Telefon:
+49 (0)241 95 163 153
Fax:
+49 (0)241 95 163 155
E-Mail:
orders@antikoerper-online.de

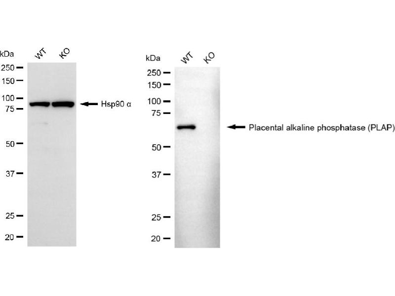
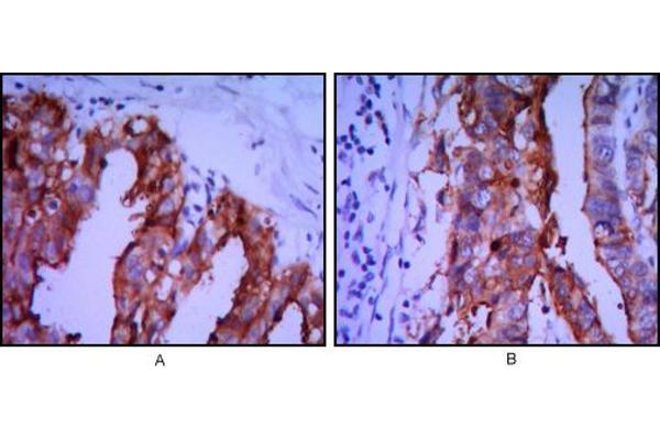
PLAP Antikörper

(Placental Alkaline Phosphatase (ALPP))

Wählen Sie einen von 183 PLAP-Antikörpern aus unserem Produktangebot basierend auf 3 Publikationen und 90 Validierungsbilder.

Entdecken Sie zuverlässige PLAP-Antikörper von einer großen Zahl namhafter Hersteller. Unser Portfolio ermöglicht eine präzise PLAP-Detektion in verschiedenen Spezies, darunter Human, Mouse, Rat, Cow, Dog, Rabbit, Guinea Pig, Horse, Tag, Zebrafish (Danio rerio), und unterstützt vielfältige Forschungsanwendungen wie WB, IHC, ELISA, FACS, IF.

Finden Sie schnell den passenden Antikörper mit unseren Such-, Filter- und Vergleichsfunktionen. Auf jeder Produktseite stehen Ihnen detaillierte Validierungsdaten, Literaturreferenzen und Kundenbewertungen zur Verfügung. Im Gegensatz zu reinen Vergleichsportalen können Sie Ihre Antikörper direkt über unsere Plattform erwerben. Wählen Sie aus polyklonalen, monoklonalen oder rekombinanten PLAP-Antikörpern aus verschiedenen Wirtsarten wie Rabbit, Mouse, Human. Durchstöbern Sie unten unsere Auswahl an PLAP-Antikörpern und bestellen Sie direkt, um Ihre Forschung effizient voranzubringen.

Alternative Bezeichnungen für PLAP sind phoA, ALPP, LOC100436725, CCL27, alpl, alp, ALPI, Pdlim3, Alpp.

183 Treffer

ALPP Reaktivität: Human WB, IHC, IF, ICC Wirt: Kaninchen Polyclonal unconjugated
Produktnummer ABIN7432097
287,72 €
Zzgl. Versandkosten 20,00 € und MwSt
100 μL (Weitere Mengeneinheiten)
Lieferung nach: Deutschland
Lieferung in 11 bis 15 Werktagen
 
ALPP Reaktivität: Human WB, IHC, IF, FACS, ICC Wirt: Kaninchen Polyclonal unconjugated
Produktnummer ABIN4886453
500,50 €
Zzgl. Versandkosten 20,00 € und MwSt
100 μg
Lieferung nach: Deutschland
Lieferung in 8 bis 12 Werktagen
 
