Telefon:
+49 (0)241 95 163 153
Fax:
+49 (0)241 95 163 155
E-Mail:
orders@antikoerper-online.de

ZNF148 Antikörper

(Zinc Finger Protein 148 (ZNF148))

Wählen Sie einen von 40 ZNF148-Antikörpern aus unserem Produktangebot basierend auf 8 Publikationen und 40 Validierungsbilder.

Entdecken Sie zuverlässige ZNF148-Antikörper von einer großen Zahl namhafter Hersteller. Unser Portfolio ermöglicht eine präzise ZNF148-Detektion in verschiedenen Spezies, darunter Human, Mouse, Rat, Cow, Horse, Dog, Guinea Pig, Pig, Rabbit, Zebrafish (Danio rerio), Bat, Monkey, Chicken, Saccharomyces cerevisiae, und unterstützt vielfältige Forschungsanwendungen wie WB, ELISA, IHC, IF, IHC (p).

Finden Sie schnell den passenden Antikörper mit unseren Such-, Filter- und Vergleichsfunktionen. Auf jeder Produktseite stehen Ihnen detaillierte Validierungsdaten, Literaturreferenzen und Kundenbewertungen zur Verfügung. Im Gegensatz zu reinen Vergleichsportalen können Sie Ihre Antikörper direkt über unsere Plattform erwerben. Wählen Sie aus polyklonalen, monoklonalen oder rekombinanten ZNF148-Antikörpern aus verschiedenen Wirtsarten wie Rabbit, Mouse. Durchstöbern Sie unten unsere Auswahl an ZNF148-Antikörpern und bestellen Sie direkt, um Ihre Forschung effizient voranzubringen.

Alternative Bezeichnungen für ZNF148 sind ZNF148, Zfp148, znf148.

40 Treffer

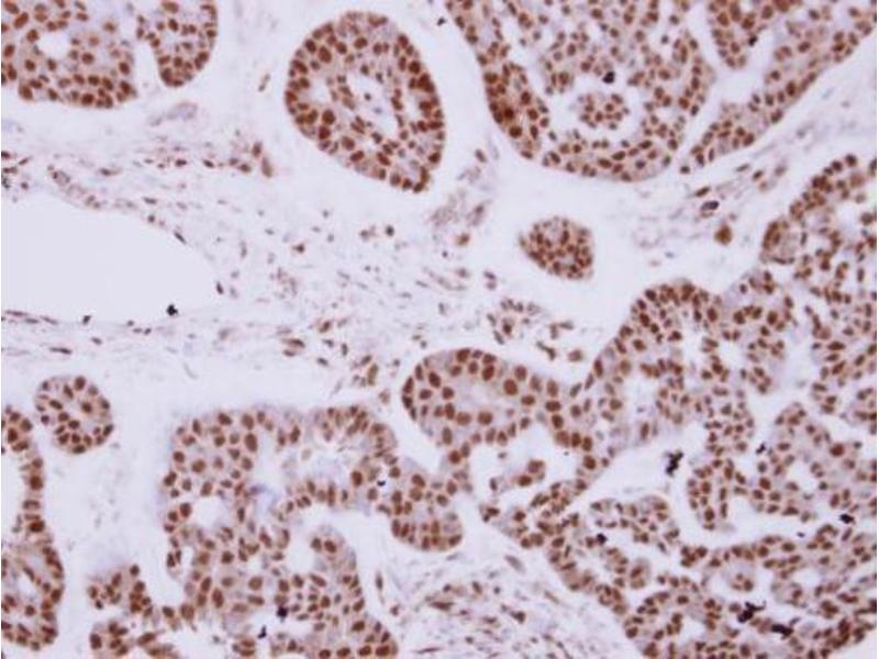
ZNF148 Reaktivität: Human, Maus, Ratte IHC, IF Wirt: Kaninchen Polyclonal unconjugated
Produktnummer ABIN7262943
580,00 €
Zzgl. Versandkosten 20,00 € und MwSt
200 μL (Weitere Mengeneinheiten)
Lieferung nach: Deutschland
Lieferung in 9 bis 13 Werktagen
 
ZNF148 Reaktivität: Human WB, IHC, IF Wirt: Kaninchen Polyclonal unconjugated
Produktnummer ABIN6150463
320,00 €
Zzgl. Versandkosten 20,00 € und MwSt
100 μL (Weitere Mengeneinheiten)
Lieferung nach: Deutschland
Lieferung in 7 bis 9 Werktagen
 
