Telefon:
+49 (0)241 95 163 153
Fax:
+49 (0)241 95 163 155
E-Mail:
orders@antikoerper-online.de

PIP Antikörper

(Prolactin-Induced Protein (PIP))

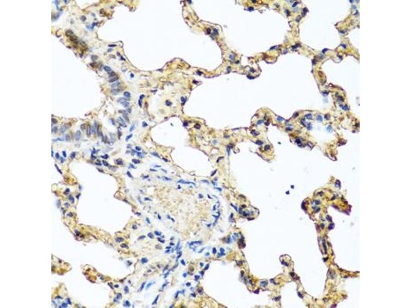
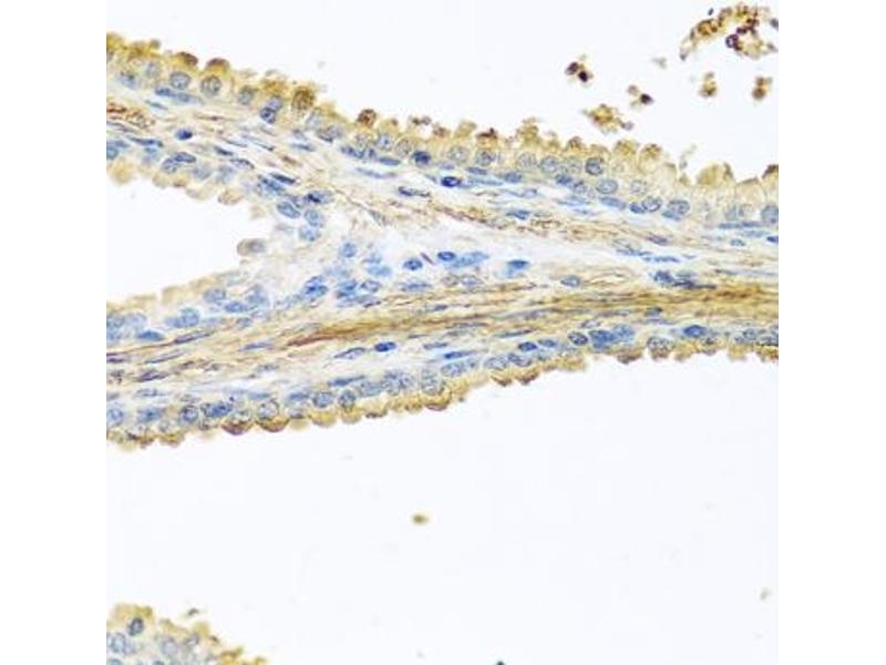
Wählen Sie einen von 121 PIP-Antikörpern aus unserem Produktangebot basierend auf 29 Validierungsbilder.

Entdecken Sie zuverlässige PIP-Antikörper von einer großen Zahl namhafter Hersteller. Unser Portfolio ermöglicht eine präzise PIP-Detektion in verschiedenen Spezies, darunter Human, Rat, Mouse, und unterstützt vielfältige Forschungsanwendungen wie WB, IHC, IF, ICC, IF (cc).

Finden Sie schnell den passenden Antikörper mit unseren Such-, Filter- und Vergleichsfunktionen. Auf jeder Produktseite stehen Ihnen detaillierte Validierungsdaten, Literaturreferenzen und Kundenbewertungen zur Verfügung. Im Gegensatz zu reinen Vergleichsportalen können Sie Ihre Antikörper direkt über unsere Plattform erwerben. Wählen Sie aus polyklonalen, monoklonalen oder rekombinanten PIP-Antikörpern aus verschiedenen Wirtsarten wie Rabbit, Mouse, Goat. Durchstöbern Sie unten unsere Auswahl an PIP-Antikörpern und bestellen Sie direkt, um Ihre Forschung effizient voranzubringen.

Alternative Bezeichnungen für PIP sind PIP, Pip.

121 Treffer

PIP Reaktivität: Ratte WB, IHC Wirt: Kaninchen Polyclonal unconjugated
Produktnummer ABIN7443821
356,40 €
Zzgl. Versandkosten 20,00 € und MwSt
100 μL (Weitere Mengeneinheiten)
Lieferung nach: Deutschland
Lieferung in 11 bis 15 Werktagen
 
PIP Reaktivität: Human, Ratte, Maus IHC, IF Wirt: Kaninchen Polyclonal unconjugated
Produktnummer ABIN7262206
580,00 €
Zzgl. Versandkosten 20,00 € und MwSt
200 μL (Weitere Mengeneinheiten)
Lieferung nach: Deutschland
Lieferung in 9 bis 13 Werktagen
 
PIP Reaktivität: Human WB, IHC, IF, FACS Wirt: Maus Monoclonal PIP-1571 unconjugated
Produktnummer ABIN6940316
639,45 €
Zzgl. Versandkosten 20,00 € und MwSt
100 μg (Weitere Mengeneinheiten)
Lieferung nach: Deutschland
Lieferung in 6 bis 10 Werktagen
 
