Telefon:
+49 (0)241 95 163 153
Fax:
+49 (0)241 95 163 155
E-Mail:
orders@antikoerper-online.de

Insulin Antikörper

(Insulin (INS))
Insulin, a peptide hormone synthesized within the beta cells of the Islets of Langerhans in the pancreas, serves as a pivotal orchestrator in the intricate regulation of blood glucose concentrations. Operating through a series of intricate cellular mechanisms, insulin exerts its influence on glucose metabolism by modulating cellular glucose uptake, storage, and utilization.

Insulin antibodies are essential tools for studying insulin-related processes and investigating conditions like diabetes. Here are some primary applications for insulin research antibodies:

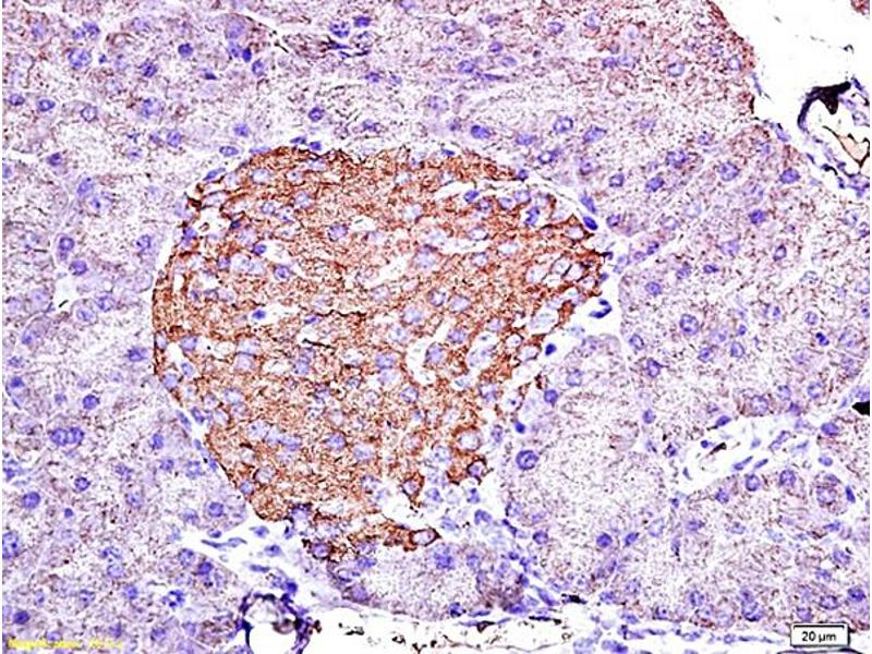
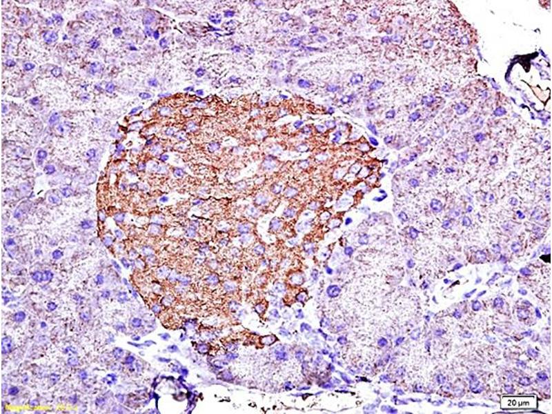
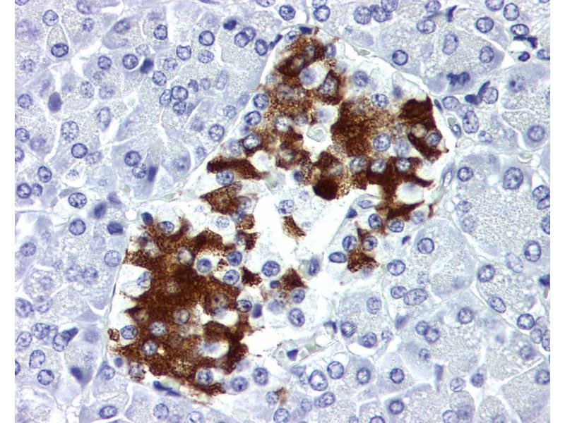
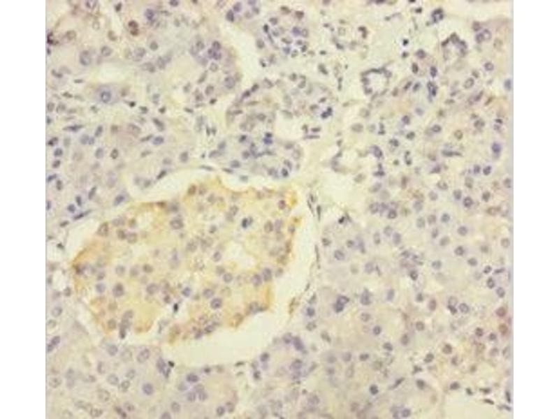
  • Immunohistochemistry (IHC) and Immunofluorescence (IF): Insulin antibodies are used to visualize the distribution and localization of insulin in tissues. IHC and IF techniques allow researchers to identify insulin-producing cells within pancreatic islets and study changes in insulin expression in response to different physiological or pathological conditions.
  • Cell Signaling Studies: Insulin is a potent signaling molecule that regulates glucose metabolism and cellular responses. Insulin antibodies are utilized to investigate insulin signaling pathways, including receptor activation, downstream kinase cascades, and transcriptional responses.
  • Pharmacological Studies: In drug development and testing, insulin antibodies are used to assess the effects of potential therapeutics on insulin expression, secretion, and signaling. This information is crucial for developing new treatments for diabetes and related conditions.
  • Immunoassays: Insulin antibodies are used in various immunoassays, such as enzyme-linked immunosorbent assays (ELISAs), to quantify insulin levels in biological samples like blood and tissue homogenates. These assays are valuable for clinical diagnosis and research studies.
  • Cell Culture and In Vitro Studies: In vitro studies often involve the use of insulin antibodies to modulate insulin signaling in cultured cells and assess the outcomes on cellular metabolism and growth.

