Telefon:
+49 (0)241 95 163 153
Fax:
+49 (0)241 95 163 155
E-Mail:
orders@antikoerper-online.de

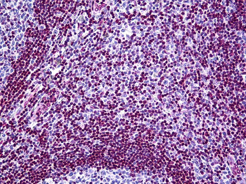
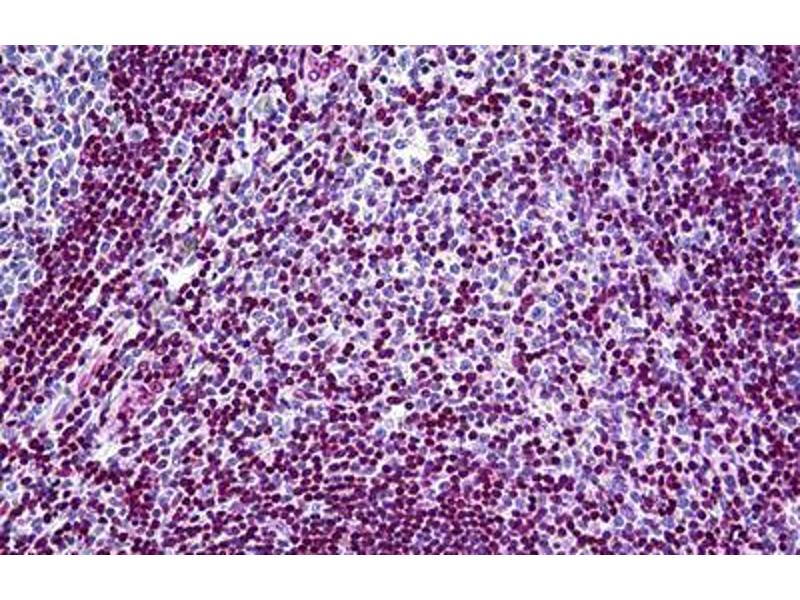
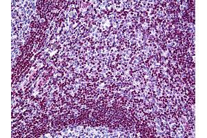
MECP2 Antikörper (AA 81-170)

Der Maus Monoklonal anti-MECP2 Antikörper (Klon 4B6) (ABIN626103) detektiert spezifisch MECP2 in WB, IHC, ELISA und IHC (p). Dieser Antikörper reagiert spezifisch mit Proben aus Human, Maus und Ratte.
Produktnummer ABIN626103
512,07 €
Zzgl. Versandkosten 20,00 € und MwSt
50 μg
Lieferung nach: Deutschland
Lieferung in 15 bis 20 Werktagen

Kurzübersicht für MECP2 Antikörper (AA 81-170) (ABIN626103)

Target

Alle MECP2 Antikörper anzeigen
MECP2 (Methyl CpG Binding Protein 2 (MECP2))

Reaktivität

  • 111
  • 40
  • 31
  • 6
  • 6
  • 5
  • 4
  • 4
  • 4
  • 3
  • 3
  • 1
  • 1
Human, Maus, Ratte

Wirt

  • 100
  • 15
  • 2
  • 1
Maus

Klonalität

  • 103
  • 15
Monoklonal

Konjugat

  • 73
  • 9
  • 7
  • 7
  • 6
  • 6
  • 1
  • 1
  • 1
  • 1
  • 1
  • 1
  • 1
  • 1
  • 1
  • 1
Dieser MECP2 Antikörper ist unkonjugiert

Applikation

  • 82
  • 67
  • 45
  • 27
  • 14
  • 11
  • 10
  • 10
  • 6
  • 3
  • 2
Western Blotting (WB), Immunohistochemistry (IHC), ELISA, Immunohistochemistry (Paraffin-embedded Sections) (IHC (p))

Klon

4B6
  • Bindungsspezifität

    • 14
    • 11
    • 11
    • 8
    • 7
    • 7
    • 6
    • 6
    • 3
    • 3
    • 3
    • 3
    • 3
    • 2
    • 2
    • 2
    • 2
    • 2
    • 1
    • 1
    • 1
    • 1
    • 1
    • 1
    • 1
    • 1
    • 1
    • 1
    • 1
    • 1
    • 1
    AA 81-170

    Spezifität

    Human MeCP2

    Aufreinigung

    Purified from ascites by Protein A

    Immunogen

    MECP2 (AAH11612, 81 a.a. ~ 170 a.a) partial recombinant protein with GST tag. MW of the GST tag alone is 26 KDa.

    Type of Immunogen: Recombinant protein

    Isotyp

    IgG2a kappa
  • Applikationshinweise

    Approved: ELISA, IHC, IHC-P (5 μg/mL), WB (1:500 - 1:1000)

    Usage: Immunohistochemistry: Formalin-fixed paraffin-embedded sections. Sandwich ELISA: Recombinant protein. Western Blot: Western blot using tissue lysates, cell lysates and the recombinant protein used as the immunogen.

    Kommentare

    Target Species of Antibody: Human

    Beschränkungen

    Nur für Forschungszwecke einsetzbar
  • Format

    Liquid

    Konzentration

    Lot specific

    Buffer

    PBS,  pH 7.4.

    Handhabung

    avoid freeze thaw cycles.

    Lagerung

    -20 °C

    Informationen zur Lagerung

    Store at -20°C. Avoid freeze-thaw cycles.
  • Target

    MECP2 (Methyl CpG Binding Protein 2 (MECP2))

    Andere Bezeichnung

    MECP2

    Hintergrund

    Name/Gene ID: MECP2

    Synonyms: MECP2, AUTSX3, Methyl-CpG-binding protein 2, MRX16, MRX79, MRXSL, RTT, RTS, MeCp-2 protein, RS, MRXS13, PPMX

    Gen-ID

    4204

    Pathways

    Inositol Metabolic Process, Chromatin Binding, Synaptic Membrane
Sie sind hier:
Chat with us!