Telefon:
+49 (0)241 95 163 153
Fax:
+49 (0)241 95 163 155
E-Mail:
orders@antikoerper-online.de

JMY Antikörper

(Junction Mediating and Regulatory Protein, P53 Cofactor (JMY))

Wählen Sie einen von 41 JMY-Antikörpern aus unserem Produktangebot basierend auf 6 Publikationen und 22 Validierungsbilder.

Entdecken Sie zuverlässige JMY-Antikörper von einer großen Zahl namhafter Hersteller. Unser Portfolio ermöglicht eine präzise JMY-Detektion in verschiedenen Spezies, darunter Human, Mouse, Cow, Rat, Chicken, Dog, Guinea Pig, Monkey, Pig, und unterstützt vielfältige Forschungsanwendungen wie WB, ELISA, IF, IHC, IHC (p).

Finden Sie schnell den passenden Antikörper mit unseren Such-, Filter- und Vergleichsfunktionen. Auf jeder Produktseite stehen Ihnen detaillierte Validierungsdaten, Literaturreferenzen und Kundenbewertungen zur Verfügung. Im Gegensatz zu reinen Vergleichsportalen können Sie Ihre Antikörper direkt über unsere Plattform erwerben. Wählen Sie aus polyklonalen, monoklonalen oder rekombinanten JMY-Antikörpern aus verschiedenen Wirtsarten wie Rabbit, Mouse. Durchstöbern Sie unten unsere Auswahl an JMY-Antikörpern und bestellen Sie direkt, um Ihre Forschung effizient voranzubringen.

Alternative Bezeichnungen für JMY sind JMY, jmy, Jmy.

41 Treffer

JMY Reaktivität: Human WB, ELISA Wirt: Maus Monoclonal 5B6 unconjugated
Produktnummer ABIN530707
651,20 €
Zzgl. Versandkosten 20,00 € und MwSt
200 μL
Lieferung nach: Deutschland
Lieferung in 8 bis 9 Werktagen
 
JMY Reaktivität: Human WB, ELISA, IF Wirt: Maus Monoclonal 2D7 unconjugated
Produktnummer ABIN530706
651,20 €
Zzgl. Versandkosten 20,00 € und MwSt
100 μg
Lieferung nach: Deutschland
Lieferung in 8 bis 9 Werktagen
 
JMY Reaktivität: Human WB, ELISA Wirt: Maus Polyclonal unconjugated
Produktnummer ABIN530705
508,80 €
Zzgl. Versandkosten 20,00 € und MwSt
50 μL
Lieferung nach: Deutschland
Lieferung in 8 bis 9 Werktagen
 
JMY Reaktivität: Human ELISA, IHC, IF Wirt: Kaninchen Polyclonal unconjugated
Produktnummer ABIN7157162
328,90 €
Zzgl. Versandkosten 20,00 € und MwSt
100 μg (Weitere Mengeneinheiten)
Lieferung nach: Deutschland
Lieferung in 11 bis 15 Werktagen
 
JMY Reaktivität: Human WB Wirt: Kaninchen Polyclonal RB30560 unconjugated
Pubmed 6 Referenzen
Produktnummer ABIN1881469
434,77 €
Zzgl. Versandkosten 20,00 € und MwSt
400 μL (Weitere Mengeneinheiten)
Lieferung nach: Deutschland
Lieferung in 14 bis 17 Werktagen
 
JMY Reaktivität: Human, Maus, Ratte WB, ELISA, IF, ICC Wirt: Kaninchen Polyclonal unconjugated
Produktnummer ABIN6262708
525,71 €
Zzgl. Versandkosten 20,00 € und MwSt
100 μL (Weitere Mengeneinheiten)
Lieferung nach: Deutschland
Lieferung in 9 bis 11 Werktagen
 
JMY Reaktivität: Human, Maus WB, ELISA Wirt: Kaninchen Polyclonal unconjugated
Produktnummer ABIN3185267
377,51 €
Zzgl. Versandkosten 20,00 € und MwSt
100 μL (Weitere Mengeneinheiten)
Lieferung nach: Deutschland
Lieferung in 8 bis 10 Werktagen
 
JMY Reaktivität: Maus, Ratte WB, ELISA, IHC (p), IF (cc), IF (p), IHC (fro) Wirt: Kaninchen Polyclonal unconjugated
Produktnummer ABIN872348
357,70 €
Zzgl. Versandkosten 20,00 € und MwSt
100 μL
Lieferung nach: Deutschland
Lieferung in 8 bis 12 Werktagen
 
