Telefon:
+49 (0)241 95 163 153
Fax:
+49 (0)241 95 163 155
E-Mail:
orders@antikoerper-online.de

LMX1B Antikörper

(LIM Homeobox Transcription Factor 1, beta (LMX1B))

Wählen Sie einen von 48 LMX1B-Antikörpern aus unserem Produktangebot basierend auf 2 Publikationen und 19 Validierungsbilder.

Entdecken Sie zuverlässige LMX1B-Antikörper von einer großen Zahl namhafter Hersteller. Unser Portfolio ermöglicht eine präzise LMX1B-Detektion in verschiedenen Spezies, darunter Mouse, Human, Rat, Dog, Cow, Zebrafish (Danio rerio), Guinea Pig, Horse, Pig, Rabbit, Chicken, Hamster, Monkey, und unterstützt vielfältige Forschungsanwendungen wie WB, ELISA, IF (cc), IF (p), IHC (p).

Finden Sie schnell den passenden Antikörper mit unseren Such-, Filter- und Vergleichsfunktionen. Auf jeder Produktseite stehen Ihnen detaillierte Validierungsdaten, Literaturreferenzen und Kundenbewertungen zur Verfügung. Im Gegensatz zu reinen Vergleichsportalen können Sie Ihre Antikörper direkt über unsere Plattform erwerben. Wählen Sie aus polyklonalen, monoklonalen oder rekombinanten LMX1B-Antikörpern aus verschiedenen Wirtsarten wie Rabbit, Mouse, Goat. Durchstöbern Sie unten unsere Auswahl an LMX1B-Antikörpern und bestellen Sie direkt, um Ihre Forschung effizient voranzubringen.

Alternative Bezeichnungen für LMX1B sind LMX1B, Lmx1b, lmx1bb, lmx1b.1.S, lmx1ba.

48 Treffer

LMX1B Reaktivität: Human, Maus WB, IHC (p) Wirt: Kaninchen Polyclonal RB21468 unconjugated
Pubmed 2 Referenzen
Produktnummer ABIN652882
434,77 €
Zzgl. Versandkosten 20,00 € und MwSt
400 μL (Weitere Mengeneinheiten)
Lieferung nach: Deutschland
Lieferung in 14 bis 17 Werktagen
 
LMX1B Reaktivität: Human WB, ELISA, IHC (p) Wirt: Maus Monoclonal 1D12 unconjugated
Produktnummer ABIN517554
651,20 €
Zzgl. Versandkosten 20,00 € und MwSt
100 μg
Lieferung nach: Deutschland
Lieferung in 8 bis 9 Werktagen
 
LMX1B Reaktivität: Human, Maus WB, ELISA, IF, ICC Wirt: Kaninchen Polyclonal unconjugated
Produktnummer ABIN6257309
525,71 €
Zzgl. Versandkosten 20,00 € und MwSt
100 μL (Weitere Mengeneinheiten)
Lieferung nach: Deutschland
Lieferung in 9 bis 11 Werktagen
 
LMX1B Reaktivität: Human WB, ELISA Wirt: Maus Polyclonal unconjugated
Produktnummer ABIN517553
508,80 €
Zzgl. Versandkosten 20,00 € und MwSt
50 μL
Lieferung nach: Deutschland
Lieferung in 8 bis 9 Werktagen
 
Verified LMX1B Reaktivität: Human ELISA, IHC Wirt: Ziege Polyclonal unconjugated
Produktnummer ABIN570687
488,25 €
Zzgl. Versandkosten 20,00 € und MwSt
100 μg
Lieferung nach: Deutschland
Lieferung in 5 bis 8 Werktagen
 
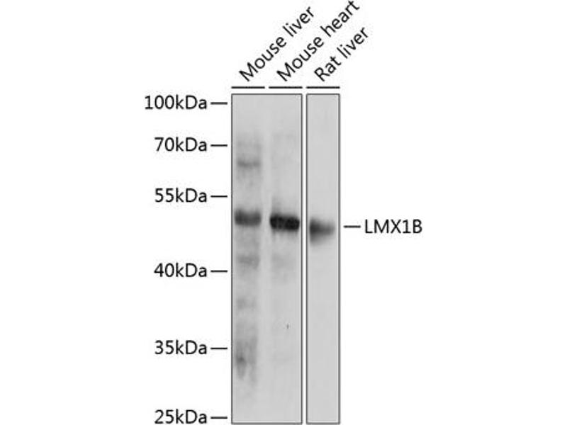
LMX1B Reaktivität: Human, Maus, Ratte, Hund, Rind (Kuh), Schwein, Pferd, Zebrafisch (Danio rerio), Meerschweinchen, Kaninchen, Huhn, Hamster, Affe WB Wirt: Kaninchen Polyclonal unconjugated
Produktnummer ABIN202364
741,67 €
Zzgl. Versandkosten 20,00 € und MwSt
100 μL
Lieferung nach: Deutschland
Lieferung in 15 bis 20 Werktagen
 