320 Treffer

INS Reaktivität: Human IHC, WB, IF Wirt: Kaninchen Polyclonal unconjugated
Pubmed 1 reference
Produktnummer ABIN3022885
320,00 €
Zzgl. Versandkosten 20,00 € und MwSt
100 μL (Weitere Mengeneinheiten)
Lieferung nach: Deutschland
Lieferung in 7 bis 9 Werktagen
 
INS Reaktivität: Human IHC, WB, IF Wirt: Kaninchen Monoclonal unconjugated
Produktnummer ABIN7267886
330,00 €
Zzgl. Versandkosten 20,00 € und MwSt
100 μL (Weitere Mengeneinheiten)
Lieferung nach: Deutschland
Lieferung in 7 bis 9 Werktagen
 
INS Reaktivität: Maus, Ratte WB, ELISA, IHC (p), FACS, IF (p), IF (cc), IHC (fro) Wirt: Kaninchen Polyclonal unconjugated
Pubmed 1 reference
Produktnummer ABIN724265
357,70 €
Zzgl. Versandkosten 20,00 € und MwSt
100 μL
Lieferung nach: Deutschland
Lieferung in 8 bis 12 Werktagen
 
INS Reaktivität: Maus IHC, WB, IP, ICC Wirt: Kaninchen Polyclonal unconjugated
Produktnummer ABIN7429844
293,45 €
Zzgl. Versandkosten 20,00 € und MwSt
100 μL (Weitere Mengeneinheiten)
Lieferung nach: Deutschland
Lieferung in 11 bis 15 Werktagen
 
INS Reaktivität: Ratte IHC, WB, IP, ICC Wirt: Kaninchen Polyclonal unconjugated
Produktnummer ABIN7429847
304,89 €
Zzgl. Versandkosten 20,00 € und MwSt
100 μL (Weitere Mengeneinheiten)
Lieferung nach: Deutschland
Lieferung in 11 bis 15 Werktagen
 
