Telefon:
+49 (0)241 95 163 153
Fax:
+49 (0)241 95 163 155
E-Mail:
orders@antikoerper-online.de

LATS1 Antikörper

(LATS, Large Tumor Suppressor, Homolog 1 (Drosophila) (LATS1))

Wählen Sie einen von 52 LATS1-Antikörpern aus unserem Produktangebot basierend auf 3 Publikationen und 34 Validierungsbilder.

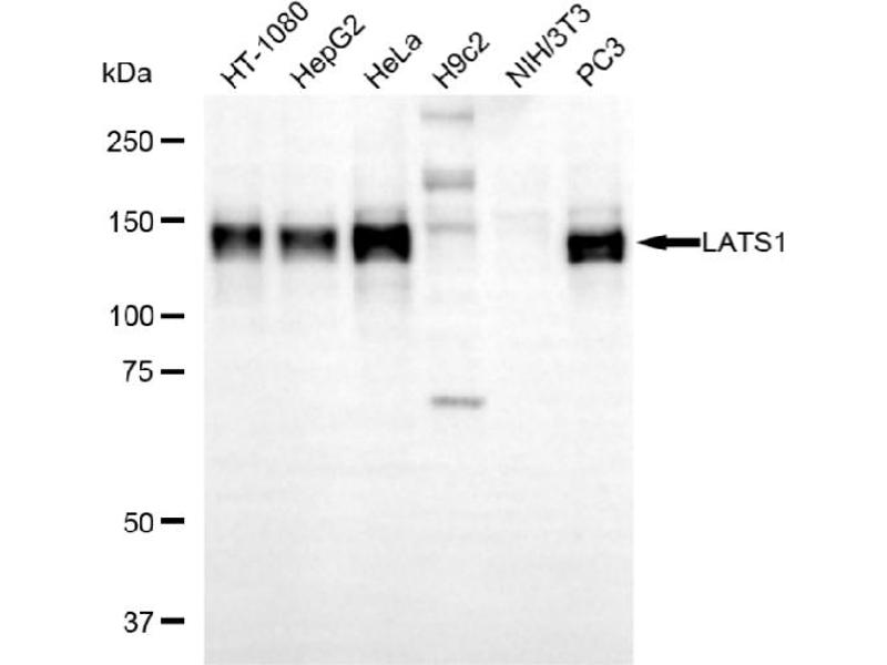
Entdecken Sie zuverlässige LATS1-Antikörper von einer großen Zahl namhafter Hersteller. Unser Portfolio ermöglicht eine präzise LATS1-Detektion in verschiedenen Spezies, darunter Human, Mouse, Rat, Dog, Horse, Rabbit, Cow, Monkey, Zebrafish (Danio rerio), Bat, Hamster, Saccharomyces cerevisiae, Sheep, und unterstützt vielfältige Forschungsanwendungen wie WB, ELISA, IHC, IF (cc), IF (p).

Finden Sie schnell den passenden Antikörper mit unseren Such-, Filter- und Vergleichsfunktionen. Auf jeder Produktseite stehen Ihnen detaillierte Validierungsdaten, Literaturreferenzen und Kundenbewertungen zur Verfügung. Im Gegensatz zu reinen Vergleichsportalen können Sie Ihre Antikörper direkt über unsere Plattform erwerben. Wählen Sie aus polyklonalen, monoklonalen oder rekombinanten LATS1-Antikörpern aus verschiedenen Wirtsarten wie Rabbit, Mouse. Durchstöbern Sie unten unsere Auswahl an LATS1-Antikörpern und bestellen Sie direkt, um Ihre Forschung effizient voranzubringen.

Alternative Bezeichnungen für LATS1 sind LATS1, Lats1, lats1, lats1.S.

52 Treffer

LATS1 Reaktivität: Human ELISA, IHC, IP, IF Wirt: Kaninchen Polyclonal unconjugated
Produktnummer ABIN7169059
328,90 €
Zzgl. Versandkosten 20,00 € und MwSt
100 μg (Weitere Mengeneinheiten)
Lieferung nach: Deutschland
Lieferung in 11 bis 15 Werktagen
 
LATS1 Reaktivität: Human WB, ELISA Wirt: Maus Monoclonal 3A7 unconjugated
Produktnummer ABIN522568
651,20 €
Zzgl. Versandkosten 20,00 € und MwSt
100 μg
Lieferung nach: Deutschland
Lieferung in 8 bis 9 Werktagen
 
LATS1 Reaktivität: Human, Maus, Ratte WB, IHC (p) Wirt: Kaninchen Polyclonal RB3029 unconjugated
Pubmed 1 reference
Produktnummer ABIN391033
434,77 €
Zzgl. Versandkosten 20,00 € und MwSt
400 μL (Weitere Mengeneinheiten)
Lieferung nach: Deutschland
Lieferung in 14 bis 17 Werktagen
 
