Telefon:
+49 (0)241 95 163 153
Fax:
+49 (0)241 95 163 155
E-Mail:
orders@antikoerper-online.de

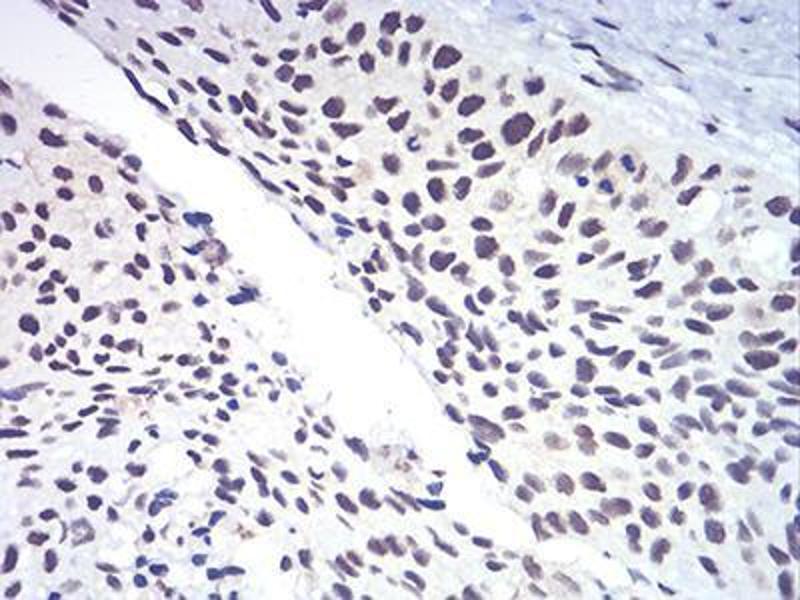
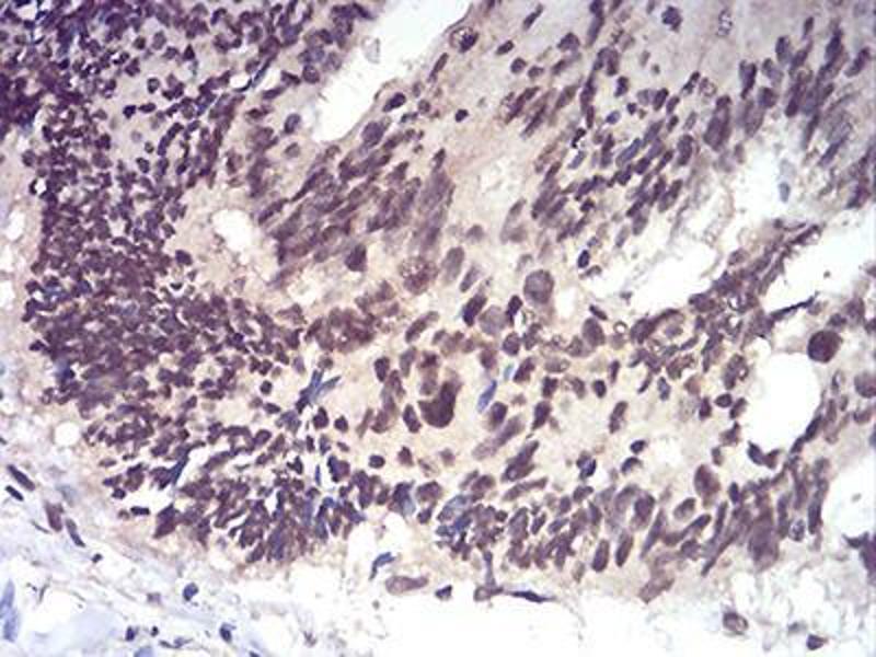
RAD50 Antikörper (AA 228-359)

Der Maus Monoklonal anti-RAD50 Antikörper wird verwendet zum Nachweis von RAD50 in Proben von Human und Ratte. Er wurde validiert für WB, IHC, ELISA und FACS.
Produktnummer ABIN5542671
657,84 €
Zzgl. Versandkosten 20,00 € und MwSt
100 μL
Lieferung nach: Deutschland
Lieferung in 7 bis 10 Werktagen

Kurzübersicht für RAD50 Antikörper (AA 228-359) (ABIN5542671)

Target

Alle RAD50 Antikörper anzeigen
RAD50 (RAD50 Homolog (S. Cerevisiae) (RAD50))

Reaktivität

  • 81
  • 65
  • 32
  • 5
  • 5
  • 4
  • 3
  • 2
  • 2
  • 1
  • 1
  • 1
  • 1
  • 1
Human, Ratte

Wirt

  • 86
  • 6
Maus

Klonalität

  • 72
  • 20
Monoklonal

Konjugat

  • 45
  • 8
  • 3
  • 3
  • 3
  • 3
  • 3
  • 3
  • 3
  • 2
  • 2
  • 1
  • 1
  • 1
  • 1
  • 1
  • 1
  • 1
  • 1
  • 1
  • 1
  • 1
  • 1
  • 1
  • 1
Dieser RAD50 Antikörper ist unkonjugiert

Applikation

  • 74
  • 31
  • 21
  • 20
  • 19
  • 18
  • 13
  • 13
  • 11
  • 10
  • 3
  • 2
  • 1
  • 1
  • 1
Western Blotting (WB), Immunohistochemistry (IHC), ELISA, Flow Cytometry (FACS)

Klon

3D2G10
  • Bindungsspezifität

    • 16
    • 8
    • 5
    • 4
    • 3
    • 3
    • 2
    • 2
    • 2
    • 2
    • 2
    • 1
    • 1
    • 1
    • 1
    • 1
    • 1
    • 1
    • 1
    • 1
    • 1
    AA 228-359

    Verwendungszweck

    RAD50 Antibody

    Aufreinigung

    Purified antibody

    Immunogen

    Purified recombinant fragment of human RAD50 (AA: 228-359) expressed in E. Coli.

    Isotyp

    IgG2a
  • Applikationshinweise

    ELISA: 1/10000

    FCM: 1/200 - 1/400

    Beschränkungen

    Nur für Forschungszwecke einsetzbar
  • Format

    Liquid

    Buffer

    Purified antibody in PBS with 0.05 % sodium azide.

    Konservierungsmittel

    Sodium azide

    Vorsichtsmaßnahmen

    This product contains Sodium azide: a POISONOUS AND HAZARDOUS SUBSTANCE which should be handled by trained staff only.

    Lagerung

    4 °C,-20 °C

    Informationen zur Lagerung

    Store at 4°C short term. Aliquot and store at -20°C long term. Avoid freeze/thaw cycles.
  • Target

    RAD50 (RAD50 Homolog (S. Cerevisiae) (RAD50))

    Andere Bezeichnung

    RAD50

    Hintergrund

    The protein encoded by this gene is highly similar to Saccharomyces cerevisiae Rad50, a protein involved in DNA double-strand break repair. This protein forms a complex with MRE11 and NBS1. The protein complex binds to DNA and displays numerous enzymatic activities that are required for nonhomologous joining of DNA ends. This protein, cooperating with its partners, is important for DNA double-strand break repair, cell cycle checkpoint activation, telomere maintenance, and meiotic recombination. Knockout studies of the mouse homolog suggest this gene is essential for cell growth and viability. Mutations in this gene are the cause of Nijmegen breakage syndrome-like disorder.

    Molekulargewicht

    154 kDa

    UniProt

    Q92878

    Pathways

    DNA Reparatur, Protein targeting to Nucleus
Sie sind hier:
Chat with us!