×
Aktivieren Sie Javascript in Ihrem Browser, um unsere Webseite optimal zu nutzen.
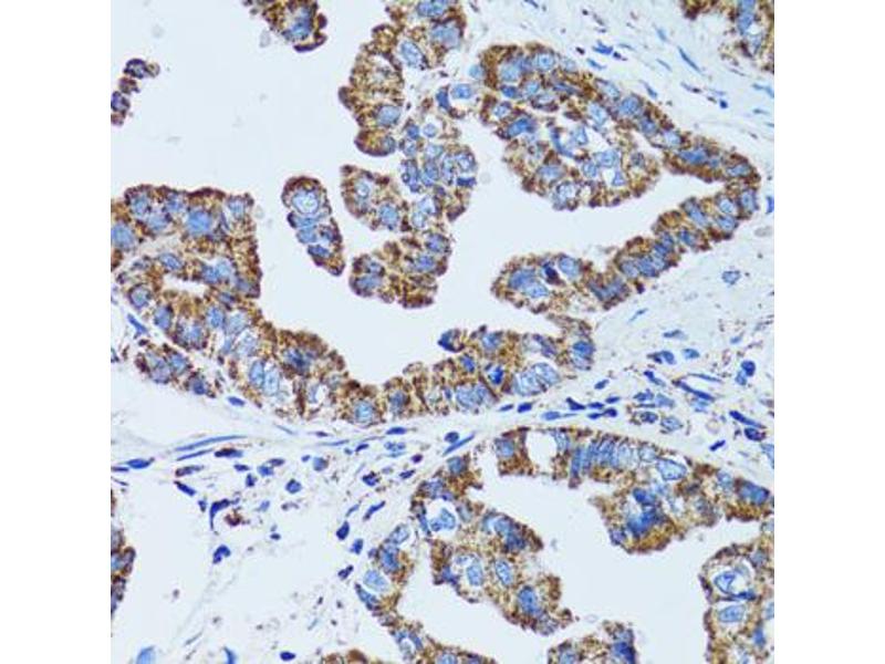
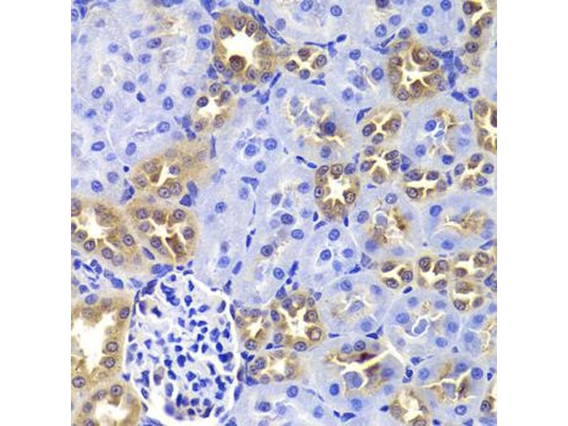
GIP Antikörper
Der Kaninchen Polyklonal anti-GIP Antikörper wird verwendet zum Nachweis von GIP in Proben von Human, Ratte und Maus. Er wurde validiert für WB, IHC und IF/ICC.
Produktnummer ABIN2968802
678,88 €
Zzgl. Versandkosten 20,00 € und MwSt
20 μL ABIN5973668
2 x 100 μL ABIN2930667
100 μL ABIN2968802
20 μL ABIN5973668
2 x 100 μL ABIN2930667
100 μL ABIN2968802
Lieferung in 7 bis 13 Werktagen
Kurzübersicht für GIP Antikörper (ABIN2968802)
Target
Alle GIP Antikörper anzeigen
GIP
(Gastric Inhibitory Polypeptide (GIP))
Reaktivität
Alle Reaktivitäten für GIP Antikörper
Human, Ratte, Maus
Wirt
Alle Wirte für GIP Antikörper
Kaninchen
Klonalität
Alle Klonalitäten für GIP Antikörper
Polyklonal
Konjugat
Alle Konjugate für GIP Antikörper
Dieser GIP Antikörper ist unkonjugiert
Applikation
Alle Applikationen für GIP Antikörper
Western Blotting (WB), Immunohistochemistry (IHC), Immunofluorescence (fixed cells) (IF/ICC)
Produktdetails anti-GIP Antikörper
(ausblenden)
Aufreinigung
Affinity purified
Immunogen
Recombinant protein of human GIP.
Isotyp
IgG
Alternativen
(anzeigen)
Anwendungsinformationen
(ausblenden)
Applikationshinweise
Optimal working dilution should be determined by the investigator.
Beschränkungen
Nur für Forschungszwecke einsetzbar
Handhabung
(ausblenden)
Format
Liquid
Konzentration
Lot specific
Buffer
PBS, pH 7.3, 0.02 % sodium azide, 50 % glycerol.
Konservierungsmittel
Sodium azide
Vorsichtsmaßnahmen
This product contains Sodium azide: a POISONOUS AND HAZARDOUS SUBSTANCE which should be handled by trained staff only.
Lagerung
-20 °C
Informationen zur Lagerung
Aliquot and store at -20 °C. Avoid repeated freeze/thaw cycles.
Details zu GIP
(ausblenden)
Target
GIP
(Gastric Inhibitory Polypeptide (GIP))
Andere Bezeichnung
GIP
Molekulargewicht
Calculated MW: 17 kDa Observed MW: 17 kDa
Gen-ID
2695
UniProt
P09681
Pathways
Positive Regulation of Peptide Hormone Secretion , Peptide Hormone Metabolism , Hormone Activity , Regulation of Lipid Metabolism by PPARalpha , Lipid Metabolism
Zuletzt angesehen
(ausblenden)
Chat with us , powered by LiveChat