ALPP Reaktivität: Human WB, IHC, ELISA Wirt: Kaninchen Polyclonal unconjugated
Produktnummer ABIN7236309
449,00 €
Zzgl. Versandkosten 20,00 € und MwSt
200 μL (Weitere Mengeneinheiten)
Lieferung nach: Deutschland
Lieferung in 9 bis 13 Werktagen
 
ALPP Reaktivität: Human IHC, ISt Wirt: Maus Monoclonal ALP-870 unconjugated
Produktnummer ABIN6939451
639,45 €
Zzgl. Versandkosten 20,00 € und MwSt
100 μg (Weitere Mengeneinheiten)
Lieferung nach: Deutschland
Lieferung in 6 bis 10 Werktagen
 
ALPP Reaktivität: Human IHC, ISt Wirt: Maus Monoclonal GM022 unconjugated
Produktnummer ABIN6939455
639,45 €
Zzgl. Versandkosten 20,00 € und MwSt
100 μg (Weitere Mengeneinheiten)
Lieferung nach: Deutschland
Lieferung in 6 bis 10 Werktagen
 
ALPP Reaktivität: Human IHC, ISt Wirt: Kaninchen Monoclonal ALPP-2899R unconjugated Recombinant Antibody
Produktnummer ABIN6939457
639,45 €
Zzgl. Versandkosten 20,00 € und MwSt
100 μg (Weitere Mengeneinheiten)
Lieferung nach: Deutschland
Lieferung in 6 bis 10 Werktagen
 
ALPP Reaktivität: Human IHC Wirt: Kaninchen Monoclonal 350R unconjugated Recombinant Antibody
Produktnummer ABIN7470662
348,46 €
Zzgl. Versandkosten 20,00 € und MwSt
100 μL (Weitere Mengeneinheiten)
Lieferung nach: Deutschland
Lieferung in 2 bis 4 Werktagen
 
ALPP Reaktivität: Human WB, IHC, ELISA Wirt: Maus Monoclonal 3E5 unconjugated
Pubmed 1 reference
Produktnummer ABIN968956
455,40 €
Zzgl. Versandkosten 20,00 € und MwSt
100 μL
Lieferung nach: Deutschland
Lieferung in 7 bis 10 Werktagen
 
KD Validated ALPP Reaktivität: Human WB, FACS Wirt: Kaninchen Monoclonal 24GB5430 unconjugated Recombinant Antibody
Produktnummer ABIN7799843
598,92 €
Zzgl. Versandkosten 20,00 € und MwSt
100 μL
Lieferung nach: Deutschland
Lieferung in 7 bis 10 Werktagen
 
ALPP Reaktivität: Human, Maus WB, ELISA Wirt: Kaninchen Polyclonal unconjugated
Produktnummer ABIN3187883
377,51 €
Zzgl. Versandkosten 20,00 € und MwSt
100 μL (Weitere Mengeneinheiten)
Lieferung nach: Deutschland
Lieferung in 8 bis 10 Werktagen
 
KO Validated ALPP Reaktivität: Human WB, FACS Wirt: Kaninchen Monoclonal 25GB4200 unconjugated Recombinant Antibody
Produktnummer ABIN7799844
598,92 €
Zzgl. Versandkosten 20,00 € und MwSt
100 μL
Lieferung nach: Deutschland
Lieferung in 7 bis 10 Werktagen
 
ALPP Reaktivität: Human WB, IHC, IF, FACS, ICC Wirt: Maus Monoclonal 6C7G3 unconjugated
Produktnummer ABIN7602772
500,50 €
Zzgl. Versandkosten 20,00 € und MwSt
100 μg
Lieferung nach: Deutschland
Lieferung in 8 bis 12 Werktagen
 
ALPP Reaktivität: Human WB, ELISA, IHC (fro), ICC, IHC (p) Wirt: Kaninchen Polyclonal unconjugated
Produktnummer ABIN7437767
287,72 €
Zzgl. Versandkosten 20,00 € und MwSt
100 μL (Weitere Mengeneinheiten)
Lieferung nach: Deutschland
Lieferung in 11 bis 15 Werktagen
 
