Telefon:
+49 (0)241 95 163 153
Fax:
+49 (0)241 95 163 155
E-Mail:
orders@antikoerper-online.de

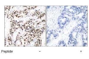
c-MYC Antikörper (Thr58)

Der Kaninchen Polyklonal anti-c-MYC Antikörper (ABIN197154) detektiert spezifisch c-MYC in WB und IHC (p). Dieser Antikörper reagiert spezifisch mit Proben aus Human und Maus.
Produktnummer ABIN197154
606,15 €
Zzgl. Versandkosten 20,00 € und MwSt
Lieferung nach: Deutschland
Lieferung in 16 Werktagen

Kurzübersicht für c-MYC Antikörper (Thr58) (ABIN197154)

Target

Alle c-MYC (MYC) Antikörper anzeigen
c-MYC (MYC) (Myc Proto-Oncogene protein (MYC))

Reaktivität

  • 425
  • 191
  • 161
  • 15
  • 15
  • 14
  • 14
  • 13
  • 10
  • 9
  • 9
  • 6
  • 6
  • 6
  • 6
  • 4
  • 3
  • 3
  • 2
  • 2
  • 2
  • 1
  • 1
  • 1
  • 1
  • 1
  • 1
  • 1
Human, Maus

Wirt

  • 330
  • 118
  • 6
  • 5
  • 3
  • 1
  • 1
Kaninchen

Klonalität

  • 264
  • 199
Polyklonal

Konjugat

  • 208
  • 36
  • 24
  • 22
  • 9
  • 9
  • 9
  • 9
  • 9
  • 9
  • 8
  • 7
  • 7
  • 6
  • 5
  • 5
  • 5
  • 5
  • 5
  • 5
  • 5
  • 5
  • 5
  • 5
  • 5
  • 4
  • 4
  • 4
  • 4
  • 4
  • 4
  • 3
  • 2
  • 1
  • 1
  • 1
  • 1
  • 1
  • 1
  • 1
  • 1
Dieser c-MYC Antikörper ist unkonjugiert

Applikation

  • 341
  • 138
  • 132
  • 128
  • 127
  • 91
  • 81
  • 55
  • 28
  • 26
  • 19
  • 13
  • 12
  • 10
  • 7
  • 6
  • 4
  • 1
  • 1
  • 1
  • 1
  • 1
Western Blotting (WB), Immunohistochemistry (Paraffin-embedded Sections) (IHC (p))
  • Bindungsspezifität

    • 74
    • 71
    • 69
    • 52
    • 23
    • 23
    • 17
    • 15
    • 15
    • 11
    • 10
    • 7
    • 6
    • 6
    • 4
    • 4
    • 4
    • 4
    • 3
    • 3
    • 2
    • 2
    • 2
    • 2
    • 2
    • 2
    • 2
    • 2
    • 2
    • 1
    • 1
    • 1
    • 1
    • 1
    • 1
    • 1
    • 1
    • 1
    • 1
    • 1
    • 1
    • 1
    • 1
    • 1
    • 1
    • 1
    • 1
    • 1
    • 1
    • 1
    Thr58

    Spezifität

    Myc antibody detects endogenous levels of total Myc protein.

    Aufreinigung

    Affinity-chromatography using epitope-specific immunogen

    Immunogen

    The antiserum was produced against synthesized non-phosphopeptide derived from human Myc around the phosphorylation site of threonine 58 (L-P-TP-P-P).
  • Applikationshinweise

    Western Blot: 1: 500approx. 1: 1000. Immunohistochemistry: 1: 50approx. 1: 100.
    Other applications not tested.
    Optimal dilutions are dependent on conditions and should be determined by the user.

    Beschränkungen

    Nur für Forschungszwecke einsetzbar
  • Konzentration

    1.0 mg/mL

    Buffer

    PBS(without Mg2+ and Ca2+), pH 7.4 containing 150 mM NaCl, 0.02 % sodium azide and 50 % glycerol

    Konservierungsmittel

    Sodium azide

    Vorsichtsmaßnahmen

    This product contains sodium azide: a POISONOUS AND HAZARDOUS SUBSTANCE which should be handled by trained staff only.

    Handhabung

    Avoid repeated freezing and thawing.

    Lagerung

    -20 °C
  • Target

    c-MYC (MYC) (Myc Proto-Oncogene protein (MYC))

    Andere Bezeichnung

    C-Myc

    Hintergrund

    Synonyms: BHLHE39, Class E basic helix-loop-helix protein 39, Myc proto-oncogene protein, Transcription factor p64

    Gen-ID

    4609

    NCBI Accession

    NP_002458

    UniProt

    P01106

    Pathways

    p53 Signalweg, Zellzyklus, Sensory Perception of Sound, Transition Metal Ion Homeostasis, Mitotic G1-G1/S Phases, Positive Regulation of Endopeptidase Activity, Regulation of Carbohydrate Metabolic Process, Positive Regulation of Response to DNA Damage Stimulus, Warburg Effekt
Sie sind hier:
Chat with us!