NOD2 Antikörper (C-Term)
Kurzübersicht für NOD2 Antikörper (C-Term) (ABIN351444)
Target
Alle NOD2 Antikörper anzeigenReaktivität
Wirt
Klonalität
Konjugat
Applikation
-
-
Bindungsspezifität
- C-Term
-
Spezifität
- NOD2 has no cross-reaction with NOD1.
-
Aufreinigung
- Immunoaffinity purified
-
Isotyp
- IgG
-
-
-
-
Applikationshinweise
-
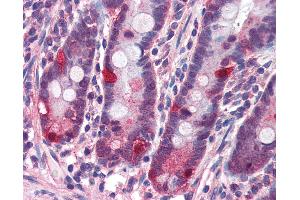
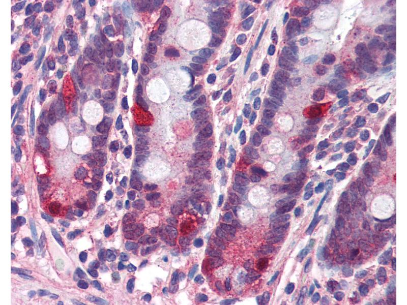
Approved: ELISA, ICC (10 μg/mL), IHC, IHC-P (3 μg/mL), WB (2 - 4 μg/mL)
Usage: Immunohistochemistry: This antibody was validated for use in immunohistochemistry on a panel of 21 formalin-fixed, paraffin-embedded (FFPE) human tissues after heat induced antigen retrieval in pH 6.0 citrate buffer. After incubation with the primary antibody, slides were incubated with biotinylated secondary antibody, followed by alkaline phosphatase-streptavidin and chromogen. The stained slides were evaluated by a pathologist to confirm staining specificity. The optimal working concentration for this antibody was determined to be 3 μg/mL. -
Kommentare
-
Target Species of Antibody: Human
-
Beschränkungen
- Nur für Forschungszwecke einsetzbar
-
-
-
Format
- Liquid
-
Konzentration
- Lot specific
-
Buffer
- PBS, 0.02 % sodium azide.
-
Konservierungsmittel
- Sodium azide
-
Vorsichtsmaßnahmen
- This product contains Sodium azide: a POISONOUS AND HAZARDOUS SUBSTANCE which should be handled by trained staff only.
-
Handhabung
- avoid freeze thaw cycles. Store undiluted.
-
Lagerung
- 4 °C,-20 °C
-
Informationen zur Lagerung
- Store at 4°C for 3 months and -20°C, stable for up to 1 year. Avoid repeated freeze-thaw cycles.
-
Haltbarkeit
- 12 months
-
-
- NOD2 (Nucleotide-Binding Oligomerization Domain Containing 2 (NOD2))
-
Andere Bezeichnung
- NOD2 / CARD15
-
Hintergrund
-
Name/Gene ID: NOD2
Synonyms: NOD2, BLAU, CARD15, ACUG, NOD-like receptor C2, NOD2B, NLRC2, IBD1, CLR16.3, PSORAS1 -
Gen-ID
- 64127
-
UniProt
- Q9HC29
-
Pathways
- Activation of Innate immune Response, Cellular Response to Molecule of Bacterial Origin, Regulation of Leukocyte Mediated Immunity, Positive Regulation of Immune Effector Process, Production of Molecular Mediator of Immune Response, Toll-Like Receptors Cascades, Inflammasome
Target
-