ALPP Reaktivität: Human WB, IHC Wirt: Kaninchen Polyclonal unconjugated
Produktnummer ABIN7438202
287,72 €
Zzgl. Versandkosten 20,00 € und MwSt
100 μL (Weitere Mengeneinheiten)
Lieferung nach: Deutschland
Lieferung in 11 bis 15 Werktagen
 
ALPP Reaktivität: Human WB, IP Wirt: Kaninchen Polyclonal unconjugated
Produktnummer ABIN513278
636,80 €
Zzgl. Versandkosten 20,00 € und MwSt
100 μL
Lieferung nach: Deutschland
Lieferung in 8 bis 9 Werktagen
 
ALPP Reaktivität: Human, Ratte WB, IHC, IF Wirt: Kaninchen Polyclonal unconjugated
Produktnummer ABIN7075090
592,31 €
Zzgl. Versandkosten 20,00 € und MwSt
100 μL
Lieferung nach: Deutschland
Lieferung in 13 bis 20 Werktagen
 
ALPP Reaktivität: Human WB, IHC (p) Wirt: Kaninchen Polyclonal RB33849 unconjugated
Produktnummer ABIN657476
434,77 €
Zzgl. Versandkosten 20,00 € und MwSt
400 μL (Weitere Mengeneinheiten)
Lieferung nach: Deutschland
Lieferung in 14 bis 17 Werktagen
 
ALPP Reaktivität: Human WB, IHC, ELISA, IP Wirt: Kaninchen Polyclonal unconjugated
Produktnummer ABIN7143709
328,90 €
Zzgl. Versandkosten 20,00 € und MwSt
100 μL (Weitere Mengeneinheiten)
Lieferung nach: Deutschland
Lieferung in 11 bis 15 Werktagen
 
ALPP Reaktivität: Human IHC, IF, FACS, IHC (fro), ISt Wirt: Maus Monoclonal PL8-F6 unconjugated
Produktnummer ABIN6939456
639,45 €
Zzgl. Versandkosten 20,00 € und MwSt
100 μg (Weitere Mengeneinheiten)
Lieferung nach: Deutschland
Lieferung in 6 bis 10 Werktagen
 
ALPP Reaktivität: Human WB, ELISA, IHC (fro), IHC (p) Wirt: Maus Monoclonal H7E8 unconjugated
Pubmed 1 reference
Produktnummer ABIN94454
247,43 €
Zzgl. Versandkosten 20,00 € und MwSt
100 μg
Lieferung nach: Deutschland
Lieferung in 2 bis 4 Werktagen
 