ZNF148 Reaktivität: Human, Maus, Ratte WB, IHC, ELISA, IF, ICC Wirt: Kaninchen Polyclonal unconjugated
Produktnummer ABIN6266110
525,71 €
Zzgl. Versandkosten 20,00 € und MwSt
100 μL (Weitere Mengeneinheiten)
Lieferung nach: Deutschland
Lieferung in 9 bis 11 Werktagen
 
ZNF148 Reaktivität: Human WB, IF, IHC (p), ICC Wirt: Kaninchen Polyclonal unconjugated
Produktnummer ABIN2855987
583,17 €
Zzgl. Versandkosten 20,00 € und MwSt
100 μL
Lieferung nach: Deutschland
Lieferung in 7 bis 10 Werktagen
 
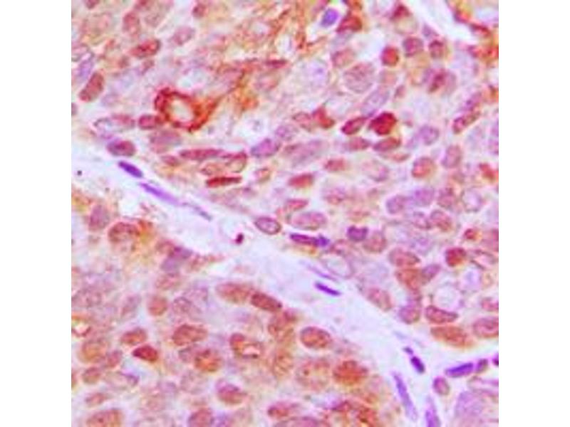
Rockland 100-401-685 ZNF148 Reaktivität: Human WB, ELISA Wirt: Kaninchen Polyclonal unconjugated
Pubmed 2 Referenzen
Produktnummer ABIN964672
624,85 €
Zzgl. Versandkosten 20,00 €, Trockeneispauschale 20,00 € sowie MwSt
100 μL
Lieferung nach: Deutschland
Lieferung in 5 bis 8 Werktagen
Rockland Original
ZNF148 Reaktivität: Human WB Wirt: Kaninchen Polyclonal RB40518 unconjugated
Pubmed 5 Referenzen
Produktnummer ABIN1882015
434,77 €
Zzgl. Versandkosten 20,00 € und MwSt
400 μL (Weitere Mengeneinheiten)
Lieferung nach: Deutschland
Lieferung in 14 bis 17 Werktagen
 
ZNF148 Reaktivität: Human WB, IHC, ELISA Wirt: Kaninchen Polyclonal unconjugated
Produktnummer ABIN7176117
328,90 €
Zzgl. Versandkosten 20,00 € und MwSt
100 μL (Weitere Mengeneinheiten)
Lieferung nach: Deutschland
Lieferung in 11 bis 15 Werktagen
 
ZNF148 Reaktivität: Human, Rind (Kuh) WB, IHC, IF Wirt: Kaninchen Polyclonal unconjugated
Produktnummer ABIN7301456
330,77 €
Zzgl. Versandkosten 20,00 € und MwSt
100 μL (Weitere Mengeneinheiten)
Lieferung nach: Deutschland
Lieferung in 17 bis 20 Werktagen
 
ZNF148 Reaktivität: Zebrafisch (Danio rerio) WB Wirt: Kaninchen Polyclonal RB46462 unconjugated
Produktnummer ABIN6243343
434,77 €
Zzgl. Versandkosten 20,00 € und MwSt
400 μL (Weitere Mengeneinheiten)
Lieferung nach: Deutschland
Lieferung in 14 bis 17 Werktagen
 
ZNF148 Reaktivität: Human, Maus, Ratte WB, IHC, ELISA, IF Wirt: Kaninchen Polyclonal unconjugated
Produktnummer ABIN3187522
377,51 €
Zzgl. Versandkosten 20,00 € und MwSt
100 μL (Weitere Mengeneinheiten)
Lieferung nach: Deutschland
Lieferung in 8 bis 10 Werktagen
 
ZNF148 Reaktivität: Human WB, ELISA Wirt: Maus Polyclonal unconjugated
Produktnummer ABIN563448
508,80 €
Zzgl. Versandkosten 20,00 € und MwSt
50 μL
Lieferung nach: Deutschland
Lieferung in 8 bis 9 Werktagen
 
ZNF148 Reaktivität: Human WB, IHC, ELISA, IF Wirt: Kaninchen Polyclonal unconjugated
Produktnummer ABIN7189080
218,90 €
Zzgl. Versandkosten 20,00 € und MwSt
100 μg (Weitere Mengeneinheiten)
Lieferung nach: Deutschland
Lieferung in 11 bis 15 Werktagen
 
