Telefon:
+49 (0)241 95 163 153
Fax:
+49 (0)241 95 163 155
E-Mail:
orders@antikoerper-online.de

RPSA/Laminin Receptor Antikörper

(Ribosomal Protein SA (RPSA))

Wählen Sie einen von 91 RPSA/Laminin Receptor-Antikörpern aus unserem Produktangebot basierend auf 4 Publikationen und 42 Validierungsbilder.

Entdecken Sie zuverlässige RPSA/Laminin Receptor-Antikörper von einer großen Zahl namhafter Hersteller. Unser Portfolio ermöglicht eine präzise RPSA/Laminin Receptor-Detektion in verschiedenen Spezies, darunter Human, Mouse, Rat, Cow, Pig, Chicken, Sheep, Dog, Goat, Horse, Rabbit, Xenopus laevis, Guinea Pig, Zebrafish (Danio rerio), Hamster, Monkey, E. coli, und unterstützt vielfältige Forschungsanwendungen wie WB, IF, FACS, IHC, ELISA.

Finden Sie schnell den passenden Antikörper mit unseren Such-, Filter- und Vergleichsfunktionen. Auf jeder Produktseite stehen Ihnen detaillierte Validierungsdaten, Literaturreferenzen und Kundenbewertungen zur Verfügung. Im Gegensatz zu reinen Vergleichsportalen können Sie Ihre Antikörper direkt über unsere Plattform erwerben. Wählen Sie aus polyklonalen, monoklonalen oder rekombinanten RPSA/Laminin Receptor-Antikörpern aus verschiedenen Wirtsarten wie Rabbit, Mouse. Durchstöbern Sie unten unsere Auswahl an RPSA/Laminin Receptor-Antikörpern und bestellen Sie direkt, um Ihre Forschung effizient voranzubringen.

Alternative Bezeichnungen für RPSA/Laminin Receptor sind rssa, rpsa, RPSA, Rpsa, LOC100144340.

91 Treffer

RPSA Reaktivität: Human WB, IHC, IF, FACS, StM Wirt: Maus Monoclonal RPSA-2699 unconjugated
Produktnummer ABIN6939957
639,45 €
Zzgl. Versandkosten 20,00 € und MwSt
100 μg (Weitere Mengeneinheiten)
Lieferung nach: Deutschland
Lieferung in 6 bis 10 Werktagen
 
RPSA Reaktivität: Human WB, IHC (p) Wirt: Kaninchen Polyclonal unconjugated
Produktnummer ABIN2854873
583,17 €
Zzgl. Versandkosten 20,00 € und MwSt
100 μL
Lieferung nach: Deutschland
Lieferung in 7 bis 10 Werktagen
 
RPSA Reaktivität: Human WB, IF Wirt: Kaninchen Polyclonal unconjugated
Produktnummer ABIN6147247
320,00 €
Zzgl. Versandkosten 20,00 € und MwSt
100 μL (Weitere Mengeneinheiten)
Lieferung nach: Deutschland
Lieferung in 7 bis 9 Werktagen
 
RPSA Reaktivität: Human, Maus, Ratte WB, ELISA, FACS, IHC (p), IHC (fro), IF (cc), IF (p) Wirt: Kaninchen Polyclonal unconjugated
Pubmed 1 reference
Produktnummer ABIN729583
357,70 €
Zzgl. Versandkosten 20,00 € und MwSt
100 μL
Lieferung nach: Deutschland
Lieferung in 8 bis 12 Werktagen
 
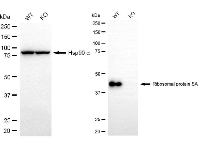
KO Validated RPSA Reaktivität: Human WB, FACS Wirt: Kaninchen Monoclonal 25GB2950 unconjugated Recombinant Antibody
Produktnummer ABIN7800237
598,92 €
Zzgl. Versandkosten 20,00 € und MwSt
100 μL
Lieferung nach: Deutschland
Lieferung in 7 bis 10 Werktagen
 
RPSA Reaktivität: Human WB, IHC, IF, FACS, ICC, IHC (fro) Wirt: Kaninchen Polyclonal unconjugated
Produktnummer ABIN4886715
500,50 €
Zzgl. Versandkosten 20,00 € und MwSt
100 μg
Lieferung nach: Deutschland
Lieferung in 8 bis 12 Werktagen
 
