Telefon:
+49 (0)241 95 163 153
Fax:
+49 (0)241 95 163 155
E-Mail:
orders@antikoerper-online.de

FGF19 Antikörper (C-Term)

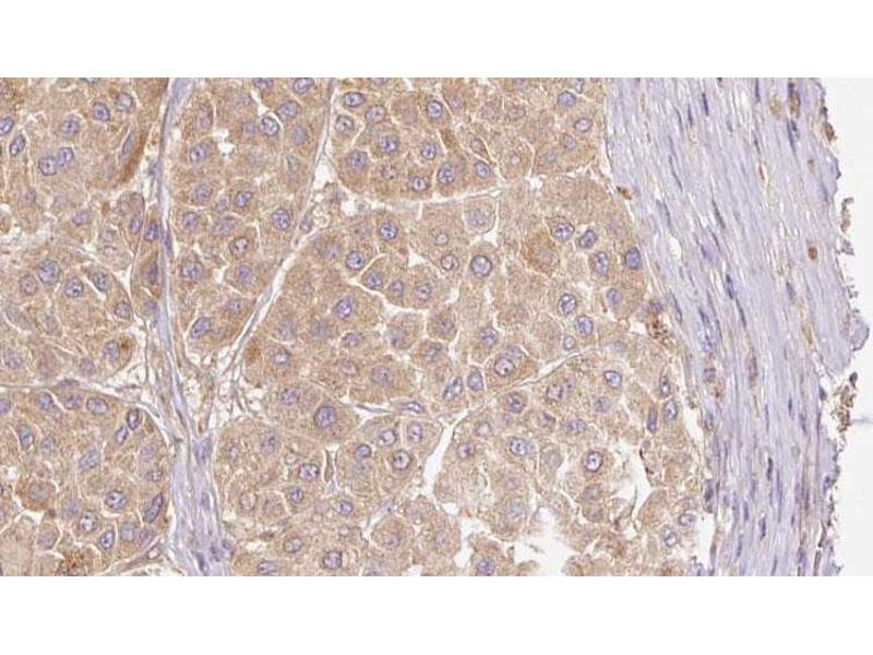
Dieser Kaninchen Polyklonal Antikörper detektiert spezifisch FGF19 in WB, ELISA und IHC. Es zeigt Reaktivität gegenüber Proben von Human und Ratte.
Produktnummer ABIN6257192
525,71 €
Zzgl. Versandkosten 20,00 € und MwSt
Lieferung nach: Deutschland
Lieferung in 9 bis 11 Werktagen

Kurzübersicht für FGF19 Antikörper (C-Term) (ABIN6257192)

Target

Alle FGF19 Antikörper anzeigen
FGF19 (Fibroblast Growth Factor 19 (FGF19))

Reaktivität

  • 48
  • 4
  • 4
  • 3
Human, Ratte

Wirt

  • 35
  • 12
  • 5
  • 1
Kaninchen

Klonalität

  • 32
  • 17
  • 2
Polyklonal

Konjugat

  • 37
  • 4
  • 3
  • 2
  • 2
  • 2
  • 1
Dieser FGF19 Antikörper ist unkonjugiert

Applikation

  • 36
  • 22
  • 15
  • 5
  • 4
  • 3
  • 2
  • 1
  • 1
  • 1
  • 1
  • 1
Western Blotting (WB), ELISA, Immunohistochemistry (IHC)
  • Bindungsspezifität

    • 8
    • 6
    • 5
    • 3
    • 2
    • 2
    • 1
    • 1
    • 1
    • 1
    • 1
    • 1
    C-Term

    Spezifität

    FGF19 Antibody detects endogenous levels of total FGF19.

    Homologie

    Pig,Zebrafish,Bovine,Rabbit,Dog

    Aufreinigung

    The antiserum was purified by peptide affinity chromatography using SulfoLinkTM Coupling Resin (Thermo Fisher Scientific).

    Immunogen

    A synthesized peptide derived from human FGF19, corresponding to a region within C-terminal amino acids.

    Isotyp

    IgG
  • Applikationshinweise

    WB 1:500-1:2000, IHC 1:50-1:200, ELISA(peptide) 1:20000-1:40000

    Beschränkungen

    Nur für Forschungszwecke einsetzbar
  • Format

    Liquid

    Konzentration

    1 mg/mL

    Buffer

    Rabbit IgG in phosphate buffered saline, pH 7.4, 150 mM NaCl, 0.02 % sodium azide and 50 % glycerol.

    Konservierungsmittel

    Sodium azide

    Vorsichtsmaßnahmen

    This product contains Sodium azide: a POISONOUS AND HAZARDOUS SUBSTANCE which should be handled by trained staff only.

    Lagerung

    -20 °C

    Haltbarkeit

    12 months
  • Target

    FGF19 (Fibroblast Growth Factor 19 (FGF19))

    Andere Bezeichnung

    FGF19

    Hintergrund

    Description: Involved in the suppression of bile acid biosynthesis through down-regulation of CYP7A1 expression, following positive regulation of the JNK and ERK1/2 cascades. Stimulates glucose uptake in adipocytes. Activity requires the presence of KLB and FGFR4.

    Gene: FGF19

    Molekulargewicht

    24 kDa,

    Gen-ID

    9965

    UniProt

    O95750

    Pathways

    RTK Signalweg, Fc-epsilon Rezeptor Signalübertragung, EGFR Signaling Pathway, Neurotrophin Signalübertragung
Sie sind hier:
Chat with us!