PIP Reaktivität: Human WB, IF, IHC (p) Wirt: Kaninchen Polyclonal RB19523 unconjugated
Produktnummer ABIN655074
434,77 €
Zzgl. Versandkosten 20,00 € und MwSt
400 μL (Weitere Mengeneinheiten)
Lieferung nach: Deutschland
Lieferung in 14 bis 17 Werktagen
 
Verified PIP Reaktivität: Human WB, IHC, ELISA Wirt: Ziege Polyclonal unconjugated
Produktnummer ABIN185621
488,25 €
Zzgl. Versandkosten 20,00 € und MwSt
100 μg
Lieferung nach: Deutschland
Lieferung in 5 bis 8 Werktagen
 
PIP Reaktivität: Human IHC, ELISA Wirt: Kaninchen Polyclonal unconjugated
Produktnummer ABIN7164734
328,90 €
Zzgl. Versandkosten 20,00 € und MwSt
100 μg (Weitere Mengeneinheiten)
Lieferung nach: Deutschland
Lieferung in 11 bis 15 Werktagen
 
PIP Reaktivität: Human WB, IF, IHC (p), EIA Wirt: Kaninchen Polyclonal unconjugated
Produktnummer ABIN952476
870,77 €
Zzgl. Versandkosten 20,00 € und MwSt
0.4 mL
Lieferung nach: Deutschland
Lieferung in 16 Werktagen
 
PIP Reaktivität: Maus WB, IHC, ICC, IP Wirt: Kaninchen Polyclonal unconjugated
Produktnummer ABIN7438835
341,14 €
Zzgl. Versandkosten 20,00 € und MwSt
100 μL (Weitere Mengeneinheiten)
Lieferung nach: Deutschland
Lieferung in 11 bis 15 Werktagen
 
PIP Reaktivität: Ratte WB, IHC, ICC, IP Wirt: Kaninchen Polyclonal unconjugated
Produktnummer ABIN1860229
293,00 €
Zzgl. Versandkosten 20,00 € und MwSt
100 μL (Weitere Mengeneinheiten)
Lieferung nach: Deutschland
Lieferung in 11 bis 15 Werktagen
 
PIP Reaktivität: Human WB, IHC, ICC, IP Wirt: Kaninchen Polyclonal unconjugated
Produktnummer ABIN1869810
270,00 €
Zzgl. Versandkosten 20,00 € und MwSt
100 μL (Weitere Mengeneinheiten)
Lieferung nach: Deutschland
Lieferung in 11 bis 15 Werktagen
 
PIP Reaktivität: Human IF (cc), IF (p) Wirt: Kaninchen Polyclonal AbBy Fluor® 680
Produktnummer ABIN5003279
426,37 €
Zzgl. Versandkosten 20,00 € und MwSt
100 μL
Lieferung nach: Deutschland
Lieferung in 20 bis 25 Werktagen
 
PIP Reaktivität: Ratte WB, IF (cc), IF (p) Wirt: Kaninchen Polyclonal AbBy Fluor® 680
Produktnummer ABIN5003275
426,37 €
Zzgl. Versandkosten 20,00 € und MwSt
100 μL
Lieferung nach: Deutschland
Lieferung in 20 bis 25 Werktagen
 
PIP Reaktivität: Ratte WB, IF (cc), IF (p) Wirt: Kaninchen Polyclonal AbBy Fluor® 750
Produktnummer ABIN5003276
426,37 €
Zzgl. Versandkosten 20,00 € und MwSt
100 μL
Lieferung nach: Deutschland
Lieferung in 20 bis 25 Werktagen
 
PIP Reaktivität: Human IF (cc), IF (p) Wirt: Kaninchen Polyclonal AbBy Fluor® 750
Produktnummer ABIN5003280
426,37 €
Zzgl. Versandkosten 20,00 € und MwSt
100 μL
Lieferung nach: Deutschland
Lieferung in 20 bis 25 Werktagen
 
PIP Reaktivität: Ratte WB, ELISA, IHC (p), IHC (fro) Wirt: Kaninchen Polyclonal HRP
Produktnummer ABIN1414299
437,53 €
Zzgl. Versandkosten 20,00 € und MwSt
100 μL
Lieferung nach: Deutschland
Lieferung in 20 bis 25 Werktagen
 
PIP Reaktivität: Ratte WB, IF (cc), IF (p) Wirt: Kaninchen Polyclonal Cy7
Produktnummer ABIN1414297
437,53 €
Zzgl. Versandkosten 20,00 € und MwSt
100 μL
Lieferung nach: Deutschland
Lieferung in 20 bis 25 Werktagen
 
PIP Reaktivität: Ratte WB, IF (cc), IF (p) Wirt: Kaninchen Polyclonal Cy5.5
Produktnummer ABIN1414296
437,53 €
Zzgl. Versandkosten 20,00 € und MwSt
100 μL
Lieferung nach: Deutschland
Lieferung in 20 bis 25 Werktagen
 
PIP Reaktivität: Ratte WB, IF (cc), IF (p) Wirt: Kaninchen Polyclonal Cy5
Produktnummer ABIN1414295
437,53 €
Zzgl. Versandkosten 20,00 € und MwSt
100 μL
Lieferung nach: Deutschland
Lieferung in 20 bis 25 Werktagen
 