RPSA Reaktivität: Human WB, ELISA Wirt: Maus Monoclonal 8G4 unconjugated
Produktnummer ABIN517443
651,20 €
Zzgl. Versandkosten 20,00 € und MwSt
200 μL
Lieferung nach: Deutschland
Lieferung in 8 bis 9 Werktagen
 
RPSA Reaktivität: Human, Maus, Ratte, Schwein, Rind (Kuh), Schaf, Huhn, Kaninchen, Pferd, Ziege, Hund, Zebrafisch (Danio rerio), Meerschweinchen, Xenopus laevis, Hamster, Affe WB, IHC, IHC (p) Wirt: Kaninchen Polyclonal unconjugated
Produktnummer ABIN6748621
512,07 €
Zzgl. Versandkosten 20,00 € und MwSt
100 μL
Lieferung nach: Deutschland
Lieferung in 15 bis 20 Werktagen
 
RPSA Reaktivität: Human, Maus, Ratte, Schwein, Rind (Kuh), Schaf, Huhn, Kaninchen, Pferd, Ziege, Hund, Meerschweinchen, Xenopus laevis, Hamster, Affe WB Wirt: Kaninchen Polyclonal unconjugated
Pubmed 2 Referenzen
Produktnummer ABIN6746388
789,41 €
Zzgl. Versandkosten 20,00 € und MwSt
100 μL
Lieferung nach: Deutschland
Lieferung in 15 bis 20 Werktagen
 
RPSA Reaktivität: Human, Maus, Rind (Kuh), Huhn, Xenopus laevis WB, ELISA, IHC (p), IP, ICC, ICFC Wirt: Maus Monoclonal RP-01 unconjugated
Produktnummer ABIN7013900
356,73 €
Zzgl. Versandkosten 20,00 € und MwSt
100 μg
Lieferung nach: Deutschland
Lieferung in 2 bis 4 Werktagen
 
RPSA Reaktivität: Human, Ratte WB, IHC (p), IF (p) Wirt: Maus Monoclonal 5D4 unconjugated
Pubmed 1 reference
Produktnummer ABIN1713335
439,25 €
Zzgl. Versandkosten 20,00 € und MwSt
100 μL
Lieferung nach: Deutschland
Lieferung in 8 bis 12 Werktagen
 
RPSA Reaktivität: Human, Maus WB Wirt: Kaninchen Polyclonal unconjugated
Produktnummer ABIN928738
1.218,13 €
Zzgl. Versandkosten 20,00 € und MwSt
100 μL
Lieferung nach: Deutschland
Lieferung in 20 bis 27 Werktagen
 
RPSA Reaktivität: Human WB, ELISA Wirt: Kaninchen Polyclonal unconjugated
Produktnummer ABIN7142583
328,90 €
Zzgl. Versandkosten 20,00 € und MwSt
100 μg (Weitere Mengeneinheiten)
Lieferung nach: Deutschland
Lieferung in 11 bis 15 Werktagen
 
RPSA Reaktivität: Human WB, ELISA Wirt: Maus Monoclonal unconjugated
Produktnummer ABIN791537
825,22 €
Zzgl. Versandkosten 20,00 € und MwSt
100 μL
Lieferung nach: Deutschland
Lieferung in 15 bis 20 Werktagen
 
RPSA Reaktivität: Human, Maus, Ratte, Schwein, Rind (Kuh), Schaf, Huhn WB, IHC Wirt: Kaninchen Polyclonal unconjugated
Produktnummer ABIN7304434
330,77 €
Zzgl. Versandkosten 20,00 € und MwSt
100 μL (Weitere Mengeneinheiten)
Lieferung nach: Deutschland
Lieferung in 17 bis 20 Werktagen
 
RPSA Reaktivität: Human, Maus, Ratte, Rind (Kuh), Schaf, Kaninchen, Pferd, Ziege, Hund, Zebrafisch (Danio rerio), Meerschweinchen WB, IHC Wirt: Kaninchen Polyclonal unconjugated
Produktnummer ABIN2785828
534,11 €
Zzgl. Versandkosten 20,00 € und MwSt
100 μL (Weitere Mengeneinheiten)
Lieferung nach: Deutschland
Lieferung in 6 bis 9 Werktagen
 