INS Reaktivität: Human, Maus, Schwein, Rind (Kuh), Ratte, Kaninchen, Meerschweinchen, Hund, Affe, Cat, Huhn, Esel, Ziege, Hamster, Pferd, Schaf, Avian WB, IHC (p), IHC (fro) Wirt: Ziege Polyclonal unconjugated
Produktnummer ABIN6254161
465,38 €
Zzgl. Versandkosten 20,00 € und MwSt
600 μg
Lieferung nach: Deutschland
Lieferung in 2 bis 4 Werktagen
 
INS Reaktivität: Human IHC, WB, IP, ICC Wirt: Kaninchen Polyclonal unconjugated
Produktnummer ABIN7429841
237,17 €
Zzgl. Versandkosten 20,00 € und MwSt
100 μL (Weitere Mengeneinheiten)
Lieferung nach: Deutschland
Lieferung in 11 bis 15 Werktagen
 
INS Reaktivität: Human IHC Wirt: Kaninchen Monoclonal HMV308 unconjugated Recombinant Antibody
Produktnummer ABIN7826125
348,46 €
Zzgl. Versandkosten 20,00 € und MwSt
100 μL (Weitere Mengeneinheiten)
Lieferung nach: Deutschland
Lieferung in 2 bis 4 Werktagen
 
INS Reaktivität: Human IHC, WB, IP, ICC Wirt: Maus Monoclonal C1 unconjugated
Produktnummer ABIN7425869
270,55 €
Zzgl. Versandkosten 20,00 € und MwSt
100 μL (Weitere Mengeneinheiten)
Lieferung nach: Deutschland
Lieferung in 11 bis 15 Werktagen
 
INS Reaktivität: Rind (Kuh) IHC, WB, IP, ICC Wirt: Kaninchen Polyclonal unconjugated
Produktnummer ABIN7429853
329,69 €
Zzgl. Versandkosten 20,00 € und MwSt
100 μL (Weitere Mengeneinheiten)
Lieferung nach: Deutschland
Lieferung in 11 bis 15 Werktagen
 
INS Reaktivität: Human IHC, ELISA Wirt: Kaninchen Monoclonal 1F6 unconjugated Recombinant Antibody
Produktnummer ABIN7127574
385,00 €
Zzgl. Versandkosten 20,00 € und MwSt
100 μL (Weitere Mengeneinheiten)
Lieferung nach: Deutschland
Lieferung in 11 bis 15 Werktagen
 
INS Reaktivität: Human, Maus, Schwein, Rind (Kuh), Ratte IHC, ELISA, IHC (p), IHC (fro) Wirt: Maus Monoclonal D3E7 unconjugated
Produktnummer ABIN768892
502,97 €
Zzgl. Versandkosten 20,00 € und MwSt
0.05 mg
Lieferung nach: Deutschland
Lieferung in 15 bis 20 Werktagen
 
INS Reaktivität: Human IHC, ELISA, IHC (p) Wirt: Maus Monoclonal 8E2 HRP
Produktnummer ABIN337134
512,07 €
Zzgl. Versandkosten 20,00 € und MwSt
50 μg
Lieferung nach: Deutschland
Lieferung in 15 bis 20 Werktagen
 
INS Reaktivität: Human, Maus, Ratte IHC, IF, IHC (p), ICC, FACS Wirt: Kaninchen Polyclonal unconjugated
Produktnummer ABIN337249
639,37 €
Zzgl. Versandkosten 20,00 € und MwSt
50 μL
Lieferung nach: Deutschland
Lieferung in 15 bis 20 Werktagen
 
INS Reaktivität: Human, Maus, Schwein, Rind (Kuh), Kaninchen IHC, StM Wirt: Maus Monoclonal rIRDN-805 unconjugated Recombinant Antibody
Produktnummer ABIN6939797
639,45 €
Zzgl. Versandkosten 20,00 € und MwSt
100 μg (Weitere Mengeneinheiten)
Lieferung nach: Deutschland
Lieferung in 6 bis 10 Werktagen
 