ZNF148 Reaktivität: Human, Maus, Ratte, Rind (Kuh), Pferd, Hund, Schwein, Kaninchen, Zebrafisch (Danio rerio), Fledermaus, Affe WB Wirt: Kaninchen Polyclonal unconjugated
Produktnummer ABIN6742498
789,41 €
Zzgl. Versandkosten 20,00 € und MwSt
100 μL
Lieferung nach: Deutschland
Lieferung in 15 bis 20 Werktagen
 
ZNF148 Reaktivität: Human, Maus, Ratte, Rind (Kuh), Pferd, Hund, Meerschweinchen, Schwein, Kaninchen, Fledermaus WB Wirt: Kaninchen Polyclonal unconjugated
Produktnummer ABIN6742483
789,41 €
Zzgl. Versandkosten 20,00 € und MwSt
100 μL
Lieferung nach: Deutschland
Lieferung in 15 bis 20 Werktagen
 
ZNF148 Reaktivität: Human, Maus, Ratte WB, IHC, ELISA Wirt: Kaninchen Polyclonal unconjugated
Produktnummer ABIN1534200
402,00 €
Zzgl. Versandkosten 20,00 € und MwSt
100 μL (Weitere Mengeneinheiten)
Lieferung nach: Deutschland
Lieferung in 6 bis 9 Werktagen
 
ZNF148 Reaktivität: Human, Maus, Ratte, Rind (Kuh), Pferd, Hund, Meerschweinchen, Kaninchen WB Wirt: Kaninchen Polyclonal unconjugated
Pubmed 1 reference
Produktnummer ABIN2775856
534,11 €
Zzgl. Versandkosten 20,00 € und MwSt
100 μL (Weitere Mengeneinheiten)
Lieferung nach: Deutschland
Lieferung in 6 bis 9 Werktagen
 
ZNF148 Reaktivität: Human, Maus, Ratte, Rind (Kuh), Pferd, Hund, Meerschweinchen, Schwein, Kaninchen, Zebrafisch (Danio rerio), Saccharomyces cerevisiae WB, IHC Wirt: Kaninchen Polyclonal unconjugated
Produktnummer ABIN2775906
534,11 €
Zzgl. Versandkosten 20,00 € und MwSt
100 μL (Weitere Mengeneinheiten)
Lieferung nach: Deutschland
Lieferung in 6 bis 9 Werktagen
 
ZNF148 Reaktivität: Human WB, ELISA, IHC (p), ICC, IF (cc), IF (p), IHC (fro) Wirt: Kaninchen Polyclonal unconjugated
Produktnummer ABIN1386746
357,70 €
Zzgl. Versandkosten 20,00 € und MwSt
100 μL
Lieferung nach: Deutschland
Lieferung in 8 bis 12 Werktagen
 
ZNF148 Reaktivität: Human, Maus, Ratte WB, ELISA, IF, IHC (p) Wirt: Kaninchen Polyclonal unconjugated
Produktnummer ABIN7217540
623,62 €
Zzgl. Versandkosten 20,00 € und MwSt
100 μL (Weitere Mengeneinheiten)
Lieferung nach: Deutschland
Lieferung in 10 bis 14 Werktagen
 
ZNF148 Reaktivität: Human, Rind (Kuh) WB, IHC, IF, IHC (p), ICC Wirt: Kaninchen Polyclonal unconjugated
Produktnummer ABIN2745387
571,18 €
Zzgl. Versandkosten 20,00 € und MwSt
100 μL
Lieferung nach: Deutschland
Lieferung in 15 bis 20 Werktagen
 
  • Typ Primary
    • Primary
  • Anwendung
    • Western Blotting (WB)
    • ELISA
    • Immunohistochemistry (IHC)
    • Immunofluorescence (IF)
    • Immunohistochemistry (Paraffin-embedded Sections) (IHC (p))
    • Immunocytochemistry (ICC)
    • Immunofluorescence (Cultured Cells) (IF (cc))
    • Immunofluorescence (Paraffin-embedded Sections) (IF (p))
    • Immunohistochemistry (Frozen Sections) (IHC (fro))
    • Immunoprecipitation (IP)
  • Reaktivität
    • Human
    • Mouse
    • Rat
    • Cow
    • Horse
    • Dog
    • Guinea Pig
    • Pig
    • Rabbit
    • Zebrafish (Danio rerio)
    • Bat
    • Monkey
    • Chicken
    • Saccharomyces cerevisiae
  • In Publikationen zitiert
  • Abbildungen verfügbar
  • Nur ohne Konservierungsmittel
  • Carrier free only
  • Wirt
    • Rabbit
    • Mouse
  • Klonalität
    • Polyclonal
  • Klon
    • RB40518
    • RB46462
  • Bindungsspezifität
    • N-Term
    • AA 106-135
    • AA 690-794
    • AA 744-794
    • Middle Region
    • AA 287-320
    • AA 287-336
    • AA 30-110
    • AA 303-380
    • AA 375-425
    • AA 61-110
    • AA 684-733
    • AA 695-794
    • Glu84
  • Konjugat
    • Unkonjugiert
    • Biotin
    • APC
    • Alexa Fluor 488
    • Alexa Fluor 555
    • Alexa Fluor 594
    • Alexa Fluor 647
    • Alexa Fluor 680
    • Alexa Fluor 750
    • FITC
    • HRP
    • PE
  • Isotyp
    • IgG
    • Ig Fraction
  • Format
    • Liquid
    • Lyophilized
  • Hersteller
    • antibodies-online
    • Signalway
    • Aviva Systems Biology
    • Assay Biotechnology Company, Inc.
    • Cohesion Biosciences
    • Rockland