  • Typ Primary
    • Primary
  • Anwendung
    • Western Blotting (WB)
    • Immunohistochemistry (IHC)
    • ELISA
    • Flow Cytometry (FACS)
    • Immunofluorescence (IF)
    • Immunocytochemistry (ICC)
    • Immunohistochemistry (Frozen Sections) (IHC (fro))
    • Immunostaining (ISt)
    • Immunohistochemistry (Formalin-fixed Sections) (IHC (f))
    • Immunoprecipitation (IP)
    • Immunohistochemistry (Paraffin-embedded Sections) (IHC (p))
    • Enzyme Immunoassay (EIA)
    • Coating (Coat)
    • Functional Studies (Func)
    • Immunochromatography (IC)
    • Immunofluorescence (Cultured Cells) (IF (cc))
    • Immunofluorescence (Paraffin-embedded Sections) (IF (p))
    • Immunohistochemistry (Formalin-fixed Paraffin-embedded Sections) (IHC (fp))
    • Surface Plasmon Resonance (SPR)
    • Bio-Layer Interferometry (BLI)
  • Reaktivität
    • Human
    • Mouse
    • Rat
    • Cow
    • Dog
    • Rabbit
    • Guinea Pig
    • Horse
    • Tag
    • Zebrafish (Danio rerio)
  • In Publikationen zitiert
  • Abbildungen verfügbar
  • Nur ohne Konservierungsmittel
  • Carrier free only
  • Wirt
    • Rabbit
    • Mouse
    • Human
    • Sheep
  • Klonalität
    • Monoclonal
    • Polyclonal
    • Chimeric
  • Klon
    • ALPP-238
    • 421CT8-1-1
    • ALPP-870
    • 17E2#
    • ALPP-516
    • ALP-870
    • GM022
    • ALPP-2899R
    • DMC686
    • H17E2
    • H7E8
    • PL8-F6
    • RM317
    • 12F3
    • 13k98
    • 17A93
    • 1D4B
    • 24GB5430
    • 25GB2720
    • 25GB4200
    • 350R
    • 3E5
    • 4C5-E9-H5
    • 5B9
    • 5B95B9
    • 6C7G3
    • 7B2
    • ABS0868
    • C2
    • KSUP-2R
    • M80572
    • P16-D
    • PT0484R
    • RB33849
    • SGN-ALPV
    • V17-1
    • rALP-870
  • Bindungsspezifität
    • N-Term
    • AA 41-140
    • AA 56-83
    • AA 282-309
    • AA 1-535
    • C-Term
    • Internal Region
    • AA 18-335
    • AA 23-506
    • AA 281-309
    • AA 531-580
    • AA 534-792
    • Center
    • AA 1-50
    • AA 162-312
    • AA 163-357
    • AA 20-143
    • AA 225-506
    • AA 238-250
    • AA 260-520
    • AA 367-468
    • AA 403-433
    • AA 411-460
    • AA 55-83
    • AA 68-313
    • full length
  • Konjugat
    • Unkonjugiert
    • Biotin
    • FITC
    • HRP
    • PE
    • APC
    • Alexa Fluor 488
    • Alexa Fluor 555
    • Alexa Fluor 594
    • Alexa Fluor 647
    • Alexa Fluor 680
    • Alexa Fluor 750
    • Alexa Fluor 350
    • Alexa Fluor 405
    • CF®405S
    • CF®488A
    • CF®568
    • CF®594
    • CF®640R
    • CF®647
    • CF®740
    • AbBy Fluor® 350
    • AbBy Fluor® 488
    • AbBy Fluor® 555
    • AbBy Fluor® 594
    • AbBy Fluor® 647
    • AbBy Fluor® 680
    • AbBy Fluor® 750
    • Alkaline Phosphatase (AP)
    • CF®660R
    • Cy3
    • Cy5
    • Cy5.5
    • Cy7
    • PerCP
  • Isotyp
    • IgG
    • IgG1
    • IgG2b kappa
    • IgG2a
    • IgG2a kappa
    • kappa
    • IgG2b
    • Ig Fraction
    • IgG1 kappa
    • IgG kappa
  • Protein-Typ
    • Recombinant Antibody
  • Format
    • Liquid
    • Lyophilized
  • Fragment
    • Fc fragment
  • Grade
    • KD Validated
    • KO Validated
  • Hersteller
    • antibodies-online
    • Signalway
    • Biotium
    • ProteoGenix
    • USBio
    • NSJ Bioreagents
    • Biomatik
    • Cohesion Biosciences
    • Acris
    • Boster Bio
    • Cloud-Clone
    • RayBiotech
    • Abbexa
    • Angio-Proteomie
    • Assay Biotechnology Company, Inc.
    • Aviva Systems Biology
    • Enogene Biotech
    • ProSci
    • RevMAb Biosciences

Aktuelle Publikationen für unsere PLAP Antikörper

Goulão, Ghosh, Urban, Sahu, Mercogliano, Charsar, Komaravolu, Block, Smith, Wright, Lepore: "Astrocyte progenitor transplantation promotes regeneration of bulbospinal respiratory axons, recovery of diaphragm function, and a reduced macrophage response following cervical spinal cord injury." in: Glia, Vol. 67, Issue 3, pp. 452-466, (2019) (PubMed).