LMX1B Reaktivität: Human WB Wirt: Kaninchen Polyclonal unconjugated
Produktnummer ABIN6143280
320,00 €
Zzgl. Versandkosten 20,00 € und MwSt
100 μL (Weitere Mengeneinheiten)
Lieferung nach: Deutschland
Lieferung in 7 bis 9 Werktagen
 
LMX1B Reaktivität: Human WB, IHC Wirt: Kaninchen Polyclonal unconjugated
Produktnummer ABIN6143278
320,00 €
Zzgl. Versandkosten 20,00 € und MwSt
100 μL (Weitere Mengeneinheiten)
Lieferung nach: Deutschland
Lieferung in 7 bis 9 Werktagen
 
LMX1B Reaktivität: Human, Hund, Rind (Kuh), Schwein WB, IHC Wirt: Kaninchen Polyclonal unconjugated
Produktnummer ABIN7296204
330,77 €
Zzgl. Versandkosten 20,00 € und MwSt
100 μL (Weitere Mengeneinheiten)
Lieferung nach: Deutschland
Lieferung in 17 bis 20 Werktagen
 
LMX1B Reaktivität: Maus, Ratte WB, IF (cc), IF (p) Wirt: Kaninchen Polyclonal AbBy Fluor® 750
Produktnummer ABIN5006244
426,37 €
Zzgl. Versandkosten 20,00 € und MwSt
100 μL
Lieferung nach: Deutschland
Lieferung in 20 bis 25 Werktagen
 
LMX1B Reaktivität: Maus, Ratte WB, IF (cc), IF (p) Wirt: Kaninchen Polyclonal AbBy Fluor® 680
Produktnummer ABIN5006243
426,37 €
Zzgl. Versandkosten 20,00 € und MwSt
100 μL
Lieferung nach: Deutschland
Lieferung in 20 bis 25 Werktagen
 
LMX1B Reaktivität: Maus, Ratte WB, ELISA, IHC (p), IHC (fro) Wirt: Kaninchen Polyclonal HRP
Produktnummer ABIN1411172
437,53 €
Zzgl. Versandkosten 20,00 € und MwSt
100 μL
Lieferung nach: Deutschland
Lieferung in 20 bis 25 Werktagen
 
LMX1B Reaktivität: Maus, Ratte WB, IF (cc), IF (p) Wirt: Kaninchen Polyclonal Cy5.5
Produktnummer ABIN1411169
437,53 €
Zzgl. Versandkosten 20,00 € und MwSt
100 μL
Lieferung nach: Deutschland
Lieferung in 20 bis 25 Werktagen
 
LMX1B Reaktivität: Maus, Ratte WB, IF (cc), IF (p) Wirt: Kaninchen Polyclonal Cy7
Produktnummer ABIN1411170
437,53 €
Zzgl. Versandkosten 20,00 € und MwSt
100 μL
Lieferung nach: Deutschland
Lieferung in 20 bis 25 Werktagen
 
LMX1B Reaktivität: Maus, Ratte WB, IF (cc), IF (p) Wirt: Kaninchen Polyclonal Cy5
Produktnummer ABIN1411168
437,53 €
Zzgl. Versandkosten 20,00 € und MwSt
100 μL
Lieferung nach: Deutschland
Lieferung in 20 bis 25 Werktagen
 
LMX1B Reaktivität: Maus, Ratte WB, IF (cc), IF (p) Wirt: Kaninchen Polyclonal Cy3
Produktnummer ABIN1411167
437,53 €
Zzgl. Versandkosten 20,00 € und MwSt
100 μL
Lieferung nach: Deutschland
Lieferung in 20 bis 25 Werktagen
 
LMX1B Reaktivität: Maus, Ratte WB, ELISA, IHC (p), IHC (fro) Wirt: Kaninchen Polyclonal Biotin
Produktnummer ABIN1393279
419,50 €
Zzgl. Versandkosten 20,00 € und MwSt
100 μL
Lieferung nach: Deutschland
Lieferung in 20 bis 25 Werktagen
 
LMX1B Reaktivität: Maus, Ratte WB, IF (cc), IF (p) Wirt: Kaninchen Polyclonal AbBy Fluor® 647
Produktnummer ABIN1393278
426,37 €
Zzgl. Versandkosten 20,00 € und MwSt
100 μL
Lieferung nach: Deutschland
Lieferung in 20 bis 25 Werktagen
 
LMX1B Reaktivität: Maus, Ratte WB, IF (cc), IF (p) Wirt: Kaninchen Polyclonal FITC
Produktnummer ABIN1393280
437,53 €
Zzgl. Versandkosten 20,00 € und MwSt
100 μL
Lieferung nach: Deutschland
Lieferung in 20 bis 25 Werktagen
 
