Telefon:
+49 (0)241 95 163 153
Fax:
+49 (0)241 95 163 155
E-Mail:
orders@antikoerper-online.de

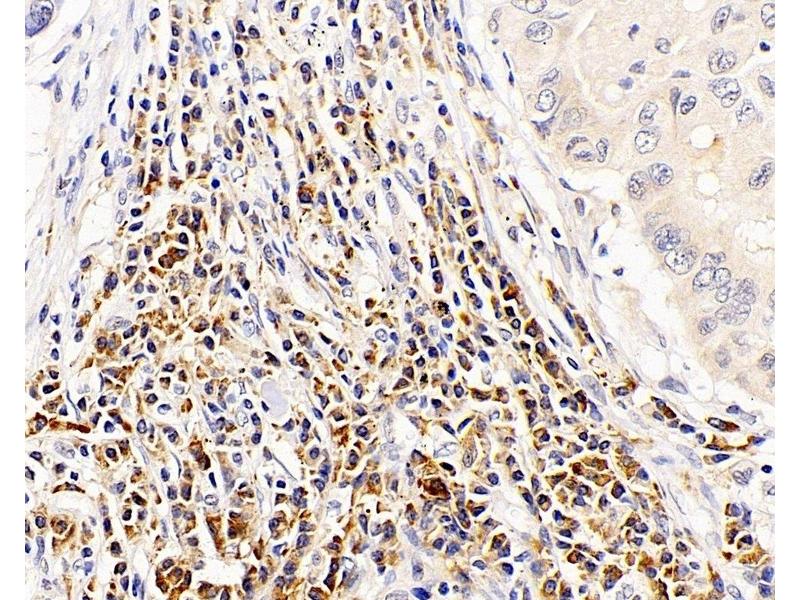
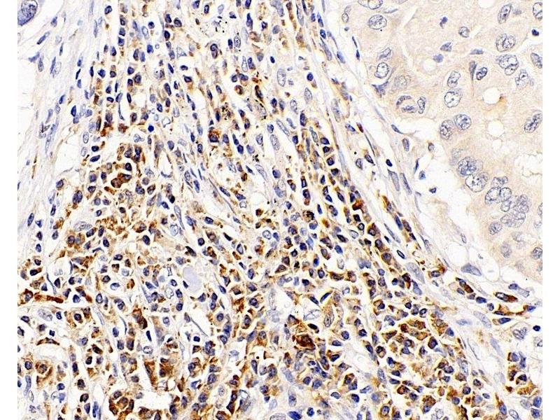
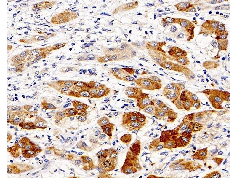
Caspase 1 Antikörper

Der Kaninchen Polyklonal anti-Caspase 1 Antikörper wird verwendet zum Nachweis von Caspase 1 in Proben von Human, Maus und Ratte. Er wurde validiert für WB und IHC.
Produktnummer ABIN7249876
460,00 €
Zzgl. Versandkosten 20,00 € und MwSt
Lieferung nach: Deutschland
Lieferung in 9 bis 13 Werktagen

Kurzübersicht für Caspase 1 Antikörper (ABIN7249876)

Target

Alle Caspase 1 (CASP1) Antikörper anzeigen
Caspase 1 (CASP1)

Reaktivität

  • 117
  • 47
  • 47
  • 5
  • 2
  • 2
  • 1
  • 1
  • 1
  • 1
  • 1
Human, Maus, Ratte

Wirt

  • 132
  • 10
  • 4
  • 1
Kaninchen

Klonalität

  • 102
  • 45
Polyklonal

Konjugat

  • 91
  • 19
  • 7
  • 4
  • 4
  • 4
  • 4
  • 4
  • 4
  • 3
  • 2
  • 2
Dieser Caspase 1 Antikörper ist unkonjugiert

Applikation

  • 119
  • 62
  • 44
  • 26
  • 22
  • 18
  • 14
  • 5
  • 5
  • 3
  • 3
  • 1
Western Blotting (WB), Immunohistochemistry (IHC)
  • Produktmerkmale

    Polyclonal Antibody

    Aufreinigung

    Affinity purification

    Immunogen

    Recombinant protein corresponding to Mouse Caspase1

    Isotyp

    IgG
  • Applikationshinweise

    WB 1:500-1:2000, IHC 1:300-1:800

    Beschränkungen

    Nur für Forschungszwecke einsetzbar
  • Format

    Liquid

    Konzentration

    1.2 mg/mL

    Buffer

    PBS with 0.02 % sodium azide, 1 % BSA and 50 % glycerol, pH 7.4

    Konservierungsmittel

    Sodium azide

    Vorsichtsmaßnahmen

    This product contains Sodium azide: a POISONOUS AND HAZARDOUS SUBSTANCE which should be handled by trained staff only.

    Lagerung

    -20 °C

    Informationen zur Lagerung

    Store at -20°C. Avoid freeze / thaw cycles.
  • Target

    Caspase 1 (CASP1)

    Andere Bezeichnung

    CASP1

    Hintergrund

    This gene encodes a protein which is a member of the cysteine-aspartic acid protease (caspase) family. Sequential activation of caspases plays a central role in the execution-phase of cell apoptosis. Caspases exist as inactive proenzymes which undergo proteolytic processing at conserved aspartic residues to produce 2 subunits, large and small, that dimerize to form the active enzyme. This gene was identified by its ability to proteolytically cleave and activate the inactive precursor of interleukin-1, a cytokine involved in the processes such as inflammation, septic shock, and wound healing. This gene has been shown to induce cell apoptosis and may function in various developmental stages. Studies of a similar gene in mouse suggest a role in the pathogenesis of Huntington disease. Alternative splicing results in transcript variants encoding distinct isoforms.

    Molekulargewicht

    Observed_MW: 45-47 kDa,30 kDa,35 kDa

    Calculated_MW: 45 kDa

    UniProt

    P29466, P29452, P43527

    Pathways

    Apoptose, Interferon-gamma Pathway, Positive Regulation of Endopeptidase Activity, Inflammasome
Sie sind hier:
Chat with us!