Ontawong, Duangjai, Muanprasat, Pasachan, Pongchaidecha, Amornlerdpison, Srimaroeng: "Lipid-lowering effects of Coffea arabica pulp aqueous extract in Caco-2 cells and hypercholesterolemic rats." in: Phytomedicine : international journal of phytotherapy and phytopharmacology, Vol. 52, pp. 187-197, (2019) (PubMed).

Lv, Yang, Wang, Yu, Huang, Ye: "The WNT7B protein promotes the migration and differentiation of human dental pulp cells partly through WNT/beta-catenin and c-Jun N-terminal kinase signalling pathways." in: Archives of oral biology, Vol. 87, pp. 54-61, (2018) (PubMed).

Merianda, Jin, Kalinski, Sahoo, Fischer, Twiss: "Neural Progenitor Cells Promote Axonal Growth and Alter Axonal mRNA Localization in Adult Neurons." in: eNeuro, Vol. 4, Issue 1, (2017) (PubMed).

Kim, Singh, Del Poeta, Brown, London: "The effect of sterol structure upon clathrin-mediated and clathrin-independent endocytosis." in: Journal of cell science, Vol. 130, Issue 16, pp. 2682-2695, (2017) (PubMed).

Han, Yang, Li, Li, Zheng, Yu, Zhang, Zheng, Yi, Li, Guo, Zhou: "RhoB/ROCK mediates oxygen-glucose deprivation-stimulated syncytiotrophoblast microparticle shedding in preeclampsia." in: Cell and tissue research, Vol. 366, Issue 2, pp. 411-425, (2016) (PubMed).

Forbes, Desforges, Garside, Aplin, Westwood: "Methods for siRNA-mediated reduction of mRNA and protein expression in human placental explants, isolated primary cells and cell lines." in: Placenta, Vol. 30, Issue 2, pp. 124-9, (2009) (PubMed).

Lazrek, Goffard, Schanen, Karquel, Bocket, Lion, Devaux, Hedouin, Gosset, Hober: "Detection of hepatitis C virus antibodies and RNA among medicolegal autopsy cases in Northern France." in: Diagnostic microbiology and infectious disease, Vol. 55, Issue 1, pp. 55-8, (2006) (PubMed).

Llinas, Stura, Ménez, Kiss, Stigbrand, Millán, Le Du: "Structural studies of human placental alkaline phosphatase in complex with functional ligands." in: Journal of molecular biology, Vol. 350, Issue 3, pp. 441-51, (2005) (PubMed).

Johnstone, Chan, Sibley, Davidge, Lowen, Guilbert: "Sphingosine-1-phosphate inhibition of placental trophoblast differentiation through a G(i)-coupled receptor response." in: Journal of lipid research, Vol. 46, Issue 9, pp. 1833-9, (2005) (PubMed).

Aliase für PLAP Antikörper

bacterial alkaline phosphatase (phoA) Antikörper
alkaline phosphatase, placental (ALPP) Antikörper
alkaline phosphatase, placental type (LOC100436725) Antikörper
C-C motif chemokine ligand 27 (CCL27) Antikörper
alkaline phosphatase, liver/bone/kidney (alpl) Antikörper
alkaline phosphatase (alp) Antikörper
alkaline phosphatase, intestinal (ALPI) Antikörper
PDZ and LIM domain 3 (Pdlim3) Antikörper
alkaline phosphatase, placental (Alpp) Antikörper
Actn2lp Antikörper
Akp2 Antikörper
ALP Antikörper
alp Antikörper
Alp Antikörper
ALPI Antikörper
CTACK Antikörper
DDBDRAFT_0205491 Antikörper
DDBDRAFT_0231570 Antikörper
DDB_0205491 Antikörper
DDB_0231570 Antikörper
ECK0378 Antikörper
ESkine Antikörper
ILC Antikörper
JW0374 Antikörper
PALP Antikörper
PLAP Antikörper
PLAP-1 Antikörper
psiA Antikörper
zgc:56672 Antikörper
Sie sind hier:
Chat with us!