Aktuelle Publikationen für unsere ZNF148 Antikörper

Hemida, Ye, Zhang, Hanson, Liu, McManus, Yang: "MicroRNA-203 enhances coxsackievirus B3 replication through targeting zinc finger protein-148." in: Cellular and molecular life sciences : CMLS, Vol. 70, Issue 2, pp. 277-91, (2013) (PubMed).

Sayin, Nilton, Ibrahim, Ågren, Larsson, Petit, Hultén, Ståhlman, Johansson, Bergo, Lindahl: "Zfp148 deficiency causes lung maturation defects and lethality in newborn mice that are rescued by deletion of p53 or antioxidant treatment." in: PLoS ONE, Vol. 8, Issue 2, pp. e55720, (2013) (PubMed).

Udelhoven, Pasieka, Leeser, Krone, Schubert: "Neuronal insulin receptor substrate 2 (IRS2) expression is regulated by ZBP89 and SP1 binding to the IRS2 promoter." in: The Journal of endocrinology, Vol. 204, Issue 2, pp. 199-208, (2010) (PubMed).

Chen, Chan, Bai, Fung, Tessier, To, Merchant, Lai: "ZBP-89 reduces the cell death threshold in hepatocellular carcinoma cells by increasing caspase-6 and S phase cell cycle arrest." in: Cancer letters, Vol. 283, Issue 1, pp. 52-8, (2009) (PubMed).

Feng, Wang, Xu, Pan, Zhu, Liang, Huang, Lu: "The transcription factor ZBP-89 suppresses p16 expression through a histone modification mechanism to affect cell senescence." in: The FEBS journal, Vol. 276, Issue 15, pp. 4197-206, (2009) (PubMed).

Borghaei, Gorski, Javadi: "NF-kappaB and ZBP-89 regulate MMP-3 expression via a polymorphic site in the promoter." in: Biochemical and biophysical research communications, Vol. 382, Issue 2, pp. 269-73, (2009) (PubMed).

Ohneda, Ohmori, Ishijima, Nakano, Yamamoto: "Characterization of a functional ZBP-89 binding site that mediates Gata1 gene expression during hematopoietic development." in: The Journal of biological chemistry, Vol. 284, Issue 44, pp. 30187-99, (2009) (PubMed).

Guyot, Murai, Fujiwara, Valverde-Garduno, Hammett, Wells, Dear, Orkin, Porcher, Vyas: "Characterization of a megakaryocyte-specific enhancer of the key hemopoietic transcription factor GATA1." in: The Journal of biological chemistry, Vol. 281, Issue 19, pp. 13733-42, (2006) (PubMed).

Hanna, Kruskal, Ezekowitz, Bloom, Collier: "Role of macrophage oxidative burst in the action of anthrax lethal toxin." in: Molecular medicine (Cambridge, Mass.), Vol. 1, Issue 1, pp. 7-18, (1996) (PubMed).

Aliase für ZNF148 Antikörper

zinc finger protein 148 (ZNF148) Antikörper
zinc finger protein 148 (Zfp148) Antikörper
zinc finger protein 148 (znf148) Antikörper
2210405J08Rik Antikörper
AI480666 Antikörper
AW045217 Antikörper
BERF-1 Antikörper
BFCOL1 Antikörper
fb06h05 Antikörper
HT-BETA Antikörper
pHZ-52 Antikörper
SLC12A8 Antikörper
wu:fb06h05 Antikörper
ZBP-89 Antikörper
Zbp-89 Antikörper
ZFP148 Antikörper
zfp149 Antikörper
zgc:165342 Antikörper
Znf148 Antikörper
Sie sind hier:
Chat with us!