Telefon:
+49 (0)241 95 163 153
Fax:
+49 (0)241 95 163 155
E-Mail:
orders@antikoerper-online.de

GIP Antikörper (AA 11-124)

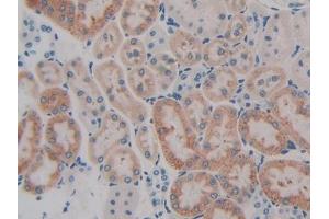
Der Kaninchen Polyklonal anti-GIP Antikörper wird verwendet zum Nachweis von GIP in Proben von Ratte. Er wurde validiert für WB, IHC, IP und ICC.
Produktnummer ABIN1868156
239,00 €
Zzgl. Versandkosten 20,00 € und MwSt
Lieferung nach: Deutschland
Lieferung in 11 bis 15 Werktagen

Kurzübersicht für GIP Antikörper (AA 11-124) (ABIN1868156)

Target

Alle GIP Antikörper anzeigen
GIP (Gastric Inhibitory Polypeptide (GIP))

Reaktivität

  • 38
  • 28
  • 25
  • 3
  • 3
  • 1
  • 1
  • 1
  • 1
  • 1
Ratte

Wirt

  • 52
  • 11
Kaninchen

Klonalität

  • 52
  • 11
Polyklonal

Konjugat

  • 32
  • 4
  • 2
  • 2
  • 2
  • 2
  • 2
  • 2
  • 2
  • 2
  • 1
  • 1
  • 1
  • 1
  • 1
  • 1
  • 1
  • 1
  • 1
  • 1
  • 1
Dieser GIP Antikörper ist unkonjugiert

Applikation

  • 36
  • 23
  • 15
  • 13
  • 13
  • 10
  • 9
  • 5
  • 3
  • 2
  • 2
  • 1
  • 1
  • 1
  • 1
  • 1
  • 1
  • 1
Western Blotting (WB), Immunohistochemistry (IHC), Immunoprecipitation (IP), Immunocytochemistry (ICC)
  • Bindungsspezifität

    • 16
    • 5
    • 4
    • 1
    • 1
    • 1
    • 1
    • 1
    AA 11-124

    Verwendungszweck

    Polyclonal Antibody to Gastric Inhibitory Polypeptide (GIP)

    Spezifität

    The antibody is a rabbit polyclonal antibody raised against GIP. It has been selected for its ability to recognize GIP in immunohistochemical staining and western blotting.

    Aufreinigung

    Antigen-specific affinity chromatography followed by Protein A affinity chromatography

    Immunogen

    GIP (Leu11-Leu124)

    Isotyp

    IgG
  • Applikationshinweise

    Western blotting: 0.5-2 μg/mL,Immunohistochemistry: 5-20 μg/mL,Immunocytochemistry: 5-20 μg/mL,Optimal working dilutions must be determined by end user.

    Kommentare

    The thermal stability is described by the loss rate. The loss rate was determined by accelerated thermal degradation test, that is, incubate the protein at 37°C for 48h, and no obvious degradation and precipitation were observed. The loss rate is less than 5% within the expiration date under appropriate storage condition.

    Beschränkungen

    Nur für Forschungszwecke einsetzbar
  • Format

    Liquid

    Konzentration

    500 μg/mL

    Buffer

    0.01M PBS, pH 7.4, containing 0.05 % Proclin-300, 50 % glycerol.

    Konservierungsmittel

    ProClin

    Vorsichtsmaßnahmen

    WARNING: Reagents contain sodium azide. Sodium azide is very toxic if ingested or inhaled. Avoid contact with skin, eyes, or clothing. Wear eye or face protection when handling. If skin or eye contact occurs, wash with copious amounts of water. If ingested or inhaled, contact a physician immediately. Sodium azide yields toxic hydrazoic acid under acidic conditions. Dilute azide-containing compounds in running water before discarding to avoid accumulation of potentially explosive deposits in lead or copper plumbing.

    Handhabung

    Avoid repeated freeze-thaw cycles.

    Lagerung

    4 °C,-20 °C

    Informationen zur Lagerung

    Store at 4°C for frequent use. Stored at -20°C in a manual defrost freezer for two year without detectable loss of activity. Avoid repeated freeze-thaw cycles.

    Haltbarkeit

    12 months
  • Target

    GIP (Gastric Inhibitory Polypeptide (GIP))

    Andere Bezeichnung

    Gastric Inhibitory Polypeptide

    Hintergrund

    Incretin hormone, Glucose Dependent Insulinotropic Peptide

    Pathways

    Positive Regulation of Peptide Hormone Secretion, Peptide Hormone Metabolism, Hormone Activity, Regulation of Lipid Metabolism by PPARalpha, Lipid Metabolism
Sie sind hier:
Chat with us!