Telefon:
+49 (0)241 95 163 153
Fax:
+49 (0)241 95 163 155
E-Mail:
orders@antikoerper-online.de

MLL5 Antikörper

(Myeloid/lymphoid Or Mixed-Lineage Leukemia 5 (Trithorax Homolog) (MLL5))

Wählen Sie einen von 33 MLL5/KMT2E-Antikörpern aus unserem Produktangebot basierend auf 1 Publikation und 16 Validierungsbilder.

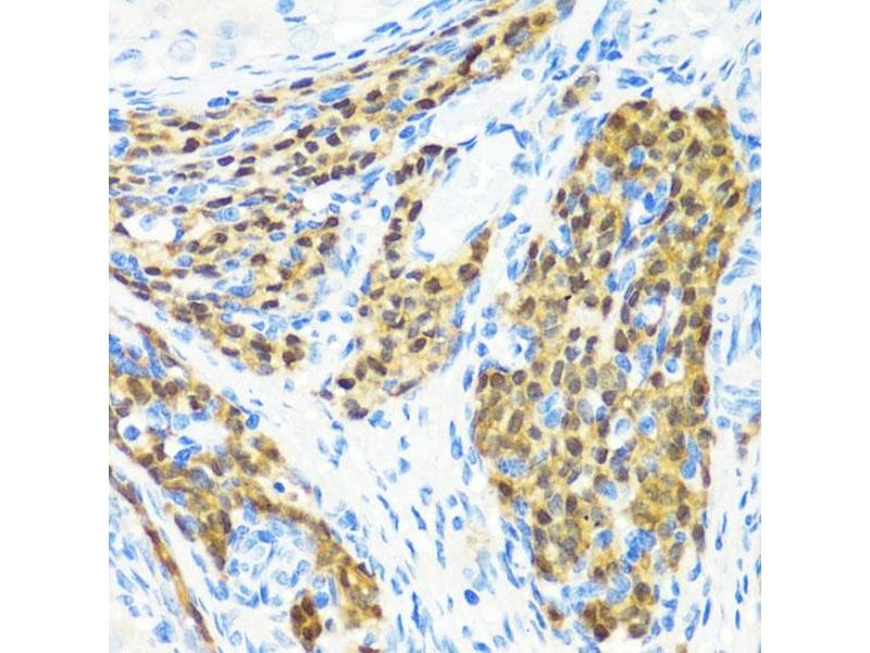
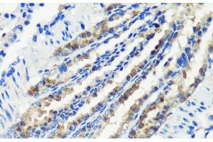
Entdecken Sie zuverlässige MLL5/KMT2E-Antikörper von einer großen Zahl namhafter Hersteller. Unser Portfolio ermöglicht eine präzise MLL5/KMT2E-Detektion in verschiedenen Spezies, darunter Human, Mouse, Rat, und unterstützt vielfältige Forschungsanwendungen wie WB, ELISA, IHC, IF, IP.

Finden Sie schnell den passenden Antikörper mit unseren Such-, Filter- und Vergleichsfunktionen. Auf jeder Produktseite stehen Ihnen detaillierte Validierungsdaten, Literaturreferenzen und Kundenbewertungen zur Verfügung. Im Gegensatz zu reinen Vergleichsportalen können Sie Ihre Antikörper direkt über unsere Plattform erwerben. Wählen Sie aus polyklonalen, monoklonalen oder rekombinanten MLL5/KMT2E-Antikörpern aus verschiedenen Wirtsarten wie Rabbit, Mouse. Durchstöbern Sie unten unsere Auswahl an MLL5/KMT2E-Antikörpern und bestellen Sie direkt, um Ihre Forschung effizient voranzubringen.

Alternative Bezeichnungen für MLL5/KMT2E sind KMT2E, Kmt2e.

