Telefon:
+49 (0)241 95 163 153
Fax:
+49 (0)241 95 163 155
E-Mail:
orders@antikoerper-online.de

TLR9 Antikörper (N-Term)

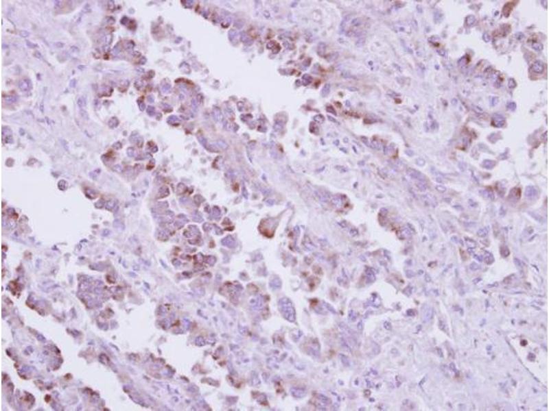
Dieser Kaninchen Polyklonal Antikörper detektiert spezifisch TLR9 in WB und IHC (p). Es zeigt Reaktivität gegenüber Proben von Human.
Produktnummer ABIN2854849
583,17 €
Zzgl. Versandkosten 20,00 € und MwSt
100 μL
Lieferung nach: Deutschland
Lieferung in 7 bis 10 Werktagen

Kurzübersicht für TLR9 Antikörper (N-Term) (ABIN2854849)

Target

Alle TLR9 Antikörper anzeigen
TLR9 (Toll-Like Receptor 9 (TLR9))

Reaktivität

  • 91
  • 32
  • 15
  • 7
  • 6
  • 5
  • 3
  • 3
  • 2
  • 2
  • 2
  • 2
  • 1
  • 1
  • 1
Human

Wirt

  • 63
  • 30
  • 6
  • 4
  • 2
  • 1
Kaninchen

Klonalität

  • 69
  • 37
Polyklonal

Konjugat

  • 65
  • 12
  • 10
  • 5
  • 4
  • 4
  • 1
  • 1
  • 1
  • 1
  • 1
  • 1
Dieser TLR9 Antikörper ist unkonjugiert

Applikation

  • 71
  • 46
  • 43
  • 37
  • 21
  • 17
  • 15
  • 12
  • 8
  • 5
  • 4
  • 2
  • 2
  • 1
  • 1
  • 1
  • 1
  • 1
  • 1
Western Blotting (WB), Immunohistochemistry (Paraffin-embedded Sections) (IHC (p))
  • Bindungsspezifität

    • 15
    • 11
    • 8
    • 7
    • 5
    • 5
    • 4
    • 2
    • 2
    • 2
    • 2
    • 2
    • 2
    • 2
    • 2
    • 2
    • 2
    • 1
    • 1
    • 1
    • 1
    • 1
    • 1
    • 1
    • 1
    • 1
    • 1
    • 1
    • 1
    • 1
    • 1
    N-Term

    Kreuzreaktivität

    Human, Maus

    Produktmerkmale

    Rabbit Polyclonal antibody to TLR9 (toll-like receptor 9)
    TLR9 antibody [N2], N-term

    Aufreinigung

    Purified by antigen-affinity chromatography.

    Immunogen

    Carrier-protein conjugated synthetic peptide encompassing a sequence within the N-terminus region of human TLR9. The exact sequence is proprietary.

    Isotyp

    IgG
  • Applikationshinweise

    WB: 1:500-1:3000. IHC-P: 1:100-1:1000. Optimal dilutions/concentrations should be determined by the researcher. Not tested in other applications.

    Kommentare

    Positive Control: THP-1 , TLR9 transfected 293T

    Validation: Overexpression

    Beschränkungen

    Nur für Forschungszwecke einsetzbar
  • Format

    Liquid

    Konzentration

    0.4 mg/mL

    Buffer

    0.1M Tris-Glycine ( pH 7), 10 % Glycerol, 0.01 % Thimerosal

    Konservierungsmittel

    Thimerosal (Merthiolate)

    Vorsichtsmaßnahmen

    This product contains Thimerosal (Merthiolate): a POISONOUS AND HAZARDOUS SUBSTANCE which should be handled by trained staff only.

    Lagerung

    4 °C,-20 °C

    Informationen zur Lagerung

    Store as concentrated solution. Centrifuge briefly prior to opening vial. For short-term storage (1-2 weeks), store at 4°C. For long-term storage, aliquot and store at -20°C or below. Avoid multiple freeze-thaw cycles.
  • Target

    TLR9 (Toll-Like Receptor 9 (TLR9))

    Andere Bezeichnung

    toll like receptor 9

    Hintergrund

    The protein encoded by this gene is a member of the Toll-like receptor (TLR) family which plays a fundamental role in pathogen recognition and activation of innate immunity. TLRs are highly conserved from Drosophila to humans and share structural and functional similarities. They recognize pathogen-associated molecular patterns (PAMPs) that are expressed on infectious agents, and mediate the production of cytokines necessary for the development of effective immunity. The various TLRs exhibit different patterns of expression. This gene is preferentially expressed in immune cell rich tissues, such as spleen, lymph node, bone marrow and peripheral blood leukocytes. Studies in mice and human indicate that this receptor mediates cellular response to unmethylated CpG dinucleotides in bacterial DNA to mount an innate immune response.

    Cellular Localization: Membrane, Single-pass type I membrane protein

    Molekulargewicht

    116 kDa

    Gen-ID

    54106

    UniProt

    Q9NR96

    Pathways

    TLR Signalweg, Activation of Innate immune Response, Cellular Response to Molecule of Bacterial Origin, Toll-Like Receptors Cascades
Sie sind hier:
Chat with us!