RPSA Reaktivität: Human, Maus, Ratte WB, IHC, FACS, IHC (p), IF (cc) Wirt: Kaninchen Monoclonal 8C5 unconjugated
Produktnummer ABIN6942021
456,42 €
Zzgl. Versandkosten 20,00 € und MwSt
100 μL
Lieferung nach: Deutschland
Lieferung in 12 bis 17 Werktagen
 
RPSA Reaktivität: Human WB, IF, IHC (p), ICC Wirt: Kaninchen Monoclonal 6HD2 unconjugated
Produktnummer ABIN7091650
456,42 €
Zzgl. Versandkosten 20,00 € und MwSt
100 μL
Lieferung nach: Deutschland
Lieferung in 12 bis 17 Werktagen
 
RPSA Reaktivität: Schwein WB, IHC, IP, ICC Wirt: Kaninchen Polyclonal unconjugated
Produktnummer ABIN7645591
374,52 €
Zzgl. Versandkosten 20,00 € und MwSt
100 μL (Weitere Mengeneinheiten)
Lieferung nach: Deutschland
Lieferung in 11 bis 15 Werktagen
 
RPSA Reaktivität: Human WB, ELISA, IHC Wirt: Kaninchen Polyclonal unconjugated
Produktnummer ABIN7571201
527,38 €
Zzgl. Versandkosten 20,00 € und MwSt
100 μg
Lieferung nach: Deutschland
Lieferung in 10 bis 13 Werktagen
 
  • Typ Primary
    • Primary
  • Anwendung
    • Western Blotting (WB)
    • Immunofluorescence (IF)
    • Flow Cytometry (FACS)
    • Immunohistochemistry (IHC)
    • ELISA
    • Immunoprecipitation (IP)
    • Immunocytochemistry (ICC)
    • Immunohistochemistry (Paraffin-embedded Sections) (IHC (p))
    • Immunohistochemistry (Formalin-fixed Sections) (IHC (f))
    • Immunohistochemistry (Frozen Sections) (IHC (fro))
    • Immunofluorescence (Cultured Cells) (IF (cc))
    • Immunofluorescence (Paraffin-embedded Sections) (IF (p))
    • Intracellular Flow Cytometry (ICFC)
    • Enzyme Immunoassay (EIA)
    • Functional Studies (Func)
    • Staining Methods (StM)
  • Reaktivität
    • Human
    • Mouse
    • Rat
    • Cow
    • Pig
    • Chicken
    • Sheep
    • Dog
    • Goat
    • Horse
    • Rabbit
    • Xenopus laevis
    • Guinea Pig
    • Zebrafish (Danio rerio)
    • Hamster
    • Monkey
    • E. coli
  • In Publikationen zitiert
  • Abbildungen verfügbar
  • Nur ohne Konservierungsmittel
  • Carrier free only
  • Wirt
    • Rabbit
    • Mouse
  • Klonalität
    • Polyclonal
    • Monoclonal
  • Klon
    • RPSA-2699
    • RP-01
    • 25GB2950
    • 5D4
    • 6HD2
    • 8C5
    • 8G4
    • A285
    • AOAO-18
    • LMNR-1
    • R01-1D4
  • Bindungsspezifität
    • AA 2-294
    • N-Term
    • AA 1-295
    • AA 166-215
    • AA 190-240
    • AA 196-295
    • C-Term
    • AA 1-186
    • AA 1-50
    • AA 101-200
    • AA 107-156
    • AA 2-138
    • AA 245-295
    • Center
    • Gln215
    • Internal Region
    • Middle Region
  • Konjugat
    • Unkonjugiert
    • Biotin
    • Alexa Fluor 488
    • Alexa Fluor 555
    • Alexa Fluor 594
    • Alexa Fluor 647
    • Alexa Fluor 680
    • Alexa Fluor 750
    • FITC
    • HRP
    • Alexa Fluor 350
    • Alexa Fluor 405
    • CF®405S
    • CF®488A
    • CF®568
    • CF®594
    • CF®640R
    • CF®647
    • CF®740
  • Isotyp
    • IgG
    • IgG1
    • kappa
    • IgG2a
    • IgG1 kappa
    • IgM
    • IgM kappa
  • Protein-Typ
    • Recombinant Antibody
  • Format
    • Liquid
    • Lyophilized
  • Grade
    • KO Validated
  • Hersteller
    • antibodies-online
    • Signalway
    • Biotium
    • Aviva Systems Biology
    • Boster Bio
    • Cohesion Biosciences
    • Abbexa
    • Acris
    • Agrisera
    • Assay Biotechnology Company, Inc.
    • Biomatik
    • CUSABIO
    • Enogene Biotech
    • NSJ Bioreagents
    • ProSci
    • ProteoGenix

