Telefon:
+49 (0)241 95 163 153
Fax:
+49 (0)241 95 163 155
E-Mail:
orders@antikoerper-online.de

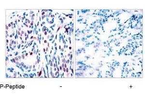
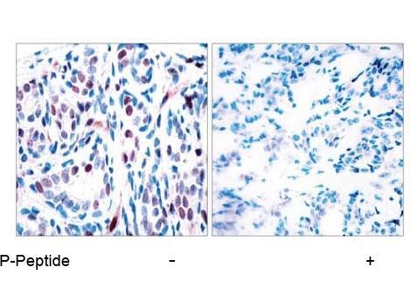
STAT3 Antikörper (pTyr705)

Dieses Kaninchen Polyklonal-Antikörper erkennt spezifisch STAT3 in WB und IHC (p). Er zeigt eine Reaktivität gegenüber Human und Maus und wurde in 9+ Publikationen erwähnt.
Produktnummer ABIN196691

Kurzübersicht für STAT3 Antikörper (pTyr705) (ABIN196691)

Target

Alle STAT3 Antikörper anzeigen
STAT3 (Signal Transducer and Activator of Transcription 3 (Acute-Phase Response Factor) (STAT3))

Reaktivität

  • 317
  • 152
  • 151
  • 40
  • 27
  • 26
  • 23
  • 16
  • 14
  • 7
  • 4
  • 4
  • 3
  • 3
  • 2
  • 2
  • 1
  • 1
  • 1
Human, Maus

Wirt

  • 234
  • 98
  • 4
  • 2
  • 1
  • 1
Kaninchen

Klonalität

  • 199
  • 139
Polyklonal

Konjugat

  • 197
  • 21
  • 15
  • 10
  • 9
  • 8
  • 6
  • 4
  • 4
  • 4
  • 4
  • 4
  • 3
  • 3
  • 3
  • 3
  • 3
  • 3
  • 3
  • 3
  • 3
  • 3
  • 3
  • 2
  • 2
  • 2
  • 2
  • 2
  • 2
  • 2
  • 2
  • 2
  • 1
  • 1
  • 1
Dieser STAT3 Antikörper ist unkonjugiert

Applikation

  • 241
  • 126
  • 105
  • 84
  • 56
  • 47
  • 45
  • 41
  • 33
  • 27
  • 15
  • 11
  • 9
  • 8
  • 7
  • 5
  • 3
  • 3
  • 2
  • 1
  • 1
  • 1
  • 1
  • 1
Western Blotting (WB), Immunohistochemistry (Paraffin-embedded Sections) (IHC (p))
  • Bindungsspezifität

    • 87
    • 54
    • 23
    • 10
    • 8
    • 6
    • 5
    • 4
    • 4
    • 4
    • 4
    • 3
    • 3
    • 3
    • 3
    • 3
    • 3
    • 3
    • 3
    • 2
    • 2
    • 2
    • 2
    • 2
    • 2
    • 2
    • 2
    • 1
    • 1
    • 1
    • 1
    • 1
    • 1
    • 1
    • 1
    • 1
    • 1
    • 1
    • 1
    • 1
    • 1
    • 1
    • 1
    • 1
    • 1
    • 1
    • 1
    • 1
    • 1
    • 1
    pTyr705

    Spezifität

    The antibody was affinity-purified from rabbit antiserum by affinity-chromatography using epitope-specific phosphopeptide. The antibody against non-phosphopeptide was removed by chromatography using non-phosphopeptide corresponding to the phosphorylation site. STAT3 (phospho-Tyr705) antibody detects endogenous levels of STAT3 only when phosphorylated at tyrosine 705.

    Aufreinigung

    Immunoaffinity chromatography.

    Immunogen

    The antiserum was produced against synthesized phosphopeptide derived from human STAT3 around the phosphorylation site of tyrosine 705 (A-P-YP-L-K).
  • Applikationshinweise

    Suitable for use in Western blot (1: 500approx. 1: 1000) and Immunohistochemistry (1: 50approx. 1: 100).
    Other applications not tested.
    Optimal dilutions are dependent on conditions and should be determined by the user.

    Beschränkungen

    Nur für Forschungszwecke einsetzbar
  • Konzentration

    1.0 mg/mL

    Buffer

    Phosphate buffered saline (without Mg2+ and Ca2+), pH 7.4, 150 mM NaCl, 0.02 % Sodium Azide and 50 % glycerol.