LATS1 Reaktivität: Human, Maus WB, ELISA, IHC, IF, ICC Wirt: Kaninchen Polyclonal unconjugated
Produktnummer ABIN6262920
525,71 €
Zzgl. Versandkosten 20,00 € und MwSt
100 μL (Weitere Mengeneinheiten)
Lieferung nach: Deutschland
Lieferung in 9 bis 11 Werktagen
 
LATS1 Reaktivität: Human, Maus WB, ELISA, IF (cc), IF (p), IHC (p), IHC (fro) Wirt: Kaninchen Polyclonal unconjugated
Pubmed 2 Referenzen
Produktnummer ABIN872292
357,70 €
Zzgl. Versandkosten 20,00 € und MwSt
100 μL
Lieferung nach: Deutschland
Lieferung in 8 bis 12 Werktagen
 
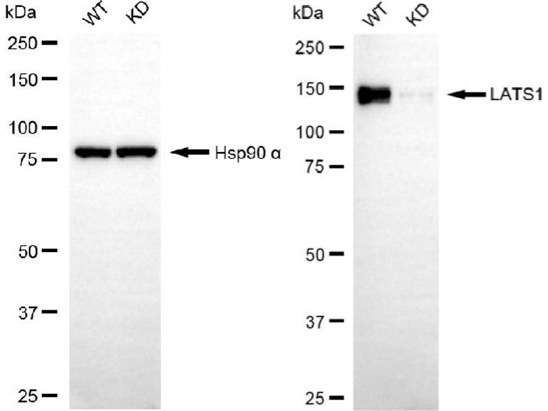
KD Validated LATS1 Reaktivität: Human WB Wirt: Maus Polyclonal unconjugated
Produktnummer ABIN7799240
598,92 €
Zzgl. Versandkosten 20,00 € und MwSt
100 μL
Lieferung nach: Deutschland
Lieferung in 7 bis 10 Werktagen
 
LATS1 Reaktivität: Human, Maus WB, IP Wirt: Kaninchen Polyclonal unconjugated
Produktnummer ABIN7451562
576,62 €
Zzgl. Versandkosten 20,00 € und MwSt
100 μg (Weitere Mengeneinheiten)
Lieferung nach: Deutschland
Lieferung in 7 bis 10 Werktagen
 
LATS1 Reaktivität: Human, Maus, Ratte WB, ELISA, IHC, IHC (fro), ICC, FACS Wirt: Kaninchen Polyclonal unconjugated
Produktnummer ABIN6719580
500,50 €
Zzgl. Versandkosten 20,00 € und MwSt
100 μg
Lieferung nach: Deutschland
Lieferung in 8 bis 12 Werktagen
 
LATS1 Reaktivität: Human, Maus, Ratte WB, ELISA, IHC Wirt: Kaninchen Polyclonal unconjugated
Produktnummer ABIN3031593
631,13 €
Zzgl. Versandkosten 20,00 € und MwSt
400 μL (Weitere Mengeneinheiten)
Lieferung nach: Deutschland
Lieferung in 6 bis 9 Werktagen
 
LATS1 Reaktivität: Human WB Wirt: Maus Polyclonal unconjugated
Produktnummer ABIN2566023
651,20 €
Zzgl. Versandkosten 20,00 € und MwSt
50 μg
Lieferung nach: Deutschland
Lieferung in 8 bis 9 Werktagen
 
LATS1 Reaktivität: Human WB, ELISA, IHC Wirt: Kaninchen Polyclonal unconjugated
Produktnummer ABIN7181864
218,90 €
Zzgl. Versandkosten 20,00 € und MwSt
100 μg (Weitere Mengeneinheiten)
Lieferung nach: Deutschland
Lieferung in 11 bis 15 Werktagen
 
LATS1 Reaktivität: Human ELISA, IHC Wirt: Kaninchen Polyclonal unconjugated
Produktnummer ABIN7138769
396,00 €
Zzgl. Versandkosten 20,00 € und MwSt
100 μL
Lieferung nach: Deutschland
Lieferung in 11 bis 15 Werktagen
 
LATS1 Reaktivität: Human, Maus, Ratte, Affe, Hund, Pferd, Kaninchen, Rind (Kuh), Zebrafisch (Danio rerio), Fledermaus, Hamster WB Wirt: Kaninchen Polyclonal unconjugated
Produktnummer ABIN6741908
789,41 €
Zzgl. Versandkosten 20,00 € und MwSt
100 μL
Lieferung nach: Deutschland
Lieferung in 15 bis 20 Werktagen
 
