Telefon:
+49 (0)241 95 163 153
Fax:
+49 (0)241 95 163 155
E-Mail:
orders@antikoerper-online.de

FZD7 Antikörper (C-Term)

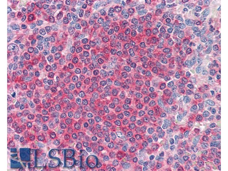
Der Ziege Polyklonal anti-FZD7 Antikörper (ABIN238677) detektiert spezifisch FZD7 in WB, ELISA und IHC. Dieser Antikörper reagiert spezifisch mit Proben aus Human.
Produktnummer ABIN238677
488,25 €
Zzgl. Versandkosten 20,00 € und MwSt
100 μg
Lieferung nach: Deutschland
Lieferung in 5 bis 8 Werktagen

Kurzübersicht für FZD7 Antikörper (C-Term) (ABIN238677)

Target

Alle FZD7 Antikörper anzeigen
FZD7 (Frizzled Family Receptor 7 (FZD7))

Reaktivität

  • 56
  • 38
  • 23
  • 5
  • 4
  • 4
  • 3
  • 3
  • 3
  • 2
  • 1
  • 1
  • 1
  • 1
Human

Wirt

  • 49
  • 6
  • 4
  • 2
Ziege

Klonalität

  • 51
  • 9
Polyklonal

Konjugat

  • 36
  • 5
  • 3
  • 3
  • 2
  • 1
  • 1
  • 1
  • 1
  • 1
  • 1
  • 1
  • 1
  • 1
  • 1
  • 1
  • 1
Dieser FZD7 Antikörper ist unkonjugiert

Applikation

  • 51
  • 31
  • 16
  • 13
  • 13
  • 9
  • 8
  • 7
  • 3
  • 2
  • 1
  • 1
Western Blotting (WB), ELISA, Immunohistochemistry (IHC)

Güteklasse

Verified
  • Bindungsspezifität

    • 16
    • 9
    • 5
    • 5
    • 4
    • 3
    • 2
    • 2
    • 2
    • 2
    • 1
    • 1
    • 1
    • 1
    • 1
    • 1
    • 1
    • 1
    • 1
    • 1
    C-Term

    Verwendungszweck

    Frizzled 7

    Sequenz

    RFYHRLSHSS KGET

    Kreuzreaktivität

    Human, Maus

    Aufreinigung

    Purified from goat serum by ammonium sulphate precipitation followed by antigen affinity chromatography using the immunizing peptide.

    Immunogen

    Peptide with sequence C-RFYHRLSHSSKGET, from the C Terminus of the protein sequence according to NP_003498.1.

    Isotyp

    IgG
  • Applikationshinweise

    Immunohistochemistry: Paraffin embedded Human Spleen. Recommended concentration: 5 μg/mL.

    Western Blot: Approx 60 kDa band observed in lysates of cell lines HEK293 and HepG2 (calculated MW of 63.6 kDa according to NP_003498.1). Recommended concentration: 0.3-1 μg/mL.

    Peptide ELISA: antibody detection limit dilution 1:64000.

    Beschränkungen

    Nur für Forschungszwecke einsetzbar
  • Format

    Liquid

    Konzentration

    0.5 mg/mL

    Buffer

    Supplied at 0.5 mg/mL in Tris saline, 0.02 % sodium azide, pH 7.3 with 0.5 % bovine serum albumin.

    Konservierungsmittel

    Sodium azide

    Vorsichtsmaßnahmen

    This product contains Sodium azide: a POISONOUS AND HAZARDOUS SUBSTANCE which should be handled by trained staff only.

    Handhabung

    Minimize freezing and thawing.

    Lagerung

    -20 °C

    Informationen zur Lagerung

    Aliquot and store at -20°C, with minimal freeze/thawing. A working aliquot may be refrigerated at 4°C for a few weeks and still remain viable.
  • Target

    FZD7 (Frizzled Family Receptor 7 (FZD7))

    Andere Bezeichnung

    FZD7

    Hintergrund

    Rizzled 7, frizzled homolog 7 (Drosophila), FZD7, FzE3, Frizzled, drosophila, homolog of, 7

    Gen-ID

    8324, 14369

    NCBI Accession

    NP_003498

    Pathways

    WNT Signalweg, Stem Cell Maintenance
Sie sind hier:
Chat with us!