Telefon:
+49 (0)241 95 163 153
Fax:
+49 (0)241 95 163 155
E-Mail:
orders@antikoerper-online.de

BRAF Antikörper

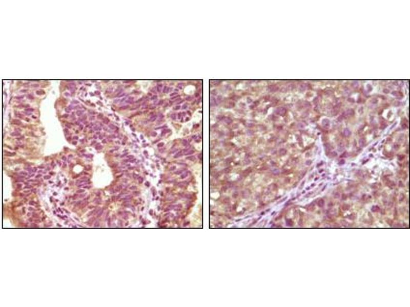
Zitiert in 4+ Publikationen. Der Maus Monoklonal anti-BRAF Antikörper (Klon 1H12F1) (ABIN1724658) detektiert spezifisch BRAF in IHC und ELISA. Dieser Antikörper reagiert spezifisch mit Proben aus Human.
Produktnummer ABIN1724658
571,06 €
Zzgl. Versandkosten 20,00 € und MwSt
100 μL
Lieferung nach: Deutschland
Lieferung in 7 bis 10 Werktagen

Kurzübersicht für BRAF Antikörper (ABIN1724658)

Target

Alle BRAF Antikörper anzeigen
BRAF (B-Raf proto-oncogene, serine/threonine kinase (BRAF))

Reaktivität

  • 242
  • 97
  • 76
  • 7
  • 5
  • 3
  • 2
  • 2
  • 1
  • 1
  • 1
  • 1
  • 1
Human

Wirt

  • 210
  • 33
  • 2
Maus

Klonalität

  • 161
  • 84
Monoklonal

Konjugat

  • 138
  • 17
  • 11
  • 10
  • 8
  • 8
  • 6
  • 6
  • 6
  • 6
  • 6
  • 6
  • 3
  • 3
  • 1
  • 1
  • 1
  • 1
  • 1
  • 1
  • 1
  • 1
  • 1
  • 1
  • 1
Dieser BRAF Antikörper ist unkonjugiert

Applikation

  • 154
  • 117
  • 113
  • 42
  • 31
  • 30
  • 26
  • 23
  • 23
  • 13
  • 13
  • 8
  • 3
  • 3
  • 1
  • 1
Immunohistochemistry (IHC), ELISA

Klon

1H12F1
  • Verwendungszweck

    BRAF Antibody

    Aufreinigung

    Ascitic fluid

    Immunogen

    Purified recombinant fragment of BRAF expressed in E. Coli.

    Isotyp

    IgG1
  • Applikationshinweise

    ELISA: 1/10000

    Beschränkungen

    Nur für Forschungszwecke einsetzbar
  • Format

    Liquid

    Buffer

    Ascitic fluid containing 0.03 % sodium azide.

    Konservierungsmittel

    Sodium azide

    Vorsichtsmaßnahmen

    This product contains Sodium azide: a POISONOUS AND HAZARDOUS SUBSTANCE which should be handled by trained staff only.

    Lagerung

    4 °C,-20 °C

    Informationen zur Lagerung

    Store at 4°C short term. Aliquot and store at -20°C long term. Avoid freeze/thaw cycles.
  • Kim, Giuliano, Turner, Gaffney, Umetani, Kitago, Elashoff, Hoon: "Lymphatic mapping establishes the role of BRAF gene mutation in papillary thyroid carcinoma." in: Annals of surgery, Vol. 244, Issue 5, pp. 799-804, (2006) (PubMed).

    Terai, Matsuda: "The amino-terminal B-Raf-specific region mediates calcium-dependent homo- and hetero-dimerization of Raf." in: The EMBO journal, Vol. 25, Issue 15, pp. 3556-64, (2006) (PubMed).

    Noda, Kato, Yoshikawa, Arai, Togashi, Nagai, Konishi, Miki: "Frequent involvement of ras-signalling pathways in both polypoid-type and flat-type early-stage colorectal cancers." in: Journal of experimental & clinical cancer research : CR, Vol. 25, Issue 2, pp. 235-42, (2006) (PubMed).

    Fullen, Poynter, Lowe, Su, Elder, Nair, Johnson, Gruber: "BRAF and NRAS mutations in spitzoid melanocytic lesions." in: Modern pathology : an official journal of the United States and Canadian Academy of Pathology, Inc, Vol. 19, Issue 10, pp. 1324-32, (2006) (PubMed).

  • Target

    BRAF (B-Raf proto-oncogene, serine/threonine kinase (BRAF))

    Andere Bezeichnung

    BRAF

    Hintergrund

    BRAF(V-raf murine sarcoma viral oncogene homolog B1 ) is the main effectors recruited by GTP-bound Ras to activate the MEK-MAP kinase pathway. B-Raf contains three consensus Akt phosphorylationsites (Ser364, Ser428, and Thr439).B-Raf is a key regulatory molecule of the mitogen-activated protein kinase kinase (MEK),it has a long amino-terminal region,the region is essential for homo-dimerization of B-Raf and hetero-dimerization of B-Raf and c-Raf at the plasma membrane, followed by phosphorylation of Thr118 in the amino-terminal B-Raf-specific region. Notably, in calcium ionophore-stimulated HeLa cells, B-Raf could propagate signals to MEK under the basal level of GTP-Ras. Expression of Raf-B is highly restricted with highestlevels in the cerebrum and testes and defects in braf are involved in a wide range of cancers.The BRAF gene mutation is frequently detected in papillary thyroid carcinoma,melanocytic nevi,primary cutaneous melanomas and colorectal cancers.

    Gen-ID

    673

    UniProt

    P15056

    Pathways

    MAPK Signalweg, RTK Signalweg, Neurotrophin Signalübertragung, Ribonucleoprotein Complex Subunit Organization, Hepatitis C, Autophagie
Sie sind hier:
Chat with us!