Telefon:
+49 (0)241 95 163 153
Fax:
+49 (0)241 95 163 155
E-Mail:
orders@antikoerper-online.de

PSME4 Antikörper

(Proteasome (Prosome, Macropain) Activator Subunit 4 (PSME4))

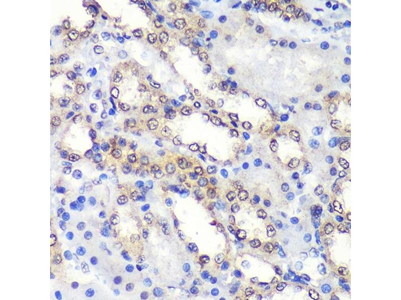
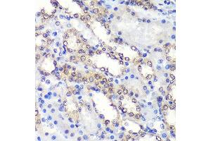
Wählen Sie einen von 12 PSME4-Antikörpern aus unserem Produktangebot basierend auf 8 Validierungsbilder.

Entdecken Sie zuverlässige PSME4-Antikörper von einer großen Zahl namhafter Hersteller. Unser Portfolio ermöglicht eine präzise PSME4-Detektion in verschiedenen Spezies, darunter Human, Mouse, Rat, Arabidopsis thaliana, und unterstützt vielfältige Forschungsanwendungen wie WB, ELISA, IHC, IF, IP.

Finden Sie schnell den passenden Antikörper mit unseren Such-, Filter- und Vergleichsfunktionen. Auf jeder Produktseite stehen Ihnen detaillierte Validierungsdaten, Literaturreferenzen und Kundenbewertungen zur Verfügung. Im Gegensatz zu reinen Vergleichsportalen können Sie Ihre Antikörper direkt über unsere Plattform erwerben. Wählen Sie aus polyklonalen, monoklonalen oder rekombinanten PSME4-Antikörpern aus verschiedenen Wirtsarten wie Rabbit. Durchstöbern Sie unten unsere Auswahl an PSME4-Antikörpern und bestellen Sie direkt, um Ihre Forschung effizient voranzubringen.

Alternative Bezeichnungen für PSME4 sind PSME4, Psme4, PA200, AFUA_4G11290, ANI_1_888184, AOR_1_1944154, TERG_07227, psme4.

12 Treffer

PSME4 Reaktivität: Human WB, IHC Wirt: Kaninchen Polyclonal unconjugated
Produktnummer ABIN6146359
320,00 €
Zzgl. Versandkosten 20,00 € und MwSt
100 μL (Weitere Mengeneinheiten)
Lieferung nach: Deutschland
Lieferung in 7 bis 9 Werktagen
 
PSME4 Reaktivität: Human WB, ELISA, IHC Wirt: Kaninchen Polyclonal unconjugated
Produktnummer ABIN7164923
328,90 €
Zzgl. Versandkosten 20,00 € und MwSt
100 μg (Weitere Mengeneinheiten)
Lieferung nach: Deutschland
Lieferung in 11 bis 15 Werktagen
 
PSME4 Reaktivität: Human WB Wirt: Kaninchen Polyclonal RB55279 unconjugated
Produktnummer ABIN6242866
434,77 €
Zzgl. Versandkosten 20,00 € und MwSt
200 μL (Weitere Mengeneinheiten)
Lieferung nach: Deutschland
Lieferung in 14 bis 17 Werktagen
 
PSME4 Reaktivität: Human ELISA Wirt: Kaninchen Polyclonal HRP
Produktnummer ABIN7164926
328,90 €
Zzgl. Versandkosten 20,00 € und MwSt
100 μg (Weitere Mengeneinheiten)
Lieferung nach: Deutschland
Lieferung in 11 bis 15 Werktagen
 
PSME4 Reaktivität: Human Wirt: Kaninchen Polyclonal FITC
Produktnummer ABIN7164925
328,90 €
Zzgl. Versandkosten 20,00 € und MwSt
100 μg (Weitere Mengeneinheiten)
Lieferung nach: Deutschland
Lieferung in 11 bis 15 Werktagen
 
PSME4 Reaktivität: Human ELISA Wirt: Kaninchen Polyclonal Biotin
Produktnummer ABIN7164924
328,90 €
Zzgl. Versandkosten 20,00 € und MwSt
100 μg (Weitere Mengeneinheiten)
Lieferung nach: Deutschland
Lieferung in 11 bis 15 Werktagen
 
PSME4 Reaktivität: Human WB, IP, IHC (fp) Wirt: Kaninchen Polyclonal unconjugated
Produktnummer ABIN7454980
576,62 €
Zzgl. Versandkosten 20,00 € und MwSt
100 μg (Weitere Mengeneinheiten)
Lieferung nach: Deutschland
Lieferung in 7 bis 10 Werktagen
 