33 Treffer

MLL5 Reaktivität: Human WB, IHC, IF Wirt: Kaninchen Polyclonal unconjugated
Produktnummer ABIN6142983
320,00 €
Zzgl. Versandkosten 20,00 € und MwSt
100 μL (Weitere Mengeneinheiten)
Lieferung nach: Deutschland
Lieferung in 7 bis 9 Werktagen
 
MLL5 Reaktivität: Human, Maus, Ratte IHC, IF Wirt: Kaninchen Polyclonal unconjugated
Produktnummer ABIN7261988
580,00 €
Zzgl. Versandkosten 20,00 € und MwSt
200 μL (Weitere Mengeneinheiten)
Lieferung nach: Deutschland
Lieferung in 9 bis 13 Werktagen
 
MLL5 Reaktivität: Human WB Wirt: Kaninchen Polyclonal RB19215 unconjugated
Pubmed 1 reference
Produktnummer ABIN658094
434,77 €
Zzgl. Versandkosten 20,00 € und MwSt
400 μL (Weitere Mengeneinheiten)
Lieferung nach: Deutschland
Lieferung in 14 bis 17 Werktagen
 
MLL5 Reaktivität: Human, Maus WB Wirt: Kaninchen Polyclonal unconjugated
Produktnummer ABIN6972268
646,92 €
Zzgl. Versandkosten 20,00 € und MwSt
100 μL
Lieferung nach: Deutschland
Lieferung in 2 bis 4 Werktagen
 
MLL5 Reaktivität: Human IP Wirt: Kaninchen Polyclonal unconjugated
Produktnummer ABIN527783
636,80 €
Zzgl. Versandkosten 20,00 € und MwSt
100 μL
Lieferung nach: Deutschland
Lieferung in 8 bis 9 Werktagen
 
MLL5 Reaktivität: Human WB Wirt: Maus Polyclonal unconjugated
Produktnummer ABIN527782
651,20 €
Zzgl. Versandkosten 20,00 € und MwSt
50 μg
Lieferung nach: Deutschland
Lieferung in 8 bis 9 Werktagen
 
MLL5 Reaktivität: Human WB, ELISA Wirt: Kaninchen Polyclonal unconjugated
Produktnummer ABIN7155466
328,90 €
Zzgl. Versandkosten 20,00 € und MwSt
100 μL (Weitere Mengeneinheiten)
Lieferung nach: Deutschland
Lieferung in 11 bis 15 Werktagen
 
MLL5 Reaktivität: Human WB, ELISA Wirt: Kaninchen Polyclonal unconjugated
Produktnummer ABIN3031896
631,13 €
Zzgl. Versandkosten 20,00 € und MwSt
0.4 mL (Weitere Mengeneinheiten)
Lieferung nach: Deutschland
Lieferung in 6 bis 9 Werktagen
 
MLL5 Reaktivität: Human Wirt: Kaninchen Polyclonal FITC
Produktnummer ABIN7155468
328,90 €
Zzgl. Versandkosten 20,00 € und MwSt
100 μL (Weitere Mengeneinheiten)
Lieferung nach: Deutschland
Lieferung in 11 bis 15 Werktagen
 
MLL5 Reaktivität: Human ELISA Wirt: Kaninchen Polyclonal HRP
Produktnummer ABIN7155469
328,90 €
Zzgl. Versandkosten 20,00 € und MwSt
100 μL (Weitere Mengeneinheiten)
Lieferung nach: Deutschland
Lieferung in 11 bis 15 Werktagen
 
MLL5 Reaktivität: Human ELISA Wirt: Kaninchen Polyclonal Biotin
Produktnummer ABIN7155467
328,90 €
Zzgl. Versandkosten 20,00 € und MwSt
100 μL (Weitere Mengeneinheiten)
Lieferung nach: Deutschland
Lieferung in 11 bis 15 Werktagen
 
MLL5 Reaktivität: Human WB Wirt: Maus Polyclonal unconjugated
Produktnummer ABIN2611796
1.278,75 €
Zzgl. Versandkosten 20,00 € und MwSt
50 μg
Lieferung nach: Deutschland
Lieferung in 15 bis 20 Werktagen
 
MLL5 Reaktivität: Human WB Wirt: Kaninchen Polyclonal unconjugated
Produktnummer ABIN2611798
1.328,20 €
Zzgl. Versandkosten 20,00 € und MwSt
200 μL
Lieferung nach: Deutschland
Lieferung in 15 bis 20 Werktagen
 
MLL5 Reaktivität: Human, Maus, Ratte WB, IHC, IF, IP Wirt: Kaninchen Polyclonal unconjugated
Produktnummer ABIN6775838
728,03 €
Zzgl. Versandkosten 20,00 € und MwSt
100 μL (Weitere Mengeneinheiten)
Lieferung nach: Deutschland
Lieferung in 15 bis 20 Werktagen
 