    Konservierungsmittel

    Sodium azide

    Vorsichtsmaßnahmen

    This product contains sodium azide: a POISONOUS AND HAZARDOUS SUBSTANCE which should be handled by trained staff only.

    Handhabung

    Avoid repeated freezing and thawing.

    Lagerung

    -20 °C

    Informationen zur Lagerung

    Store the antibody (in aliquots) at -20 °C.
  • Mpousis, Thysiadis, Avramidis, Katsamakas, Efthimiopoulos, Sarli: "Synthesis and evaluation of gallocyanine dyes as potential agents for the treatment of Alzheimer's disease and related neurodegenerative tauopathies." in: European journal of medicinal chemistry, Vol. 108, pp. 28-38, (2016) (PubMed).

    Sangaletti, Tripodo, Sandri, Torselli, Vitali, Ratti, Botti, Burocchi, Porcasi, Tomirotti, Colombo, Chiodoni: "Osteopontin shapes immunosuppression in the metastatic niche." in: Cancer research, Vol. 74, Issue 17, pp. 4706-19, (2015) (PubMed).

    Ma, Li, Wang, Gong, Zhang, Li, Ji, Liu, Chen, Xiang: "Atrial natriuretic peptide suppresses Th17 development through regulation of cGMP-dependent protein kinase and PI3K-Akt signaling pathways." in: Regulatory peptides, Vol. 181, pp. 9-16, (2013) (PubMed).

    Wang, Peng-Jiao, Yang, Chuang-Yuan, Zhao, Liu, Fei, Zhang: "PF-04691502 triggers cell cycle arrest, apoptosis and inhibits the angiogenesis in hepatocellular carcinoma cells." in: Toxicology letters, Vol. 220, Issue 2, pp. 150-6, (2013) (PubMed).

    García-Prieto, González-López, Cabrera, Astudillo, Gutiérrez-Fernández, Fanjul-Fernandez, Batalla-Solís, Puente, Fueyo, López-Otín, Albaiceta: "Resistance to bleomycin-induced lung fibrosis in MMP-8 deficient mice is mediated by interleukin-10." in: PLoS ONE, Vol. 5, Issue 10, pp. e13242, (2010) (PubMed).

    Takeichi, Sugiura, Muro, Matsumoto, Ogawa, Futamura, Kaminuma, Hashimoto, Shimoyama, Saito, Tomita: "Overexpression of LEDGF/DFS70 induces IL-6 via p38 activation in HaCaT cells, similar to that seen in the psoriatic condition." in: The Journal of investigative dermatology, Vol. 130, Issue 12, pp. 2760-7, (2010) (PubMed).

    Zhang, Zhao, Xin: "Significance and relationship between Cripto-1 and p-STAT3 expression in gastric cancer and precancerous lesions." in: World journal of gastroenterology : WJG, Vol. 16, Issue 5, pp. 571-7, (2010) (PubMed).

    Yuan, Qian, Shi, Lu, Li, Hu, Yu, Shen, Guo: "HER2-dependent MMP-7 expression is mediated by activated STAT3." in: Cellular signalling, Vol. 20, Issue 7, pp. 1284-91, (2008) (PubMed).

    Yamaguchi, Zhu, Yu, Sasaki, Umetsu, Kidachi, Ryoyama: "Low-level bisphenol A increases production of glial fibrillary acidic protein in differentiating astrocyte progenitor cells through excessive STAT3 and Smad1 activation." in: Toxicology, Vol. 226, Issue 2-3, pp. 131-42, (2006) (PubMed).

  • Target

    STAT3 (Signal Transducer and Activator of Transcription 3 (Acute-Phase Response Factor) (STAT3))

    Andere Bezeichnung

    STAT3

    Hintergrund

    Synonyms: APRF, Acute-phase response factor, STAT-3, Signal transducer and activator of transcription 3

    Gen-ID

    6774

    NCBI Accession

    NP_003141

    UniProt

    P40763

    Pathways

    JAK-STAT Signalweg, RTK Signalweg, Interferon-gamma Pathway, Neurotrophin Signalübertragung, Dopaminergic Neurogenesis, Response to Growth Hormone Stimulus, Carbohydrate Homeostasis, Stem Cell Maintenance, Hepatitis C, Protein targeting to Nucleus, Feeding Behaviour, CXCR4-mediated Signaling Events, Signaling of Hepatocyte Growth Factor Receptor
Sie sind hier:
Chat with us!