Phospholipase C gamma 1 Antikörper
Kurzübersicht für Phospholipase C gamma 1 Antikörper (ABIN1103661)
Target
Alle Phospholipase C gamma 1 (PLCG1) Antikörper anzeigenReaktivität
Wirt
Klonalität
Konjugat
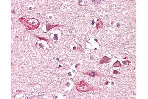
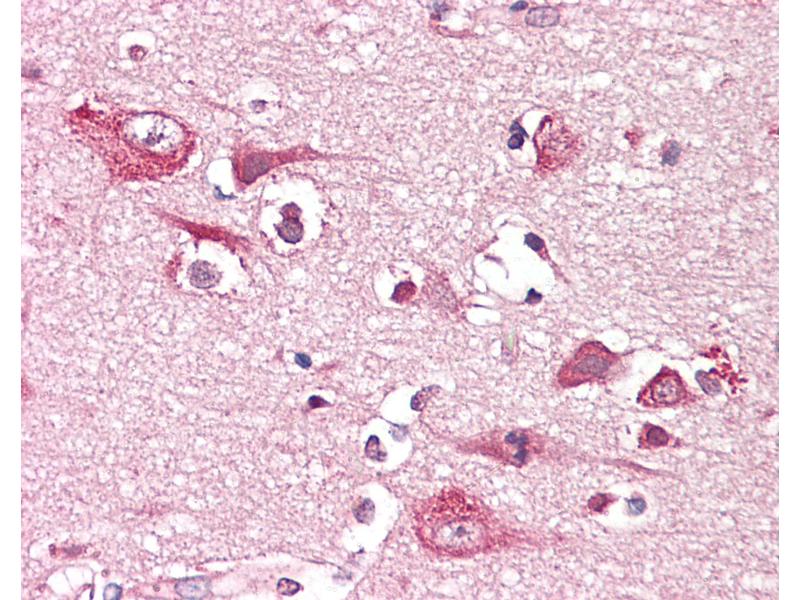
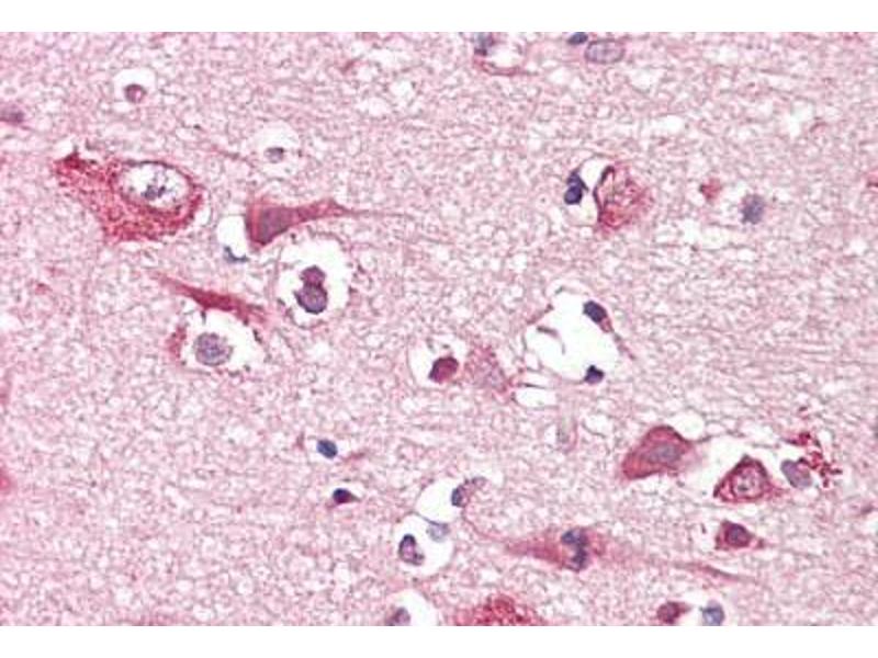
Applikation
Klon
-
-
Aufreinigung
- Ammonium sulfate precipitation
-
Immunogen
-
Recombinant human PLCG1 purified from E. coli.
Type of Immunogen: Recombinant protein -
Isotyp
- IgG2a kappa
-
-
-
-
Applikationshinweise
- Approved: IHC, IHC-P (1:200), IP, WB (1:2000)
-
Kommentare
-
Target Species of Antibody: Human
-
Beschränkungen
- Nur für Forschungszwecke einsetzbar
-
-
-
Format
- Liquid
-
Konzentration
- Lot specific
-
Buffer
- HEPES with 0.15M NaCl, 0.01 % BSA, 0.03 % sodium azide, and 50 % glycerol
-
Konservierungsmittel
- Sodium azide
-
Vorsichtsmaßnahmen
- This product contains Sodium azide: a POISONOUS AND HAZARDOUS SUBSTANCE which should be handled by trained staff only.
-
Lagerung
- -20 °C
-
Informationen zur Lagerung
-
Short term: -20°C
Long term: -20°C.
-
-
- Phospholipase C gamma 1 (PLCG1) (phospholipase C, gamma 1 (PLCG1))
-
Andere Bezeichnung
- PLCG1
-
Hintergrund
-
Name/Gene ID: PLCG1
Family: Phospholipase
Synonyms: PLCG1, Phospholipase C, gamma 1, Phospholipase C-148, Phosphoinositidase C, Phospholipase C-II, Inositoltrisphosphohydrolase, PLC-gamma-1, PLC1, PLC-148, PLC-II, PLC148, NCKAP3, Phospholipase C-gamma-1, PLCgamma1 -
Gen-ID
- 5335
-
UniProt
- P19174
-
Pathways
- RTK Signalweg, WNT Signalweg, T-Zell Rezeptor Signalweg, Fc-epsilon Rezeptor Signalübertragung, EGFR Signaling Pathway, Neurotrophin Signalübertragung, Thyroid Hormone Synthesis, Inositol Metabolic Process, Myometrial Relaxation and Contraction, Regulation of Muscle Cell Differentiation, Regulation of G-Protein Coupled Receptor Protein Signaling, Skeletal Muscle Fiber Development, G-protein mediated Events, Signaling Events mediated by VEGFR1 and VEGFR2, Interaction of EGFR with phospholipase C-gamma, VEGFR1 Specific Signals, VEGF Signaling
Target
-