INS Reaktivität: Human, Maus, Schwein, Rind (Kuh), Kaninchen IHC, StM Wirt: Kaninchen Monoclonal IRDN-1980R unconjugated Recombinant Antibody
Produktnummer ABIN6939798
639,45 €
Zzgl. Versandkosten 20,00 € und MwSt
100 μg (Weitere Mengeneinheiten)
Lieferung nach: Deutschland
Lieferung in 6 bis 10 Werktagen
 
INS Reaktivität: Human, Maus, Schwein, Rind (Kuh) IHC, IF, IHC (p), FACS, ISt, StM Wirt: Maus Monoclonal 2D11-H5-same as INS05 unconjugated
Produktnummer ABIN6939789
639,45 €
Zzgl. Versandkosten 20,00 € und MwSt
100 μg (Weitere Mengeneinheiten)
Lieferung nach: Deutschland
Lieferung in 6 bis 10 Werktagen
 
INS Reaktivität: Human, Maus WB, IHC (p) Wirt: Kaninchen Polyclonal unconjugated
Produktnummer ABIN5530710
730,13 €
Zzgl. Versandkosten 20,00 € und MwSt
200 μL
Lieferung nach: Deutschland
Lieferung in 6 bis 9 Werktagen
 
INS Reaktivität: Human, Schwein, Rind (Kuh) ELISA, IHC (p), ICC, RIA Wirt: Maus Monoclonal IN-05 unconjugated
Pubmed 2 Referenzen
Produktnummer ABIN94408
279,31 €
Zzgl. Versandkosten 20,00 € und MwSt
100 μg
Lieferung nach: Deutschland
Lieferung in 2 bis 4 Werktagen
 
INS Reaktivität: Human IHC, ELISA Wirt: Kaninchen Polyclonal unconjugated
Produktnummer ABIN7156327
328,90 €
Zzgl. Versandkosten 20,00 € und MwSt
100 μg (Weitere Mengeneinheiten)
Lieferung nach: Deutschland
Lieferung in 11 bis 15 Werktagen
 
