Telefon:
+49 (0)241 95 163 153
Fax:
+49 (0)241 95 163 155
E-Mail:
orders@antikoerper-online.de

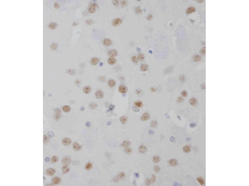
MECP2 Antikörper (AA 400-428)

Der Kaninchen Polyklonal anti-MECP2 Antikörper wird verwendet zum Nachweis von MECP2 in Proben von Human und Maus. Er wurde validiert für WB und IHC (p).
Produktnummer ABIN389123
434,77 €
Zzgl. Versandkosten 20,00 € und MwSt
Lieferung nach: Deutschland
Lieferung in 14 bis 17 Werktagen

Kurzübersicht für MECP2 Antikörper (AA 400-428) (ABIN389123)

Target

Alle MECP2 Antikörper anzeigen
MECP2 (Methyl CpG Binding Protein 2 (MECP2))

Reaktivität

  • 111
  • 40
  • 32
  • 6
  • 6
  • 5
  • 4
  • 4
  • 4
  • 3
  • 3
  • 1
  • 1
Human, Maus

Wirt

  • 99
  • 16
  • 2
  • 1
Kaninchen

Klonalität

  • 102
  • 16
Polyklonal

Konjugat

  • 73
  • 9
  • 7
  • 7
  • 6
  • 6
  • 1
  • 1
  • 1
  • 1
  • 1
  • 1
  • 1
  • 1
  • 1
  • 1
Dieser MECP2 Antikörper ist unkonjugiert

Applikation

  • 82
  • 68
  • 46
  • 27
  • 14
  • 11
  • 10
  • 10
  • 6
  • 3
  • 2
Western Blotting (WB), Immunohistochemistry (Paraffin-embedded Sections) (IHC (p))

Klon

RB25959
  • Bindungsspezifität

    • 14
    • 11
    • 11
    • 8
    • 7
    • 7
    • 6
    • 6
    • 3
    • 3
    • 3
    • 3
    • 3
    • 2
    • 2
    • 2
    • 2
    • 2
    • 1
    • 1
    • 1
    • 1
    • 1
    • 1
    • 1
    • 1
    • 1
    • 1
    • 1
    • 1
    • 1
    AA 400-428

    Aufreinigung

    This antibody is purified through a protein A column, followed by peptide affinity purification.

    Immunogen

    This MeCP2 antibody is generated from rabbits immunized with a KLH conjugated synthetic peptide between 400-428 amino acids from human MeCP2.

    Isotyp

    IgG
  • Applikationshinweise

    WB: 1:2000. WB: 1:2000. IHC-P: 1:500. IHC-P: 1:200

    Beschränkungen

    Nur für Forschungszwecke einsetzbar
  • Format

    Liquid

    Buffer

    Purified polyclonal antibody supplied in PBS with 0.09 % (W/V) sodium azide.

    Konservierungsmittel

    Sodium azide

    Vorsichtsmaßnahmen

    This product contains Sodium azide: a POISONOUS AND HAZARDOUS SUBSTANCE which should be handled by trained staff only.

    Lagerung

    4 °C,-20 °C

    Informationen zur Lagerung

    Maintain refrigerated at 2-8 °C for up to 6 months. For long term storage store at -20 °C in small aliquots to prevent freeze-thaw cycles.

    Haltbarkeit

    6 months
  • Target

    MECP2 (Methyl CpG Binding Protein 2 (MECP2))

    Andere Bezeichnung

    MeCP2

    Hintergrund

    DNA methylation is the major modification of eukaryotic genomes and plays an essential role in mammalian development. Human proteins MECP2, MBD1, MBD2, MBD3, and MBD4 comprise a family of nuclear proteins related by the presence in each of a methyl-CpG binding domain (MBD). Each of these proteins, with the exception of MBD3, is capable of binding specifically to methylated DNA. MECP2, MBD1 and MBD2 can also repress transcription from methylated gene promoters. In contrast to other MBD family members, MECP2 is X-linked and subject to X inactivation. MECP2 is dispensible in stem cells, but is essential for embryonic development. MECP2 gene mutations are the cause of some cases of Rett syndrome, a progressive neurologic developmental disorder and one of the most common causes of mental retardation in females.

    Molekulargewicht

    52441

    Gen-ID

    4204

    UniProt

    P51608

    Pathways

    Inositol Metabolic Process, Chromatin Binding, Synaptic Membrane
Sie sind hier:
Chat with us!