Telefon:
+49 (0)241 95 163 153
Fax:
+49 (0)241 95 163 155
E-Mail:
orders@antikoerper-online.de

CDK8 Antikörper (N-Term)

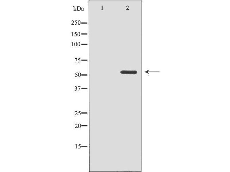
Dieser Kaninchen Polyklonal Antikörper detektiert spezifisch CDK8 in WB, ELISA, IHC, ICC und IF. Es zeigt Reaktivität gegenüber Proben von Human, Maus und Ratte.
Produktnummer ABIN6257696
525,71 €
Zzgl. Versandkosten 20,00 € und MwSt
Lieferung nach: Deutschland
Lieferung in 9 bis 11 Werktagen

Kurzübersicht für CDK8 Antikörper (N-Term) (ABIN6257696)

Target

Alle CDK8 Antikörper anzeigen
CDK8 (Cyclin-Dependent Kinase 8 (CDK8))

Reaktivität

  • 89
  • 56
  • 38
  • 8
  • 7
  • 5
  • 5
  • 5
  • 4
  • 4
  • 2
  • 2
  • 1
  • 1
Human, Maus, Ratte

Wirt

  • 85
  • 3
  • 1
Kaninchen

Klonalität

  • 67
  • 22
Polyklonal

Konjugat

  • 45
  • 5
  • 3
  • 3
  • 3
  • 3
  • 3
  • 3
  • 3
  • 3
  • 2
  • 2
  • 1
  • 1
  • 1
  • 1
  • 1
  • 1
  • 1
  • 1
  • 1
  • 1
  • 1
Dieser CDK8 Antikörper ist unkonjugiert

Applikation

  • 70
  • 25
  • 18
  • 11
  • 11
  • 9
  • 7
  • 3
  • 2
  • 1
  • 1
  • 1
  • 1
  • 1
Western Blotting (WB), ELISA, Immunohistochemistry (IHC), Immunocytochemistry (ICC), Immunofluorescence (IF)
  • Bindungsspezifität

    • 8
    • 8
    • 8
    • 6
    • 3
    • 2
    • 2
    • 2
    • 2
    • 2
    • 2
    • 1
    • 1
    • 1
    • 1
    • 1
    • 1
    • 1
    • 1
    • 1
    N-Term

    Spezifität

    CDK8 Antibody detects endogenous levels of total CDK8.

    Homologie

    Pig,Zebrafish,Horse,Sheep,Rabbit,Dog,Xenopus

    Aufreinigung

    The antiserum was purified by peptide affinity chromatography using SulfoLinkTM Coupling Resin (Thermo Fisher Scientific).

    Immunogen

    A synthesized peptide derived from human CDK8, corresponding to a region within N-terminal amino acids.

    Isotyp

    IgG
  • Applikationshinweise

    WB 1:500-1:1000, IF/ICC 1:100-1:500, IHC 1:50-1:200, ELISA(peptide) 1:20000-1:40000

    Beschränkungen

    Nur für Forschungszwecke einsetzbar
  • Format

    Liquid

    Konzentration

    1 mg/mL

    Buffer

    Rabbit IgG in phosphate buffered saline , pH 7.4, 150 mM NaCl, 0.02 % sodium azide and 50 % glycerol.

    Konservierungsmittel

    Sodium azide

    Vorsichtsmaßnahmen

    This product contains Sodium azide: a POISONOUS AND HAZARDOUS SUBSTANCE which should be handled by trained staff only.

    Lagerung

    -20 °C

    Informationen zur Lagerung

    Store at -20 °C. Stable for 12 months from date of receipt.

    Haltbarkeit

    12 months
  • Target

    CDK8 (Cyclin-Dependent Kinase 8 (CDK8))

    Andere Bezeichnung

    CDK8

    Hintergrund

    Description: Component of the Mediator complex, a coactivator involved in regulated gene transcription of nearly all RNA polymerase II-dependent genes. Mediator functions as a bridge to convey information from gene-specific regulatory proteins to the basal RNA polymerase II transcription machinery. Mediator is recruited to promoters by direct interactions with regulatory proteins and serves as a scaffold for the assembly of a functional preinitiation complex with RNA polymerase II and the general transcription factors. Phosphorylates the CTD (C-terminal domain) of the large subunit of RNA polymerase II (RNAp II), which may inhibit the formation of a transcription initiation complex. Phosphorylates CCNH leading to down-regulation of the TFIIH complex and transcriptional repression. Recruited through interaction with MAML1 to hyperphosphorylate the intracellular domain of NOTCH, leading to its degradation.

    Gene: CDK8

    Molekulargewicht

    53 kDa

    Gen-ID

    1024

    UniProt

    P49336

    Pathways

    Zellzyklus, Regulation of Lipid Metabolism by PPARalpha
Sie sind hier:
Chat with us!