  • Typ Primary
    • Primary
  • Anwendung
    • Immunohistochemistry (IHC)
    • Western Blotting (WB)
    • ELISA
    • Immunofluorescence (IF)
    • Flow Cytometry (FACS)
    • Immunohistochemistry (Paraffin-embedded Sections) (IHC (p))
    • Immunofluorescence (Paraffin-embedded Sections) (IF (p))
    • Immunohistochemistry (Formalin-fixed Sections) (IHC (f))
    • Immunofluorescence (Cultured Cells) (IF (cc))
    • Immunocytochemistry (ICC)
    • Immunohistochemistry (Formalin-fixed Paraffin-embedded Sections) (IHC (fp))
    • Immunoprecipitation (IP)
    • Immunohistochemistry (Frozen Sections) (IHC (fro))
    • Immunostaining (ISt)
    • Radioimmunoassay (RIA)
    • Immunofluorescence (fixed cells) (IF/ICC)
    • Enzyme Immunoassay (EIA)
    • Staining Methods (StM)
    • Immunochromatography (IC)
    • Dot Blot (DB)
    • ELISA (Capture)
    • Functional Studies (Func)
    • ELISA (Detection)
    • Blocking Reagent (BR)
    • Immunoassay (IA)
    • Immunodiffusion (ID)
    • Lateral Flow (LF)
    • Neutralization (Neut)
    • Protein Assay (PrA)
    • Agglutination (AGG)
  • Reaktivität
    • Human
    • Mouse
    • Pig
    • Cow
    • Rat
    • Rabbit
    • Guinea Pig
    • Dog
    • Monkey
    • Avian
    • Cat
    • Chicken
    • Donkey
    • Goat
    • Hamster
    • Horse
    • Mammalian
    • Sheep
  • In Publikationen zitiert
  • Abbildungen verfügbar
  • Nur ohne Konservierungsmittel
  • Carrier free only
  • Wirt
    • Mouse
    • Rabbit
    • Guinea Pig
    • Chicken
    • Goat
    • Sheep
  • Klonalität
    • Monoclonal
    • Polyclonal
    • Chimeric
  • Klon
    • 1G11
    • IRDN-1980R
    • rIRDN-805
    • 2D11-H5
    • IRDN-805
    • E2-E3
    • E2-E3 2D11-H5
    • IRDN-794
    • K36aC10
    • 1-B-1E16
    • 5C54
    • IN-05
    • ISL-8J
    • 1-B-1E15
    • 2D11-H5 or INS05
    • 7F8
    • 8E2
    • Ab 123
    • E2-E3 or INS04
    • E2E3
    • ML02I01
    • SPM139
    • 0H2
    • 1A399
    • 1A400
    • 1C5A
    • 1F6
    • 2D11-H5-same as INS05
    • 396CT20-4-4
    • 3E7
    • 5H7
    • 7C8
    • 9F3
    • C-PEP-01
    • C1
    • C7
    • CCI-3
    • D3E7
    • D3E7 (5B6-6)
    • D4B8cc
    • DEA-9
    • E2-E3-2D11-H5 or INS04-INS05
    • E6-E5 (7F8)
    • F1B2
    • GT1455
    • HMV308
    • INSC7C9
    • M322212
    • M83149
    • SAA0557
    Please use search to find more...
  • Bindungsspezifität
    • AA 46-59
    • AA 25-110
    • C-Term
    • AA 1-84
    • AA 25-54
    • AA 1-110
    • AA 88-108
    • Beta Chain
    • AA 30-70
    • AA 48-62
    • AA 90-110
    • Center
    • N-Term
    • AA 21-52
    • AA 35-64
    • AA 49-98
    • AA 826-854
    • AA 93-108
    • Chain beta
    • Phe49
  • Konjugat
    • Unkonjugiert
    • Biotin
    • FITC
    • HRP
    • CF®405S
    • CF®488A
    • CF®568
    • CF®594
    • CF®640R
    • CF®647
    • CF®740
    • AbBy Fluor® 350
    • AbBy Fluor® 488
    • AbBy Fluor® 555
    • AbBy Fluor® 594
    • AbBy Fluor® 647
    • AbBy Fluor® 680
    • AbBy Fluor® 750
    • Cy3
    • Cy5
    • Cy5.5
    • Cy7
    • APC
    • Alexa Fluor 488
    • Alexa Fluor 555
    • Alexa Fluor 594
    • Alexa Fluor 647
    • Alexa Fluor 680
    • Alexa Fluor 750
    • PE
    • Sepharose
    • Alexa Fluor 350
    • Alexa Fluor 405
    • CF®680R
    • Magnetic Particles
  • Isotyp
    • IgG
    • IgG1
    • IgG1 kappa
    • kappa
    • IgG2a
    • IgG kappa
    • Ig Fraction
    • IgG2b
    • IgG2a kappa
    • IgG3
    • IgM
    • IgY
  • Protein-Typ
    • Recombinant Antibody
  • Format
    • Liquid
    • Lyophilized
  • Hersteller
    • antibodies-online
    • Biotium
    • Signalway
    • USBio
    • Abbexa
    • Acris
    • ProteoGenix
    • NSJ Bioreagents
    • Biomatik
    • Cohesion Biosciences
    • Enogene Biotech
    • RayBiotech
    • ProSci
    • Assaypro
    • ANTIGENES
    • Assay Biotechnology Company, Inc.
    • Boster Bio
    • CUSABIO
    • Cloud-Clone
    • Covalab
    • ImmunoBioscience
    • Rockland

Aktuelle Publikationen für unsere Insulin Antikörper

Chen, Ren, Zhou, Deng, Hu, Zhang, Li: "HWL-088, a new potent free fatty acid receptor 1 (FFAR1) agonist, improves glucolipid metabolism and acts additively with metformin in ob/ob diabetic mice." in: British journal of pharmacology, Vol. 177, Issue 10, pp. 2286-2302, (2021) (PubMed).