PSME4 Reaktivität: Human, Maus, Ratte WB, ELISA, IHC Wirt: Kaninchen Polyclonal unconjugated
Produktnummer ABIN7094886
525,71 €
Zzgl. Versandkosten 20,00 € und MwSt
100 μL (Weitere Mengeneinheiten)
Lieferung nach: Deutschland
Lieferung in 9 bis 11 Werktagen
 
PSME4 Reaktivität: Human, Maus, Ratte WB, ELISA, IHC, IP, IF Wirt: Kaninchen Polyclonal unconjugated
Produktnummer ABIN7117899
375,38 €
Zzgl. Versandkosten 20,00 € und MwSt
100 μg
Lieferung nach: Deutschland
Lieferung in 11 bis 15 Werktagen
 
PSME4 Reaktivität: Arabidopsis thaliana WB Wirt: Kaninchen Polyclonal unconjugated
Produktnummer ABIN7833480
435,69 €
Zzgl. Versandkosten 20,00 € und MwSt
50 μL
Lieferung nach: Deutschland
Lieferung in 3 bis 5 Werktagen
 
PSME4 Reaktivität: Human, Maus, Ratte WB, ELISA, IF, FACS, ICC Wirt: Kaninchen Polyclonal unconjugated
Produktnummer ABIN7825737
500,50 €
Zzgl. Versandkosten 20,00 € und MwSt
100 μg
Lieferung nach: Deutschland
Lieferung in 8 bis 12 Werktagen
 
PSME4 Reaktivität: Human, Maus, Ratte WB, IHC Wirt: Kaninchen Polyclonal unconjugated
Produktnummer ABIN7843314
480,77 €
Zzgl. Versandkosten 20,00 € und MwSt
200 μL
Lieferung nach: Deutschland
Lieferung in 8 bis 10 Werktagen
 
  • Typ Primary
    • Primary
  • Anwendung
    • Western Blotting (WB)
    • ELISA
    • Immunohistochemistry (IHC)
    • Immunofluorescence (IF)
    • Immunoprecipitation (IP)
    • Flow Cytometry (FACS)
    • Immunocytochemistry (ICC)
    • Immunohistochemistry (Formalin-fixed Paraffin-embedded Sections) (IHC (fp))
  • Reaktivität
    • Human
    • Mouse
    • Rat
    • Arabidopsis thaliana
  • Abbildungen verfügbar
  • Carrier free only
  • Wirt
    • Rabbit
  • Klonalität
    • Polyclonal
  • Klon
    • RB55279
  • Bindungsspezifität
    • AA 105-198
    • AA 1-50
    • AA 1634-1843
    • AA 391-657
    • AA 503-535
    • AA 840-1140
    • C-Term
  • Konjugat
    • Unkonjugiert
    • Biotin
    • FITC
    • HRP
  • Isotyp
    • IgG
    • Ig Fraction
  • Format
    • Liquid
    • Lyophilized
  • Hersteller
    • antibodies-online
    • Agrisera
    • Boster Bio
    • Cohesion Biosciences

Aktuelle Publikationen für unsere PSME4 Antikörper

de Jesus, Brehm, VanTries, Pillet, Parentelli, Montealegre Sanchez, Deng, Paut, Goldbach-Mansky, Krüger: "Novel proteasome assembly chaperone mutations in PSMG2/PAC2 cause the autoinflammatory interferonopathy CANDLE/PRAAS4." in: The Journal of allergy and clinical immunology, (2019) (PubMed).

Fu, Liu, Zhang, Jiang, Liu, Luo: "Bortezomib-inducible long non-coding RNA myocardial infarction associated transcript is an oncogene in multiple myeloma that suppresses miR-29b." in: Cell death & disease, Vol. 10, Issue 4, pp. 319, (2019) (PubMed).

Welk, Coux, Kleene, Abeza, Trümbach, Eickelberg, Meiners: "Inhibition of Proteasome Activity Induces Formation of Alternative Proteasome Complexes." in: The Journal of biological chemistry, Vol. 291, Issue 25, pp. 13147-59, (2016) (PubMed).

Aliase für PSME4 Antikörper

proteasome activator subunit 4 (PSME4) Antikörper
proteasome activator subunit 4 (Psme4) Antikörper
proteasome activating protein 200 (PA200) Antikörper
proteasome activator subunit 4 (AFUA_4G11290) Antikörper
proteasome activator subunit 4 (ANI_1_888184) Antikörper
proteasome activator subunit 4 (AOR_1_1944154) Antikörper
proteasome activator subunit 4 (TERG_07227) Antikörper
proteasome activator subunit 4 (psme4) Antikörper
proteasome (prosome, macropain) activator subunit 4 (Psme4) Antikörper
AA409398 Antikörper
Afu4g11290 Antikörper
An04g05320 Antikörper
AO090003001091 Antikörper
AU041366 Antikörper
mKIAA0077 Antikörper
PA200 Antikörper
proteasome activating protein 200 Antikörper
TEMO Antikörper
Sie sind hier:
Chat with us!