JMY Reaktivität: Human WB, ELISA Wirt: Kaninchen Polyclonal unconjugated
Produktnummer ABIN7185068
218,90 €
Zzgl. Versandkosten 20,00 € und MwSt
100 μg (Weitere Mengeneinheiten)
Lieferung nach: Deutschland
Lieferung in 11 bis 15 Werktagen
 
JMY Reaktivität: Human, Maus, Rind (Kuh), Hund, Huhn, Schwein WB, IHC Wirt: Kaninchen Polyclonal unconjugated
Produktnummer ABIN7300900
330,77 €
Zzgl. Versandkosten 20,00 € und MwSt
100 μL (Weitere Mengeneinheiten)
Lieferung nach: Deutschland
Lieferung in 17 bis 20 Werktagen
 
JMY Reaktivität: Human Wirt: Kaninchen Polyclonal FITC
Produktnummer ABIN7157164
328,90 €
Zzgl. Versandkosten 20,00 € und MwSt
100 μg (Weitere Mengeneinheiten)
Lieferung nach: Deutschland
Lieferung in 11 bis 15 Werktagen
 
JMY Reaktivität: Human ELISA Wirt: Kaninchen Polyclonal Biotin
Produktnummer ABIN7157163
328,90 €
Zzgl. Versandkosten 20,00 € und MwSt
100 μg (Weitere Mengeneinheiten)
Lieferung nach: Deutschland
Lieferung in 11 bis 15 Werktagen
 
JMY Reaktivität: Human ELISA Wirt: Kaninchen Polyclonal HRP
Produktnummer ABIN7157165
328,90 €
Zzgl. Versandkosten 20,00 € und MwSt
100 μg (Weitere Mengeneinheiten)
Lieferung nach: Deutschland
Lieferung in 11 bis 15 Werktagen
 
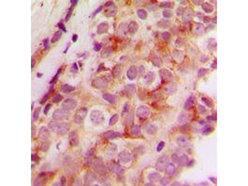
JMY Reaktivität: Human IHC Wirt: Kaninchen Polyclonal unconjugated
Produktnummer ABIN7448618
571,23 €
Zzgl. Versandkosten 20,00 € und MwSt
25 μg (Weitere Mengeneinheiten)
Lieferung nach: Deutschland
Lieferung in 7 bis 10 Werktagen
 
JMY Reaktivität: Human, Maus, Huhn, Affe WB Wirt: Kaninchen Polyclonal unconjugated
Produktnummer ABIN6749294
789,41 €
Zzgl. Versandkosten 20,00 € und MwSt
100 μL
Lieferung nach: Deutschland
Lieferung in 15 bis 20 Werktagen
 
JMY Reaktivität: Human IHC (fp), IP Wirt: Kaninchen Polyclonal unconjugated
Produktnummer ABIN7454459
576,62 €
Zzgl. Versandkosten 20,00 € und MwSt
100 μg (Weitere Mengeneinheiten)
Lieferung nach: Deutschland
Lieferung in 7 bis 10 Werktagen
 
JMY Reaktivität: Human WB Wirt: Kaninchen Polyclonal unconjugated
Produktnummer ABIN7452890
576,62 €
Zzgl. Versandkosten 20,00 € und MwSt
20 μg (Weitere Mengeneinheiten)
Lieferung nach: Deutschland
Lieferung in 7 bis 10 Werktagen
 
JMY Reaktivität: Human WB, ELISA Wirt: Maus Monoclonal unconjugated
Produktnummer ABIN2610982
1.278,75 €
Zzgl. Versandkosten 20,00 € und MwSt
100 μg
Lieferung nach: Deutschland
Lieferung in 15 bis 20 Werktagen
 
JMY Reaktivität: Human WB, ELISA Wirt: Kaninchen Polyclonal unconjugated
Produktnummer ABIN2610983
1.328,20 €
Zzgl. Versandkosten 20,00 € und MwSt
200 μL
Lieferung nach: Deutschland
Lieferung in 15 bis 20 Werktagen
 
JMY Reaktivität: Human, Maus, Rind (Kuh), Hund, Meerschweinchen IHC, IF, IHC (p) Wirt: Kaninchen Polyclonal unconjugated
Produktnummer ABIN1906305
976,96 €
Zzgl. Versandkosten 20,00 € und MwSt
25 μg (Weitere Mengeneinheiten)
Lieferung nach: Deutschland
Lieferung in 15 bis 20 Werktagen
 