LMX1B Reaktivität: Maus, Ratte WB, IF (cc), IF (p) Wirt: Kaninchen Polyclonal AbBy Fluor® 555
Produktnummer ABIN1393277
426,37 €
Zzgl. Versandkosten 20,00 € und MwSt
100 μL
Lieferung nach: Deutschland
Lieferung in 20 bis 25 Werktagen
 
  • Typ Primary
    • Primary
  • Anwendung
    • Western Blotting (WB)
    • ELISA
    • Immunofluorescence (Cultured Cells) (IF (cc))
    • Immunofluorescence (Paraffin-embedded Sections) (IF (p))
    • Immunohistochemistry (Paraffin-embedded Sections) (IHC (p))
    • Immunohistochemistry (IHC)
    • Immunohistochemistry (Frozen Sections) (IHC (fro))
    • Immunofluorescence (IF)
    • Immunocytochemistry (ICC)
    • Enzyme Immunoassay (EIA)
    • Immunoprecipitation (IP)
  • Reaktivität
    • Mouse
    • Human
    • Rat
    • Dog
    • Cow
    • Zebrafish (Danio rerio)
    • Guinea Pig
    • Horse
    • Pig
    • Rabbit
    • Chicken
    • Hamster
    • Monkey
  • In Publikationen zitiert
  • Abbildungen verfügbar
  • Nur ohne Konservierungsmittel
  • Carrier free only
  • Wirt
    • Rabbit
    • Mouse
    • Goat
  • Klonalität
    • Polyclonal
    • Monoclonal
  • Klon
    • 1D12
    • RB21468
  • Bindungsspezifität
    • AA 111-210
    • AA 175-202
    • C-Term
    • AA 1-110
    • Center
    • Internal Region
    • AA 1-100
    • AA 100-180
    • AA 126-175
    • AA 136-395
    • AA 280-330
    • AA 324-373
    • AA 56-173
    • Asp159
  • Konjugat
    • Unkonjugiert
    • Biotin
    • FITC
    • HRP
    • APC
    • AbBy Fluor® 350
    • AbBy Fluor® 488
    • AbBy Fluor® 555
    • AbBy Fluor® 594
    • AbBy Fluor® 647
    • AbBy Fluor® 680
    • AbBy Fluor® 750
    • Alexa Fluor 488
    • Alexa Fluor 555
    • Alexa Fluor 594
    • Alexa Fluor 647
    • Alexa Fluor 680
    • Alexa Fluor 750
    • Cy3
    • Cy5
    • Cy5.5
    • Cy7
    • PE
  • Isotyp
    • IgG
    • Ig Fraction
    • IgG2a
  • Format
    • Liquid
    • Lyophilized
  • Grade
    • Verified
  • Hersteller
    • antibodies-online
    • Signalway
    • Acris
    • Assay Biotechnology Company, Inc.
    • Aviva Systems Biology
    • Cohesion Biosciences
    • ProSci
    • ProteoGenix

Aktuelle Publikationen für unsere LMX1B Antikörper

Doucet-Beaupré, Gilbert, Profes, Chabrat, Pacelli, Giguère, Rioux, Charest, Deng, Laguna, Ericson, Perlmann, Ang, Cicchetti, Parent, Trudeau, Lévesque: "Lmx1a and Lmx1b regulate mitochondrial functions and survival of adult midbrain dopaminergic neurons." in: Proceedings of the National Academy of Sciences of the United States of America, Vol. 113, Issue 30, pp. E4387-96, (2018) (PubMed).

Laguna, Schintu, Nobre, Alvarsson, Volakakis, Jacobsen, Gómez-Galán, Sopova, Joodmardi, Yoshitake, Deng, Kehr, Ericson, Svenningsson, Shupliakov, Perlmann: "Dopaminergic control of autophagic-lysosomal function implicates Lmx1b in Parkinson's disease." in: Nature neuroscience, Vol. 18, Issue 6, pp. 826-35, (2015) (PubMed).

Zhao, Gao, Sun, Zhao, Gereau, Chen: "Central serotonergic neurons are differentially required for opioid analgesia but not for morphine tolerance or morphine reward." in: Proceedings of the National Academy of Sciences of the United States of America, Vol. 104, Issue 36, pp. 14519-24, (2007) (PubMed).

Aliase für LMX1B Antikörper

LIM homeobox transcription factor 1 beta (LMX1B) Antikörper
LIM homeobox transcription factor 1 beta (Lmx1b) Antikörper
LIM homeobox transcription factor 1, beta b (lmx1bb) Antikörper
LIM homeobox transcription factor 1, beta, gene 1 S homeolog (lmx1b.1.S) Antikörper
LIM homeobox transcription factor 1, beta a (lmx1ba) Antikörper
LMX Antikörper
LMX1 Antikörper
LMX1.1 Antikörper
LMX1.2 Antikörper
lmx1b Antikörper
lmx1b.1 Antikörper
lmx1b.2 Antikörper
NPS1 Antikörper
Xlmx1b Antikörper
Sie sind hier:
Chat with us!