Telefon:
+49 (0)241 95 163 153
Fax:
+49 (0)241 95 163 155
E-Mail:
orders@antikoerper-online.de

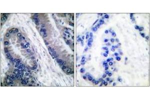
Caspase 1 Antikörper (Cleaved-Asp210)

Der Kaninchen Polyklonal anti-Caspase 1 Antikörper (ABIN2891163) detektiert spezifisch Caspase 1 in IHC und ELISA. Dieser Antikörper reagiert spezifisch mit Proben aus Human.
Produktnummer ABIN2891163
741,67 €
Zzgl. Versandkosten 20,00 € und MwSt
Lieferung nach: Deutschland
Lieferung in 15 bis 20 Werktagen

Kurzübersicht für Caspase 1 Antikörper (Cleaved-Asp210) (ABIN2891163)

Target

Alle Caspase 1 (CASP1) Antikörper anzeigen
Caspase 1 (CASP1)

Reaktivität

  • 117
  • 48
  • 48
  • 5
  • 2
  • 2
  • 1
  • 1
  • 1
  • 1
  • 1
Human

Wirt

  • 132
  • 10
  • 4
  • 1
Kaninchen

Klonalität

  • 102
  • 45
Polyklonal

Konjugat

  • 91
  • 19
  • 7
  • 4
  • 4
  • 4
  • 4
  • 4
  • 4
  • 3
  • 2
  • 2
Dieser Caspase 1 Antikörper ist unkonjugiert

Applikation

  • 120
  • 62
  • 43
  • 26
  • 22
  • 18
  • 14
  • 5
  • 5
  • 3
  • 3
  • 1
Immunohistochemistry (IHC), ELISA
  • Bindungsspezifität

    • 9
    • 9
    • 8
    • 7
    • 5
    • 4
    • 4
    • 3
    • 3
    • 3
    • 3
    • 2
    • 2
    • 2
    • 2
    • 1
    • 1
    • 1
    • 1
    • 1
    • 1
    • 1
    • 1
    • 1
    • 1
    • 1
    • 1
    • 1
    • 1
    • 1
    • 1
    • 1
    • 1
    • 1
    • 1
    • 1
    • 1
    • 1
    • 1
    • 1
    • 1
    • 1
    • 1
    • 1
    AA 192-241, Cleaved-Asp210

    Spezifität

    IL-1 beta (Cleaved-Asp210) Antibody detects endogenous levels of fragment of activated IL-1 beta protein resulting from cleavage adjacent to Asp210.

    Aufreinigung

    Immunoaffinity purified

    Immunogen

    Synthetic peptide from human CASP1 (aa192-241).

    Type of Immunogen: Synthetic peptide

    Isotyp

    IgG
  • Applikationshinweise

    Approved: IHC (1:50 - 1:100), Peptide-ELISA (1:20000)

    Not recommended for: IHC-P

    Kommentare

    Target Species of Antibody: Human

    Beschränkungen

    Nur für Forschungszwecke einsetzbar
  • Format

    Liquid

    Konzentration

    Lot specific

    Buffer

    PBS (without Mg2+, Ca2+),  pH 7.4, 150 mM sodium chloride, 0.02 % sodium azide, 50 % glycerol

    Konservierungsmittel

    Sodium azide

    Vorsichtsmaßnahmen

    This product contains Sodium azide: a POISONOUS AND HAZARDOUS SUBSTANCE which should be handled by trained staff only.

    Lagerung

    -20 °C

    Informationen zur Lagerung

    Store at -20°C for up to 1 year.

    Haltbarkeit

    12 months
  • Target

    Caspase 1 (CASP1)

    Andere Bezeichnung

    CASP1 / Caspase 1

    Hintergrund

    Name/Gene ID: CASP1
    Subfamily: Cysteine C14
    Family: Protease

    Synonyms: CASP1, Caspase-1, CASP-1, CASP1 nirs variant 1, Caspase 1, ICE, ICE-like protease, IL-1 beta-converting enzyme, IL-1BC, IL1BC, IL1BCE, p45, IL1B-convertase, Interleukin-1 beta convertase

    Gen-ID

    834

    UniProt

    P29466

    Pathways

    Apoptose, Interferon-gamma Pathway, Positive Regulation of Endopeptidase Activity, Inflammasome
Sie sind hier:
Chat with us!