LATS1 Reaktivität: Human, Maus WB, IP Wirt: Kaninchen Polyclonal unconjugated
Produktnummer ABIN7452207
576,62 €
Zzgl. Versandkosten 20,00 € und MwSt
20 μg (Weitere Mengeneinheiten)
Lieferung nach: Deutschland
Lieferung in 7 bis 10 Werktagen
 
LATS1 Reaktivität: Human, Maus, Ratte WB, IHC (p), EIA Wirt: Kaninchen Polyclonal unconjugated
Produktnummer ABIN359091
870,77 €
Zzgl. Versandkosten 20,00 € und MwSt
0.4 mL
Lieferung nach: Deutschland
Lieferung in 16 Werktagen
 
LATS1 Reaktivität: Human, Maus, Ratte, Hund, Pferd, Kaninchen, Rind (Kuh), Zebrafisch (Danio rerio), Saccharomyces cerevisiae, Schaf WB Wirt: Kaninchen Polyclonal unconjugated
Produktnummer ABIN2787626
534,11 €
Zzgl. Versandkosten 20,00 € und MwSt
100 μL (Weitere Mengeneinheiten)
Lieferung nach: Deutschland
Lieferung in 6 bis 9 Werktagen
 
LATS1 Reaktivität: Human, Maus WB, IF (cc), IF (p) Wirt: Kaninchen Polyclonal AbBy Fluor® 750
Produktnummer ABIN5006089
426,37 €
Zzgl. Versandkosten 20,00 € und MwSt
100 μL
Lieferung nach: Deutschland
Lieferung in 20 bis 25 Werktagen
 
LATS1 Reaktivität: Human, Maus WB, IF (cc), IF (p) Wirt: Kaninchen Polyclonal AbBy Fluor® 680
Produktnummer ABIN5006088
426,37 €
Zzgl. Versandkosten 20,00 € und MwSt
100 μL
Lieferung nach: Deutschland
Lieferung in 20 bis 25 Werktagen
 
LATS1 Reaktivität: Human WB Wirt: Kaninchen Polyclonal unconjugated
Produktnummer ABIN7468534
765,00 €
Zzgl. Versandkosten 20,00 € und MwSt
100 μL
Lieferung nach: Deutschland
Lieferung in 7 bis 10 Werktagen
 
LATS1 Reaktivität: Human, Maus WB, IF (cc), IF (p) Wirt: Kaninchen Polyclonal Cy5
Produktnummer ABIN877418
437,53 €
Zzgl. Versandkosten 20,00 € und MwSt
100 μL
Lieferung nach: Deutschland
Lieferung in 20 bis 25 Werktagen
 
  • Typ Primary
    • Primary
  • Anwendung
    • Western Blotting (WB)
    • ELISA
    • Immunohistochemistry (IHC)
    • Immunofluorescence (Cultured Cells) (IF (cc))
    • Immunofluorescence (Paraffin-embedded Sections) (IF (p))
    • Immunohistochemistry (Paraffin-embedded Sections) (IHC (p))
    • Immunoprecipitation (IP)
    • Immunohistochemistry (Frozen Sections) (IHC (fro))
    • Immunofluorescence (IF)
    • Immunocytochemistry (ICC)
    • Enzyme Immunoassay (EIA)
    • Flow Cytometry (FACS)
  • Reaktivität
    • Human
    • Mouse
    • Rat
    • Dog
    • Horse
    • Rabbit
    • Cow
    • Monkey
    • Zebrafish (Danio rerio)
    • Bat
    • Hamster
    • Saccharomyces cerevisiae
    • Sheep
  • In Publikationen zitiert
  • Abbildungen verfügbar
  • Nur ohne Konservierungsmittel
  • Carrier free only
  • Wirt
    • Rabbit
    • Mouse
  • Klonalität
    • Polyclonal
    • Monoclonal
  • Klon
    • 3A7
    • PT0609R
    • RB3029
  • Bindungsspezifität
    • pThr1079
    • AA 1-30
    • AA 1-280
    • N-Term
    • AA 50-100
    • C-Term
    • AA 1-1130
    • AA 521-620
    • AA 637-698
    • AA 971-1020
    • Internal Region
    • Middle Region
    • Thr1041
    • Thr1079
    • pThr1041
  • Konjugat
    • Unkonjugiert
    • FITC
    • Biotin
    • HRP
    • APC
    • AbBy Fluor® 350
    • AbBy Fluor® 488
    • AbBy Fluor® 555
    • AbBy Fluor® 594
    • AbBy Fluor® 647
    • AbBy Fluor® 680
    • AbBy Fluor® 750
    • Alexa Fluor 488
    • Alexa Fluor 555
    • Alexa Fluor 594
    • Alexa Fluor 647
    • Alexa Fluor 680
    • Alexa Fluor 750
    • Cy3
    • Cy5
    • Cy5.5
    • Cy7
    • PE
  • Isotyp
    • IgG
    • Ig Fraction
    • IgG2a
    • kappa
  • Protein-Typ
    • Recombinant Antibody
  • Format
    • Liquid
    • Lyophilized
  • Grade
    • KD Validated
  • Hersteller
    • antibodies-online
    • Signalway
    • Abbexa
    • Acris
    • Aviva Systems Biology
    • Biomatik
    • Boster Bio
    • Cohesion Biosciences
    • NSJ Bioreagents
    • USBio

