XPC Antikörper (Biotin)
Kurzübersicht für XPC Antikörper (Biotin) (ABIN2568927)
Target
Alle XPC Antikörper anzeigenReaktivität
Wirt
Klonalität
Konjugat
Applikation
-
-
Spezifität
- Human XPC
-
Aufreinigung
- Caprylic acid and ammonium sulfate precipitation
-
Immunogen
-
Recombinant human DNA repair protein complementing XP-C cells protein.
Type of Immunogen: Recombinant protein -
Isotyp
- IgG
-
-
-
-
Applikationshinweise
-
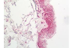
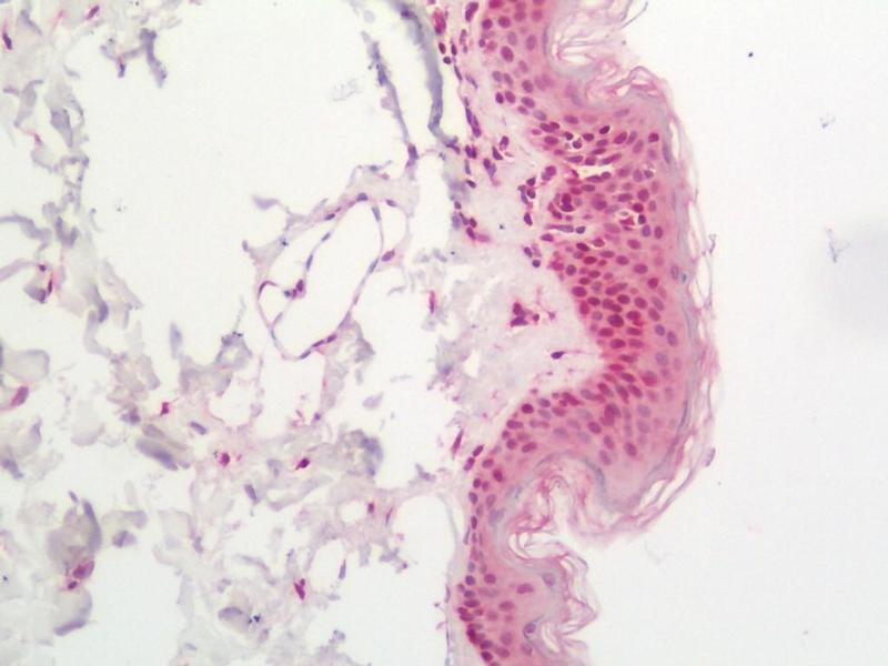
Approved: ELISA, IHC, IHC-P, WB
Usage: The applications listed have been tested for the unconjugated form of this product. Other forms have not been tested. -
Kommentare
-
Target Species of Antibody: Human
-
Beschränkungen
- Nur für Forschungszwecke einsetzbar
-
-
-
Format
- Liquid
-
Konzentration
- Lot specific
-
Buffer
- PBS, pH 7.4, 0.03 % Proclin 300, 50 % glycerol.
-
Konservierungsmittel
- ProClin
-
Vorsichtsmaßnahmen
- This product contains ProClin: a POISONOUS AND HAZARDOUS SUBSTANCE which should be handled by trained staff only.
-
Handhabung
- Avoid freeze-thaw cycles.
-
Lagerung
- -20 °C,-80 °C
-
Informationen zur Lagerung
- Aliquot and store at -20°C or -80°C. Avoid freeze-thaw cycles.
-
-
- XPC (Xeroderma Pigmentosum, Complementation Group C (XPC))
-
Andere Bezeichnung
- XPC
-
Hintergrund
-
Name/Gene ID: XPC
Synonyms: XPC, RAD4, XPCC, p125, XP3 -
Gen-ID
- 7508
-
Pathways
- p53 Signalweg, DNA Reparatur
Target
-