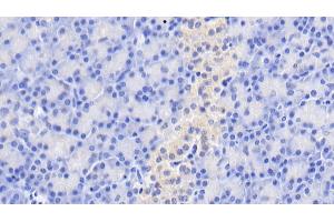
Der Maus Monoklonal anti-GIP Antikörper (Klon C2) (ABIN7427891) detektiert spezifisch GIP in WB und IHC. Dieser Antikörper reagiert spezifisch mit Proben aus Human.
Produktnummer ABIN7427891
301,08 €
Zzgl. Versandkosten 20,00 € und MwSt
Lieferung nach: Deutschland
Lieferung in 11 bis 15 Werktagen

Kurzübersicht für GIP Antikörper (ABIN7427891)

Target

Alle GIP Antikörper anzeigen
GIP (Gastric Inhibitory Polypeptide (GIP))

Reaktivität

  • 38
  • 30
  • 26
  • 3
  • 3
  • 1
  • 1
  • 1
  • 1
  • 1
Human

Wirt

  • 54
  • 10
Maus

Klonalität

  • 54
  • 10
Monoklonal

Konjugat

  • 33
  • 4
  • 2
  • 2
  • 2
  • 2
  • 2
  • 2
  • 2
  • 2
  • 1
  • 1
  • 1
  • 1
  • 1
  • 1
  • 1
  • 1
  • 1
  • 1
  • 1
Dieser GIP Antikörper ist unkonjugiert

Applikation

  • 36
  • 24
  • 15
  • 13
  • 13
  • 11
  • 10
  • 5
  • 3
  • 2
  • 2
  • 2
  • 1
  • 1
  • 1
  • 1
  • 1
  • 1
Western Blotting (WB), Immunohistochemistry (IHC)

Klon

C2
  • Verwendungszweck

    Monoclonal Antibody to Gastric Inhibitory Polypeptide (GIP)

    Spezifität

    The antibody is a mouse monoclonal antibody raised against GIP. It has been selected for its ability to recognize GIP in immunohistochemical staining and western blotting.

    Aufreinigung

    Protein A + Protein G affinity chromatography

    Immunogen

    OVA Conjugated Gastric Inhibitory Polypeptide (GIP)

    Isotyp

    IgG2a lambda
  • Applikationshinweise

    Western blotting: 0.01-2 μg/mL,Immunohistochemistry: 5-20 μg/mL,Optimal working dilutions must be determined by end user.

    Kommentare

    The thermal stability is described by the loss rate. The loss rate was determined by accelerated thermal degradation test, that is, incubate the protein at 37°C for 48h, and no obvious degradation and precipitation were observed. The loss rate is less than 5% within the expiration date under appropriate storage condition.

    Beschränkungen

    Nur für Forschungszwecke einsetzbar
  • Format

    Liquid

    Konzentration

    1 mg/mL

    Buffer

    0.01M PBS, pH 7.4, containing 0.05 % Proclin-300, 50 % glycerol.

    Konservierungsmittel

    ProClin

    Vorsichtsmaßnahmen

    This product contains ProClin: a POISONOUS AND HAZARDOUS SUBSTANCE which should be handled by trained staff only.

    Lagerung

    4 °C,-20 °C

    Informationen zur Lagerung

    Store at 4°C for frequent use. Stored at -20°C in a manual defrost freezer for two year without detectable loss of activity. Avoid repeated freeze-thaw cycles.

    Haltbarkeit

    24 months
  • Target

    GIP (Gastric Inhibitory Polypeptide (GIP))

    Andere Bezeichnung

    Gastric Inhibitory Polypeptide

    Hintergrund

    Incretin hormone, Glucose Dependent Insulinotropic Peptide

    UniProt

    P09681

    Pathways

    Positive Regulation of Peptide Hormone Secretion, Peptide Hormone Metabolism, Hormone Activity, Regulation of Lipid Metabolism by PPARalpha, Lipid Metabolism
Sie sind hier:
Chat with us!