Telefon:
+49 (0)241 95 163 153
Fax:
+49 (0)241 95 163 155
E-Mail:
orders@antikoerper-online.de

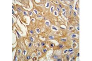
RIPK3 Antikörper (Middle Region)

Der Kaninchen Polyklonal anti-RIPK3 Antikörper wird verwendet zum Nachweis von RIPK3 in Proben von Human und Maus. Er wurde validiert für WB, IHC (p) und EIA.
Produktnummer ABIN359363
870,77 €
Zzgl. Versandkosten 20,00 € und MwSt
0.4 mL
Lieferung nach: Deutschland
Lieferung in 16 Werktagen

Kurzübersicht für RIPK3 Antikörper (Middle Region) (ABIN359363)

Target

Alle RIPK3 Antikörper anzeigen
RIPK3 (Receptor-Interacting serine-threonine Kinase 3 (RIPK3))

Reaktivität

  • 75
  • 41
  • 25
  • 6
  • 4
  • 4
  • 2
  • 1
Human, Maus

Wirt

  • 80
  • 14
Kaninchen

Klonalität

  • 79
  • 15
Polyklonal

Konjugat

  • 55
  • 7
  • 6
  • 5
  • 3
  • 3
  • 1
  • 1
  • 1
  • 1
  • 1
  • 1
  • 1
  • 1
  • 1
  • 1
  • 1
  • 1
  • 1
  • 1
  • 1
Dieser RIPK3 Antikörper ist unkonjugiert

Applikation

  • 82
  • 47
  • 36
  • 17
  • 14
  • 11
  • 9
  • 5
  • 3
  • 2
  • 1
Western Blotting (WB), Immunohistochemistry (Paraffin-embedded Sections) (IHC (p)), Enzyme Immunoassay (EIA)
  • Bindungsspezifität

    • 8
    • 8
    • 7
    • 7
    • 5
    • 4
    • 4
    • 4
    • 3
    • 3
    • 2
    • 2
    • 1
    • 1
    • 1
    • 1
    • 1
    • 1
    • 1
    • 1
    • 1
    • 1
    • 1
    • 1
    • 1
    Middle Region

    Spezifität

    This antibody detects RIPK3 / RIP3.

    Aufreinigung

    Protein G column, eluted with high and low pH buffers and neutralized immediately, followed by dialysis against PBS

    Immunogen

    This antibody is generated from rabbits immunized with a KLH conjugated synthetic peptide selected from the center region of human RIPK3.

    Isotyp

    Ig Fraction
  • Applikationshinweise

    ELISA1: 1,000.
    Other applications not tested.
    Optimal dilutions are dependent on conditions and should be determined by the user.

    Beschränkungen

    Nur für Forschungszwecke einsetzbar
  • Format

    Liquid

    Konzentration

    0.25 mg/mL

    Buffer

    PBS with 0.09 % (W/V) sodium azide

    Konservierungsmittel

    Sodium azide

    Vorsichtsmaßnahmen

    This product contains sodium azide: a POISONOUS AND HAZARDOUS SUBSTANCE which should be handled by trained staff only.

    Handhabung

    Avoid repeated freezing and thawing.

    Lagerung

    4 °C/-20 °C

    Informationen zur Lagerung

    Store the antibody at 2 - 8 °C up to one month or (in aliquots) at -20 °C for longer.
  • Target

    RIPK3 (Receptor-Interacting serine-threonine Kinase 3 (RIPK3))

    Andere Bezeichnung

    RIPK3 / RIP3

    Hintergrund

    The product of the RIPK3 gene is a member of the receptor-interacting protein (RIP) family of serine/threonine protein kinases, and contains a C-terminal domain unique from other RIP family members. The encoded protein is predominantly localized to the cytoplasm, and can undergo nucleocytoplasmic shuttling dependent on novel nuclear localization and export signals. It is a component of the tumor necrosis factor (TNF) receptor-I signaling complex, and can induce apoptosis and weakly activate the NF-kappaB transcription factor.Synonyms: RIP-3, RIP-like protein kinase 3, Receptor-interacting protein 3, Receptor-interacting serine/threonine-protein kinase 3

    Molekulargewicht

    56901 Da.

    Gen-ID

    11035, 9606

    UniProt

    Q9Y572

    Pathways

    Activation of Innate immune Response, Toll-Like Receptors Cascades
Sie sind hier:
Chat with us!