Zhao, Wang, Zhu, Xia, Zhang, Wang, Zhang, Xu, Chen, Jiang, Liu, Wu, Wu, Zhang, Bai, Fotina, Hu: "The Antimicrobial Peptide Mastoparan X Protects Against Enterohemorrhagic Escherichia coli O157:H7 Infection, Inhibits Inflammation, and Enhances the Intestinal Epithelial Barrier." in: Frontiers in microbiology, Vol. 12, pp. 644887, (2021) (PubMed).

Meesaragandla, Karanth, Janke, Delcea: "Biopolymer-coated gold nanoparticles inhibit human insulin amyloid fibrillation." in: Scientific reports, Vol. 10, Issue 1, pp. 7862, (2020) (PubMed).

Fang, Weng, Li, Tao, Mai, Liu, Lu, Lai, Duan, Alvarez, Arvan, Wynshaw-Boris, Li, Pei, Jin, Li: "Single-Cell Heterogeneity Analysis and CRISPR Screen Identify Key ��-Cell-Specific Disease Genes." in: Cell reports, Vol. 26, Issue 11, pp. 3132-3144.e7, (2019) (PubMed).

Xu, Huang, Guo, Xiong, Zhu, Xu, Lu, Li, Wan, Lu, Wang: "microRNA-690 regulates induced pluripotent stem cells (iPSCs) differentiation into insulin-producing cells by targeting Sox9." in: Stem cell research & therapy, Vol. 10, Issue 1, pp. 59, (2019) (PubMed).

Chen, Zeng, Liu, Guo, Zhang, Chen, Lin, Wen, Zhao, Lin, Gao: "Adropin deficiency worsens HFD-induced metabolic defects." in: Cell death & disease, Vol. 8, Issue 8, pp. e3008, (2018) (PubMed).

Zheng, Cao, Zhang, Yan, Xu, Zhao, Zhu, Zhang, Li, Zhu: "Abnormal gene methylation during embryonic development after preimplantation genetic testing increases risk of liver-derived insulin resistance." in: Annals of the New York Academy of Sciences, (2018) (PubMed).

Cao, Kakar, Hossen, Wu, Chen: "Sustained epidermal powder drug delivery via skin microchannels." in: Journal of controlled release : official journal of the Controlled Release Society, Vol. 249, pp. 94-102, (2017) (PubMed).

Dooley, Tian, Schonefeldt, Delghingaro-Augusto, Garcia-Perez, Pasciuto, Di Marino, Carr, Oskolkov, Lyssenko, Franckaert, Lagou, Overbergh, Vandenbussche, Allemeersch, Chabot-Roy, Dahlstrom, Laybutt et al.: "Genetic predisposition for beta cell fragility underlies type 1 and type 2 diabetes. ..." in: Nature genetics, Vol. 48, Issue 5, pp. 519-27, (2017) (PubMed).

Zöllner, Jouni, Panzer, Khadour, Janzen, Wesche, Ten Berg, Schellong, Heinken, Greinacher, Bakchoul: "Platelet activation in the presence of neutral protamine Hagedorn insulin: a new feature of antibodies against protamine/heparin complexes." in: Journal of thrombosis and haemostasis : JTH, (2016) (PubMed).

Aliase für Insulin Antikörper

insulin (INS) Antikörper
insulin (INS-IGF2) Antikörper
insulin (ins) Antikörper
insulin (Ins) Antikörper
insulin precursor (PIN) Antikörper
insulin II (Ins2) Antikörper
preproinsulin (ins) Antikörper
insulin L homeolog (ins.L) Antikörper
insulin S homeolog (ins.S) Antikörper
AA986540 Antikörper
IDDM2 Antikörper
igf2-A Antikörper
ILPR Antikörper
ins Antikörper
Ins-2 Antikörper
ins-a Antikörper
ins-b Antikörper
ins1 Antikörper
ins1-a Antikörper
InsII Antikörper
Insulin Antikörper
IRDN Antikörper
Mody Antikörper
Mody4 Antikörper
MODY10 Antikörper
proinsulin Antikörper
xins Antikörper
zgc:109842 Antikörper
Sie sind hier:
Chat with us!