Aktuelle Publikationen für unsere LATS1 Antikörper

Moon, Lee, Lee, Lee, Park, Park, Chang, Park, Choi: "STK3/4 Expression Is Regulated in Uterine Endometrial Cells during the Estrous Cycle." in: Cells, Vol. 8, Issue 12, (2020) (PubMed).

Wigerius, Quinn, Diab, Clattenburg, Kolar, Qi, Krueger, Fawcett: "The polarity protein Angiomotin p130 controls dendritic spine maturation." in: The Journal of cell biology, Vol. 217, Issue 2, pp. 715-730, (2018) (PubMed).

Xiang, Gilkes, Hu, Takano, Luo, Lu, Bullen, Samanta, Liang, Semenza: "Hypoxia-inducible factor 1 mediates TAZ expression and nuclear localization to induce the breast cancer stem cell phenotype." in: Oncotarget, Vol. 5, Issue 24, pp. 12509-27, (2015) (PubMed).

Grijalva, Huizenga, Mueller, Rodriguez, Brazzo, Camargo, Sadri-Vakili, Vakili: "Dynamic alterations in Hippo signaling pathway and YAP activation during liver regeneration." in: American journal of physiology. Gastrointestinal and liver physiology, Vol. 307, Issue 2, pp. G196-204, (2014) (PubMed).

Huang, Nagatomo, Suzuki, Mizuno, Kumagai, Berezov, Zhang, Karlan, Greene, Wang: "YAP modifies cancer cell sensitivity to EGFR and survivin inhibitors and is negatively regulated by the non-receptor type protein tyrosine phosphatase 14." in: Oncogene, Vol. 32, Issue 17, pp. 2220-9, (2013) (PubMed).

Salah, Melino, Aqeilan: "Negative regulation of the Hippo pathway by E3 ubiquitin ligase ITCH is sufficient to promote tumorigenicity." in: Cancer research, Vol. 71, Issue 5, pp. 2010-20, (2011) (PubMed).

Mao, Mulvaney, Zakaria, Yu, Morgan, Allen, Basson, Francis-West, Irvine: "Characterization of a Dchs1 mutant mouse reveals requirements for Dchs1-Fat4 signaling during mammalian development." in: Development (Cambridge, England), Vol. 138, Issue 5, pp. 947-57, (2011) (PubMed).

Oh, Lee, Kim, Kim, Oh, Hwang, Kong, Kwon, Lim: "Crucial role for Mst1 and Mst2 kinases in early embryonic development of the mouse." in: Molecular and cellular biology, Vol. 29, Issue 23, pp. 6309-20, (2009) (PubMed).

Eiring, Neviani, Santhanam, Oaks, Chang, Notari, Willis, Gambacorti-Passerini, Volinia, Marcucci, Caligiuri, Leone, Perrotti: "Identification of novel posttranscriptional targets of the BCR/ABL oncoprotein by ribonomics: requirement of E2F3 for BCR/ABL leukemogenesis." in: Blood, Vol. 111, Issue 2, pp. 816-28, (2008) (PubMed).

Lee, Kim, Yang, Koo, Oh, Lee, Oh, Lee, Kong, Kim, Lim: "A crucial role of WW45 in developing epithelial tissues in the mouse." in: The EMBO journal, Vol. 27, Issue 8, pp. 1231-42, (2008) (PubMed).

Aliase für LATS1 Antikörper

large tumor suppressor kinase 1 (LATS1) Antikörper
large tumor suppressor (Lats1) Antikörper
large tumor suppressor kinase 1 (lats1) Antikörper
large tumor suppressor kinase 1 (Lats1) Antikörper
large tumor suppressor kinase 1 S homeolog (lats1.S) Antikörper
AW208599 Antikörper
Lats Antikörper
lats1 Antikörper
RGD1564085 Antikörper
si:dkey-181i3.5 Antikörper
WARTS Antikörper
warts Antikörper
wts Antikörper
wu:fc19a11 Antikörper
zgc:123219 Antikörper
Sie sind hier:
Chat with us!