Telefon:
+49 (0)241 95 163 153
Fax:
+49 (0)241 95 163 155
E-Mail:
orders@antikoerper-online.de

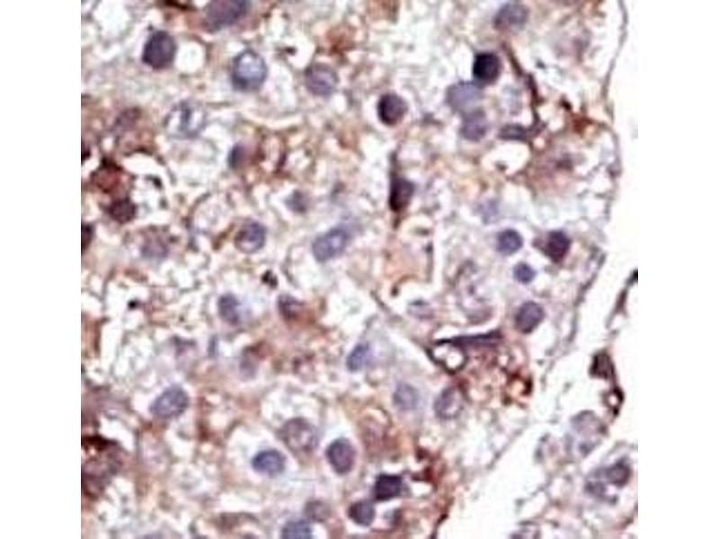
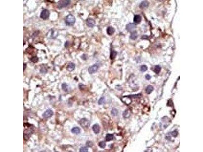
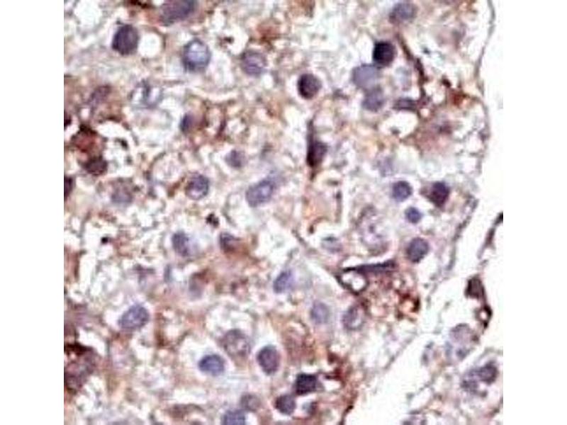
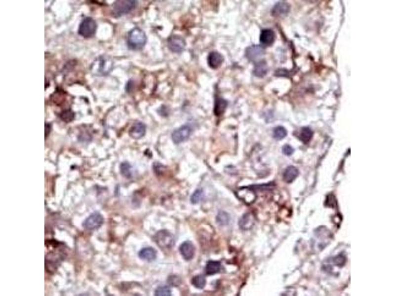
SPHK2 Antikörper (AA 1-30)

Der Kaninchen Polyklonal anti-SPHK2 Antikörper (ABIN3032712) detektiert spezifisch SPHK2 in WB, IHC und ELISA. Dieser Antikörper reagiert spezifisch mit Proben aus Human.
Produktnummer ABIN3032712
631,13 €
Zzgl. Versandkosten 20,00 € und MwSt
Lieferung nach: Deutschland
Lieferung in 6 bis 9 Werktagen

Kurzübersicht für SPHK2 Antikörper (AA 1-30) (ABIN3032712)

Target

Alle SPHK2 Antikörper anzeigen
SPHK2 (Sphingosine Kinase 2 (SPHK2))

Reaktivität

  • 53
  • 25
  • 12
Human

Wirt

  • 55
  • 2
Kaninchen

Klonalität

  • 57
Polyklonal

Konjugat

  • 40
  • 3
  • 2
  • 2
  • 2
  • 2
  • 1
  • 1
  • 1
  • 1
  • 1
  • 1
Dieser SPHK2 Antikörper ist unkonjugiert

Applikation

  • 43
  • 30
  • 30
  • 8
  • 5
  • 4
  • 3
  • 1
  • 1
  • 1
Western Blotting (WB), Immunohistochemistry (IHC), ELISA
  • Bindungsspezifität

    • 10
    • 9
    • 6
    • 5
    • 4
    • 2
    • 1
    • 1
    • 1
    • 1
    • 1
    • 1
    • 1
    • 1
    • 1
    • 1
    • 1
    AA 1-30

    Aufreinigung

    Purified

    Immunogen

    A portion of amino acids 1-30 from the human protein was used as the immunogen for this SPHK2 antibody.

    Isotyp

    Ig Fraction
  • Applikationshinweise

    Titration of the SPHK2 antibody may be required due to differences in protocols and secondary/substrate sensitivity.\. Western blot: 1:1000,IHC (Paraffin): 1:50-1:100

    Beschränkungen

    Nur für Forschungszwecke einsetzbar
  • Format

    Liquid

    Buffer

    In 1X PBS, pH 7.4, with 0.09 % sodium azide

    Konservierungsmittel

    Sodium azide

    Vorsichtsmaßnahmen

    This product contains Sodium azide: a POISONOUS AND HAZARDOUS SUBSTANCE which should be handled by trained staff only.

    Lagerung

    -20 °C

    Informationen zur Lagerung

    Aliquot the SPHK2 antibody and store frozen at -20°C or colder. Avoid repeated freeze-thaw cycles.
  • Target

    SPHK2 (Sphingosine Kinase 2 (SPHK2))

    Andere Bezeichnung

    SPHK2

    Hintergrund

    Sphingosine Kinase (SphK) catalyzes the phosphorylation of the lipid sphingosine, creating the bioactive lipid sphingosine-1-phosphate (S1P). S1P subsequently signals through cell surface G protein-coupled receptors, as well as intracellularly, to modulate cell proliferation, survival, motility and differentiation. SphK is an important signaling enzyme which is activated by diverse agents, including growth factors that signal through receptor tyrosine kinases, agents activating G protein-coupled receptors, and immunoglobulin receptors. Two SphK isotypes, SphK-1 and SphK-2, have been cloned, and both isotypes are ubiquitously expressed. SphK-1 has been shown to mediate cell growth, prevention of apoptosis, and cellular transformation, and is upregulated in a variety of human tumors. In contrast, SphK-2 increases apoptosis, and may be responsible for phosphorylating and activating the immunosuppressive drug FTY720.

    UniProt

    Q9NRA0

    Pathways

    VEGF Signaling
Sie sind hier:
Chat with us!