PIP Reaktivität: Ratte WB, IF (cc), IF (p) Wirt: Kaninchen Polyclonal Cy3
Produktnummer ABIN1414294
437,53 €
Zzgl. Versandkosten 20,00 € und MwSt
100 μL
Lieferung nach: Deutschland
Lieferung in 20 bis 25 Werktagen
 
PIP Reaktivität: Ratte WB, IF (cc), IF (p) Wirt: Kaninchen Polyclonal FITC
Produktnummer ABIN1396423
437,53 €
Zzgl. Versandkosten 20,00 € und MwSt
100 μL
Lieferung nach: Deutschland
Lieferung in 20 bis 25 Werktagen
 
  • Typ Primary
    • Primary
  • Anwendung
    • Western Blotting (WB)
    • Immunohistochemistry (IHC)
    • Immunofluorescence (IF)
    • Immunocytochemistry (ICC)
    • Immunofluorescence (Cultured Cells) (IF (cc))
    • ELISA
    • Immunofluorescence (Paraffin-embedded Sections) (IF (p))
    • Flow Cytometry (FACS)
    • Immunoprecipitation (IP)
    • Immunohistochemistry (Paraffin-embedded Sections) (IHC (p))
    • Immunostaining (ISt)
    • Immunohistochemistry (Frozen Sections) (IHC (fro))
    • Enzyme Immunoassay (EIA)
    • Immunofluorescence (fixed cells) (IF/ICC)
    • Immunochromatography (IC)
    • Radioimmunoassay (RIA)
    • Heat-induced Epitope Retrieval (HIER)
    • Immunohistochemistry (Formalin-fixed Paraffin-embedded Sections) (IHC (fp))
  • Reaktivität
    • Human
    • Rat
    • Mouse
  • Abbildungen verfügbar
  • Nur ohne Konservierungsmittel
  • Carrier free only
  • Wirt
    • Rabbit
    • Mouse
    • Goat
  • Klonalität
    • Polyclonal
    • Monoclonal
  • Klon
    • PIP-1571
    • PIP-7477
    • PIP-9076R
    • 21P85
    • 23A3
    • 2C10
    • A228
    • RB19523
    • RM504
  • Bindungsspezifität
    • AA 51-146
    • AA 1-146
    • AA 41-146
    • AA 29-146
    • AA 77-106
    • C-Term
    • AA 11-60
    • AA 84-113
    • AA 41-139
    • Internal Region
    • N-Term
  • Konjugat
    • Unkonjugiert
    • Biotin
    • FITC
    • HRP
    • PE
    • APC
    • AbBy Fluor® 350
    • AbBy Fluor® 488
    • AbBy Fluor® 555
    • AbBy Fluor® 594
    • AbBy Fluor® 647
    • AbBy Fluor® 680
    • AbBy Fluor® 750
    • Alexa Fluor 488
    • Alexa Fluor 555
    • Alexa Fluor 594
    • Alexa Fluor 647
    • Alexa Fluor 680
    • Alexa Fluor 750
    • Cy3
    • Cy5
    • Cy5.5
    • Cy7
    • Alexa Fluor 350
    • Alexa Fluor 405
    • CF®405S
    • CF®488A
    • CF®568
    • CF®594
    • CF®640R
    • CF®647
    • CF®740
    • PerCP
  • Isotyp
    • IgG
    • IgG2a kappa
    • kappa
    • IgG2a
    • Ig Fraction
  • Protein-Typ
    • Recombinant Antibody
  • Format
    • Liquid
    • Lyophilized
  • Grade
    • Verified
  • Hersteller
    • antibodies-online
    • Signalway
    • Biotium
    • Assaypro
    • USBio
    • Abbexa
    • Cohesion Biosciences
    • Cloud-Clone
    • Acris
    • Assay Biotechnology Company, Inc.
    • Boster Bio
    • CUSABIO
    • ProteoGenix
    • RayBiotech
    • RevMAb Biosciences

Aktuelle Publikationen für unsere PIP Antikörper

Evans, Walker: "Endothelin-1 mobilizes profilin-1-bound PIP2 in cardiac muscle." in: Experimental biology and medicine (Maywood, N.J.), Vol. 231, Issue 6, pp. 882-7, (2006) (PubMed).

OConnell, Wang, Odze: "Utility of immunohistochemistry in distinguishing primary adenocarcinomas from metastatic breast carcinomas in the gastrointestinal tract." in: Archives of pathology & laboratory medicine, Vol. 129, Issue 3, pp. 338-47, (2005) (PubMed).

Thomas, Steel, Prestwich, Schiavo: "Generation of phosphatidylinositol-specific antibodies and their characterization." in: Biochemical Society transactions, Vol. 27, Issue 4, pp. 648-52, (2000) (PubMed).

Aliase für PIP Antikörper

prolactin induced protein (PIP) Antikörper
prolactin induced protein (Pip) Antikörper
GCDFP-15 Antikörper
GCDFP15 Antikörper
GP17 Antikörper
GPIP4 Antikörper
mSMGP Antikörper
Sie sind hier:
Chat with us!