  • Typ Primary
    • Primary
  • Anwendung
    • Western Blotting (WB)
    • ELISA
    • Immunofluorescence (IF)
    • Immunohistochemistry (IHC)
    • Immunohistochemistry (Paraffin-embedded Sections) (IHC (p))
    • Enzyme Immunoassay (EIA)
    • Immunocytochemistry (ICC)
    • Immunofluorescence (Cultured Cells) (IF (cc))
    • Immunofluorescence (Paraffin-embedded Sections) (IF (p))
    • Immunohistochemistry (Formalin-fixed Paraffin-embedded Sections) (IHC (fp))
    • Immunohistochemistry (Frozen Sections) (IHC (fro))
    • Immunoprecipitation (IP)
  • Reaktivität
    • Human
    • Mouse
    • Cow
    • Rat
    • Chicken
    • Dog
    • Guinea Pig
    • Monkey
    • Pig
  • In Publikationen zitiert
  • Abbildungen verfügbar
  • Nur ohne Konservierungsmittel
  • Carrier free only
  • Wirt
    • Rabbit
    • Mouse
  • Klonalität
    • Polyclonal
    • Monoclonal
  • Klon
    • 2D7
    • 5B6
    • RB30560
  • Bindungsspezifität
    • AA 2-29
    • AA 708-848
    • C-Term
    • AA 1-50
    • AA 535-634
    • N-Term
    • AA 931-980
    • AA 1-29
    • AA 163-341
    • AA 30-79
    • AA 401-500
    • AA 535-635
    • AA 800-850
  • Konjugat
    • Unkonjugiert
    • Biotin
    • FITC
    • HRP
    • APC
    • Alexa Fluor 488
    • Alexa Fluor 555
    • Alexa Fluor 594
    • Alexa Fluor 647
    • Alexa Fluor 680
    • Alexa Fluor 750
    • PE
  • Isotyp
    • IgG
    • Ig Fraction
    • IgG1
    • IgG1 kappa
    • IgG2a kappa
  • Format
    • Liquid
    • Lyophilized
  • Hersteller
    • antibodies-online
    • Signalway
    • Abbexa
    • Acris
    • Assay Biotechnology Company, Inc.
    • Aviva Systems Biology
    • Cohesion Biosciences
    • Covalab
    • Enogene Biotech
    • USBio

Aktuelle Publikationen für unsere JMY Antikörper

Kühne, Zepernick, Qualmann, Kessels, Izadi-Seitz: "JMY powers dendritogenesis and is regulated by CaM revealing a general, critical principle in neuromorphogenesis." in: Communications biology, Vol. 8, Issue 1, pp. 784, (2025) (PubMed).

Coutts, Weston, La Thangue: "A transcription co-factor integrates cell adhesion and motility with the p53 response." in: Proceedings of the National Academy of Sciences of the United States of America, Vol. 106, Issue 47, pp. 19872-7, (2009) (PubMed).

Zuchero, Coutts, Quinlan, Thangue, Mullins: "p53-cofactor JMY is a multifunctional actin nucleation factor." in: Nature cell biology, Vol. 11, Issue 4, pp. 451-9, (2009) (PubMed).

Nordgard, Johansen, Alnaes, Bucher, Syvänen, Naume, Børresen-Dale, Kristensen: "Genome-wide analysis identifies 16q deletion associated with survival, molecular subtypes, mRNA expression, and germline haplotypes in breast cancer patients." in: Genes, chromosomes & cancer, Vol. 47, Issue 8, pp. 680-96, (2008) (PubMed).

Coutts, Boulahbel, Graham, La Thangue: "Mdm2 targets the p53 transcription cofactor JMY for degradation." in: EMBO reports, Vol. 8, Issue 1, pp. 84-90, (2007) (PubMed).

Shikama, Lee, France, Delavaine, Lyon, Krstic-Demonacos, La Thangue: "A novel cofactor for p300 that regulates the p53 response." in: Molecular cell, Vol. 4, Issue 3, pp. 365-76, (1999) (PubMed).

Aliase für JMY Antikörper

junction mediating and regulatory protein, p53 cofactor (JMY) Antikörper
junction mediating and regulatory protein, p53 cofactor (jmy) Antikörper
junction-mediating and regulatory protein (Jmy) Antikörper
WHDC1L3 Antikörper
Sie sind hier:
Chat with us!