Aktuelle Publikationen für unsere RPSA/Laminin Receptor Antikörper

Umbaugh, Diaz-Quiñones, Neto, Shearer, Figueiredo: "A dock derived compound against laminin receptor (37 LR) exhibits anti-cancer properties in a prostate cancer cell line model." in: Oncotarget, Vol. 9, Issue 5, pp. 5958-5978, (2018) (PubMed).

Wang, Yu, Guan, Liu, Qiao: "67-kDa Laminin receptor contributes to hypoxia-induced migration and invasion of trophoblast-like cells by mediating matrix metalloproteinase-9." in: Clinical and experimental pharmacology & physiology, Vol. 42, Issue 5, pp. 549-58, (2015) (PubMed).

Santamarina, Oliveira, Silva, Carnier, Mennitti, Santana, de Souza, Ribeiro, Oller do Nascimento, Lira, Oyama: "Green Tea Extract Rich in Epigallocatechin-3-Gallate Prevents Fatty Liver by AMPK Activation via LKB1 in Mice Fed a High-Fat Diet." in: PLoS ONE, Vol. 10, Issue 11, pp. e0141227, (2015) (PubMed).

Song, Choi, Cho, Sung, Song, Kim, Bae, Lee, Kim: "Expression of 67-kDa laminin receptor was associated with tumor progression and poor prognosis in epithelial ovarian cancer." in: Gynecologic oncology, Vol. 125, Issue 2, pp. 427-32, (2012) (PubMed).

Saitoh, Pizzi, Wang: "Perturbation of SUMOlation enzyme Ubc9 by distinct domain within nucleoporin RanBP2/Nup358." in: The Journal of biological chemistry, Vol. 277, Issue 7, pp. 4755-63, (2002) (PubMed).

Starborg, Gell, Brundell, Höög: "The murine Ki-67 cell proliferation antigen accumulates in the nucleolar and heterochromatic regions of interphase cells and at the periphery of the mitotic chromosomes in a process essential for cell cycle progression." in: Journal of cell science, Vol. 109 ( Pt 1), Issue 12, pp. 143-53, (1996) (PubMed).

Aliase für RPSA/Laminin Receptor Antikörper

40S ribosomal protein SA (rssa) Antikörper
67kD laminin receptor (rpsa) Antikörper
ribosomal protein SA (RPSA) Antikörper
ribosomal protein SA (Rpsa) Antikörper
ribosomal protein SA (rpsa) Antikörper
40S ribosomal protein SA (LOC100144340) Antikörper
37LRP Antikörper
67kDa Antikörper
67LR Antikörper
67lr Antikörper
AL022858 Antikörper
DMRT1 Antikörper
LAMBR Antikörper
LamR Antikörper
lamR Antikörper
Lamr Antikörper
LamR1 Antikörper
LAMR1 Antikörper
Lamr1 Antikörper
lamr1 Antikörper
Lamrl1 Antikörper
LBP Antikörper
LBP/p40 Antikörper
LRP Antikörper
LRP/LR Antikörper
MLR Antikörper
NEM/1CHD4 Antikörper
p40 Antikörper
P40 Antikörper
P40-3 Antikörper
P40-8 Antikörper
rpsa Antikörper
RPSA Antikörper
SA Antikörper
zgc:55831 Antikörper
zgc:77824 Antikörper
Sie sind hier:
Chat with us!