MLL5 Reaktivität: Human WB, ELISA Wirt: Kaninchen Polyclonal PE
Produktnummer ABIN1908654
1.708,41 €
Zzgl. Versandkosten 20,00 € und MwSt
200 μL
Lieferung nach: Deutschland
Lieferung in 15 bis 20 Werktagen
 
MLL5 Reaktivität: Human WB, ELISA Wirt: Kaninchen Polyclonal Biotin
Produktnummer ABIN1908651
1.708,41 €
Zzgl. Versandkosten 20,00 € und MwSt
200 μL
Lieferung nach: Deutschland
Lieferung in 15 bis 20 Werktagen
 
MLL5 Reaktivität: Human WB, ELISA Wirt: Kaninchen Polyclonal APC
Produktnummer ABIN1908650
1.708,41 €
Zzgl. Versandkosten 20,00 € und MwSt
200 μL
Lieferung nach: Deutschland
Lieferung in 15 bis 20 Werktagen
 
MLL5 Reaktivität: Human WB, ELISA Wirt: Kaninchen Polyclonal HRP
Produktnummer ABIN1908655
1.708,41 €
Zzgl. Versandkosten 20,00 € und MwSt
200 μL
Lieferung nach: Deutschland
Lieferung in 15 bis 20 Werktagen
 
MLL5 Reaktivität: Human WB, ELISA Wirt: Kaninchen Polyclonal FITC
Produktnummer ABIN1908653
1.708,41 €
Zzgl. Versandkosten 20,00 € und MwSt
200 μL
Lieferung nach: Deutschland
Lieferung in 15 bis 20 Werktagen
 
MLL5 Reaktivität: Human, Maus, Ratte ELISA Wirt: Kaninchen Polyclonal unconjugated
Produktnummer ABIN7094963
525,71 €
Zzgl. Versandkosten 20,00 € und MwSt
100 μL (Weitere Mengeneinheiten)
Lieferung nach: Deutschland
Lieferung in 9 bis 11 Werktagen
 
  • Typ Primary
    • Primary
  • Anwendung
    • Western Blotting (WB)
    • ELISA
    • Immunohistochemistry (IHC)
    • Immunofluorescence (IF)
    • Immunoprecipitation (IP)
  • Reaktivität
    • Human
    • Mouse
    • Rat
  • In Publikationen zitiert
  • Abbildungen verfügbar
  • Nur ohne Konservierungsmittel
  • Carrier free only
  • Wirt
    • Rabbit
    • Mouse
  • Klonalität
    • Polyclonal
  • Klon
    • RB19215
  • Bindungsspezifität
    • AA 93-120
    • AA 182-316
    • N-Term
    • AA 1-609
    • AA 200-500
    • AA 298-490
  • Konjugat
    • Unkonjugiert
    • Biotin
    • FITC
    • HRP
    • PE
    • APC
    • Alexa Fluor 488
    • Alexa Fluor 555
    • Alexa Fluor 594
    • Alexa Fluor 647
    • Alexa Fluor 680
    • Alexa Fluor 750
  • Isotyp
    • IgG
    • Ig Fraction
  • Format
    • Liquid
    • Lyophilized
  • Hersteller
    • antibodies-online
    • Signalway
    • USBio
    • Cohesion Biosciences
    • Covalab
    • NSJ Bioreagents

Aktuelle Publikationen für unsere MLL5 Antikörper

Zhou, Wang, Yuan, Zhou, Liu, Wan, Zhang, Ding, Wang, Xiong, Wang, Yuan, Li, Zhang: "Mixed lineage leukemia 5 (MLL5) protein regulates cell cycle progression and E2F1-responsive gene expression via association with host cell factor-1 (HCF-1)." in: The Journal of biological chemistry, Vol. 288, Issue 24, pp. 17532-43, (2013) (PubMed).

Aliase für MLL5 Antikörper

lysine methyltransferase 2E (KMT2E) Antikörper
lysine (K)-specific methyltransferase 2E (Kmt2e) Antikörper
lysine methyltransferase 2E (Kmt2e) Antikörper
1810033J14Rik Antikörper
9530077A04Rik Antikörper
D230038D11Rik Antikörper
HDCMC04P Antikörper
MLL5 Antikörper
Mll5 Antikörper
Sie sind hier:
Chat with us!