Telefon:
+49 (0)241 95 163 153
Fax:
+49 (0)241 95 163 155
E-Mail:
orders@antikoerper-online.de

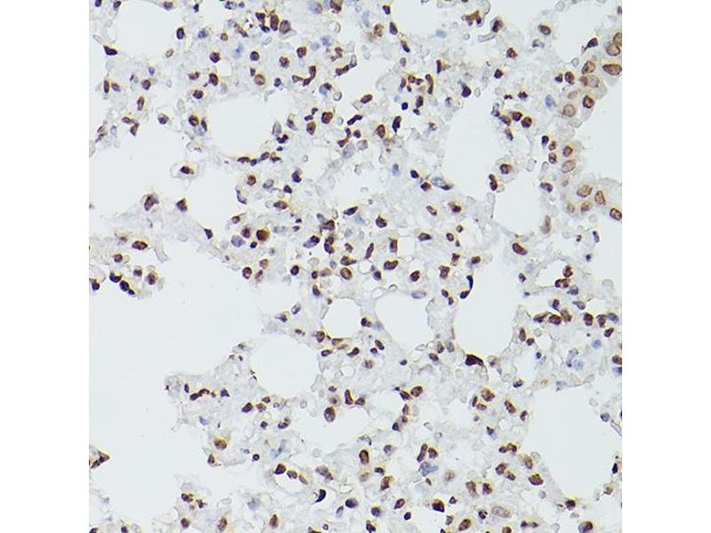
GATA4 Antikörper (AA 50-150)

Der Kaninchen Polyklonal anti-GATA4 Antikörper wird verwendet zum Nachweis von GATA4 in Proben von Human. Er wurde validiert für WB, IF und IHC.
Produktnummer ABIN6140975
416,00 €
Zzgl. Versandkosten 20,00 € und MwSt
Lieferung nach: Deutschland
Lieferung in 7 bis 9 Werktagen

Kurzübersicht für GATA4 Antikörper (AA 50-150) (ABIN6140975)

Target

Alle GATA4 Antikörper anzeigen
GATA4 (GATA Binding Protein 4 (GATA4))

Reaktivität

  • 94
  • 69
  • 66
  • 6
  • 4
  • 2
  • 1
  • 1
  • 1
  • 1
  • 1
Human

Wirt

  • 85
  • 11
  • 1
Kaninchen

Klonalität

  • 66
  • 31
Polyklonal

Konjugat

  • 61
  • 3
  • 3
  • 3
  • 3
  • 3
  • 3
  • 3
  • 1
  • 1
  • 1
  • 1
  • 1
  • 1
  • 1
  • 1
  • 1
  • 1
  • 1
  • 1
  • 1
  • 1
  • 1
Dieser GATA4 Antikörper ist unkonjugiert

Applikation

  • 78
  • 32
  • 32
  • 18
  • 16
  • 13
  • 13
  • 13
  • 10
  • 6
  • 1
  • 1
  • 1
  • 1
  • 1
Western Blotting (WB), Immunofluorescence (IF), Immunohistochemistry (IHC)
  • Bindungsspezifität

    • 15
    • 6
    • 6
    • 5
    • 3
    • 3
    • 2
    • 2
    • 2
    • 2
    • 2
    • 2
    • 1
    • 1
    • 1
    • 1
    • 1
    • 1
    • 1
    • 1
    • 1
    • 1
    • 1
    • 1
    • 1
    • 1
    • 1
    AA 50-150

    Sequenz

    GLSYLQGGGA GSASGGASGG SSGGAASGAG PGTQQGSPGW SQAGADGAAY TPPPVSPRFS FPGTTGSLAA AAAAAAAREA AAYSSGGGAA GAGLAGREQY G

    Kreuzreaktivität

    Human, Maus, Ratte

    Produktmerkmale

    Polyclonal Antibodies

    Aufreinigung

    Affinity purification

    Immunogen

    A synthetic peptide corresponding to a sequence within amino acids 50-150 of human GATA4 (NP_002043.2).

    Isotyp

    IgG
  • Applikationshinweise

    WB,1:500 - 1:2000,IHC,1:50 - 1:200,IF,1:50 - 1:200

    Beschränkungen

    Nur für Forschungszwecke einsetzbar
  • Format

    Liquid

    Buffer

    PBS with 0.02 % sodium azide,50 % glycerol, pH 7.3.

    Konservierungsmittel

    Sodium azide

    Vorsichtsmaßnahmen

    This product contains Sodium azide: a POISONOUS AND HAZARDOUS SUBSTANCE which should be handled by trained staff only.

    Lagerung

    -20 °C

    Informationen zur Lagerung

    Store at -20°C. Avoid freeze / thaw cycles.
  • Target

    GATA4 (GATA Binding Protein 4 (GATA4))

    Andere Bezeichnung

    GATA4

    Hintergrund

    This gene encodes a member of the GATA family of zinc-finger transcription factors. Members of this family recognize the GATA motif which is present in the promoters of many genes. This protein is thought to regulate genes involved in embryogenesis and in myocardial differentiation and function, and is necessary for normal testicular development. Mutations in this gene have been associated with cardiac septal defects. Additionally, alterations in gene expression have been associated with several cancer types. Alternative splicing results in multiple transcript variants.,GATA4,ASD2,TACHD,TOF,VSD1,Epigenetics & Nuclear Signaling,Transcription Factors,Cancer,Tumor suppressors,Cell Biology & Developmental Biology,Stem Cells,Mesenchymal Stem Cells,Cardiovascular,Cardiovascular Markers,Cardiomyocytes,Heart,Hypertrophy,GATA4

    Molekulargewicht

    44 kDa

    Gen-ID

    2626

    UniProt

    P43694

    Pathways

    Peptide Hormone Metabolism, Carbohydrate Homeostasis
Sie sind hier:
Chat with us!